Sưng nướu răng hàm dưới khiến người mắc gặp nhiều bất tiện trong sinh hoạt và các cơn đau đớn khó chịu. Việc nắm rõ được các dấu hiệu, nguyên nhân của sưng nướu sẽ giúp tìm ra giải pháp can thiệp phù hợp để cải thiện sức khỏe răng miệng được tốt hơn.

Dấu hiệu của sưng nướu răng hàm dưới
Tình trạng sưng nướu răng diễn ra từ 1 – 2 ngày sau đó biến mất và tái phát trong một thời gian. Đối với sưng nướu cấp tính sẽ kéo dài lâu hơn từ 5 – 7 ngày mới kết thúc. Tùy từng trường hợp sẽ có các triệu chứng, dấu hiệu khác nhau, cụ thể:
- Phần nướu răng trong cùng bị viêm đỏ:
Nướu răng chắc khỏe có màu hồng nhạt, khi bị sưng sẽ xuất hiện tình trạng viêm đỏ. Một số trường hợp còn chuyển hẳn sang đỏ sẫm hoặc đỏ tím.
- Dưới nướu răng có đọng mủ và dịch:
Sưng viêm khiến nướu không thể bám chắc vào chân răng gây ra hiện tượng ứ mủ và dịch dưới nướu răng, nó có thể gây xung huyết.
- Răng bên cạnh bị đau nhức:
Nướu là phần mô mềm bao quanh, nâng đỡ chân răng nên khi bị viêm nhiễm có thể làm cho toàn bộ vùng quanh nướu răng bị sưng. Từ đó gây ra hiện tượng đau nhức các răng bên cạnh, đau rát cổ họng và khó chịu khi ăn uống.
- Miệng có mùi hôi bất thường:
Nướu sưng đỏ tích mủ sẽ khiến cho hơi thở có mùi hôi khó chịu bởi vi khuẩn phát triển mạnh tạo nên các mảng bám trên răng, tăng nguy cơ viêm loét nhiễm trùng.
Nguyên nhân gây sưng nướu ở răng hàm dưới
Sưng nướu răng hàm dưới có nhiều nguyên nhân, bao gồm:
Vệ sinh kém
Quá trình ăn uống, thức ăn bị nhét trong kẽ răng khó làm sạch. Lâu dần sẽ hình thành mảng bám trên răng, tạo điều kiện thuận lợi để vi khuẩn gây viêm nướu hàm dưới phát triển mạnh.
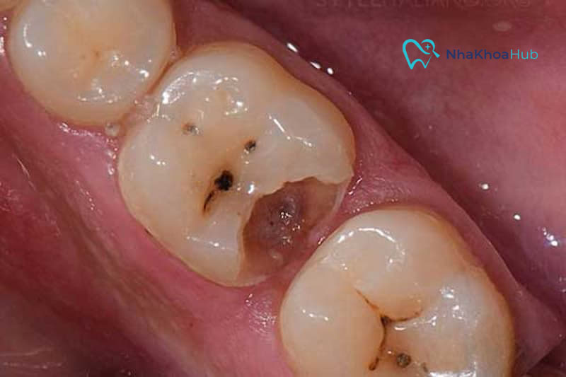
Răng hàm nằm ở vị trí trong cùng của cung hàm có kích thước bề mặt lớn với nhiều rãnh nhỏ. Chúng có chức năng chính là nghiền nát thức ăn nhưng dễ bị sâu do khó vệ sinh thức ăn mắc lại. Vi khuẩn tại chỗ sâu tấn công vào các mô nướu xung quanh gây ra tình trạng sưng viêm nướu.
Mọc răng khôn
Ở giai đoạn trưởng thành từ 18 – 25 tuổi, răng khôn sẽ mọc. Tuy nhiên, các vị trí trên cung hàm đã được ổn định nên không còn khoảng trống cho răng số 8, dẫn đến tình trạng mọc lệch. Đồng thời, sưng nướu răng, gây chảy máu chân răng hoặc hình thành khối mủ.
Mắc bệnh lý răng miệng viêm nướu, viêm nha chu
Bệnh viêm nướu, viêm nha chu được hình thành do vôi răng. Nếu tình trạng này kéo dài sẽ phát triển thành viêm nha chu gây tiêu xương răng, tụt nướu và có nguy cơ gây rụng mất răng hàm.

Ảnh hưởng của đau nướu răng hàm dưới
Theo các nha sĩ, đau răng hàm dưới gây ra những ảnh hưởng:
- Người bệnh gặp bất tiện trong ăn uống, giao tiếp, vệ sinh răng miệng.
- Có nguy cơ mắc các biến chứng nguy hiểm như: áp xe, nhiễm trùng nặng, viêm các mô xung quanh răng.
- Nhiễm trùng răng nhanh chóng lây lan đến xương hàm, các mô mềm ở mặt và cổ. Nguy hiểm hơn, nó có thể di chuyển đến tim, não khiến việc điều trị gặp nhiều khó khăn.
- Sưng nướu kéo dài gây viêm nhiễm trong khoang miệng, vi khuẩn có hại tấn công làm lan rộng vùng nhiễm trùng và hình thành các ổ áp xe, làm mô nướu chân răng bị hoại tử.
Giải pháp điều trị sưng lợi răng hàm dưới hiệu quả
Xác định nguyên nhân chính xác, bác sĩ sẽ chỉ định phương pháp điều trị triệt để sau:
Lấy cao răng định kỳ
Thực hiện lấy cao răng định kỳ tại các nha khoa 6 tháng/lần (răng ít mảng bám) và 3 tháng/lần (có nhiều cao răng) giúp duy trì khoang miệng sạch sẽ, giảm sự tích tụ vi khuẩn gây viêm nhiễm.
Trị sâu răng
Khi xác định được nguyên nhân chính của sưng nướu do sâu răng, bác sĩ sẽ thực hiện điều trị bằng phương pháp trám răng hoặc bọc sứ. Biện pháp này giúp khôi phục thẩm mỹ, chức năng của răng và giúp ngăn ngừa ngừa các biến chứng như viêm lợi, chảy máu hoặc mất răng.
Nhổ răng khôn
Trường hợp nặng, thực hiện nhổ răng khôn là phương pháp hiệu quả để loại bỏ nguyên nhân gây ra sưng lợi hàm. Cách làm này không chỉ giảm đau mà còn phòng tránh diễn tiến nguy hiểm như nhiễm trùng, áp xe, viêm nha chu.

Cách phòng tránh đau lợi răng hàm
Để chăm sóc sức khỏe răng miệng đặc biệt là phòng tránh tình trạng đau răng lợi hàm dưới hiệu quả, sau đây là một số cách ngăn ngừa:
- Vệ sinh răng miệng sạch sẽ đánh răng từ 2 – 3 lần/ngày, sử dụng nước súc miệng và chỉ nha khoa để làm sạch răng hơn.
- Hạn chế dùng đồ uống có gas, nhiều đường hoặc có cồn bởi những thức uống đó sẽ làm hại lớp men răng, gây khô miệng và kích ứng lợi.
- Nên kiểm tra sức khỏe răng miệng tại nha khoa uy tín định kỳ 6 tháng/lần để phát hiện sớm các vấn đề răng miệng.
Giải đáp thắc mắc thường gặp về viêm lợi răng hàm
Trong quá trình tìm hiểu về sưng nướu răng hàm dưới có thể bạn gặp phải những câu hỏi thắc mắc sau đây:
Cách chữa sưng lợi răng hàm tại nhà?
Sưng nướu răng hàm dưới ở mức độ nhẹ có thể điều trị tại nhà bằng cách giảm sưng đau, cầm máu với các thao tác sau đây:
- Sử dụng túi chườm hoặc đá lạnh để giảm đau tức thì.
- Súc miệng bằng nước muối sinh lý hoặc giấm táo pha loãng để loại bỏ vi khuẩn, làm dịu mô nướu đang bị viêm.
- Uống trà gừng ấm để giảm tình trạng sưng nướu hàm dưới, giảm cảm giác khó chịu đau nhức.
- Ưu tiên đánh răng từ 2 – 3 lần/ngày bằng bàn chải lông mềm để không làm tổn thương nướu răng mà vẫn làm sạch vi khuẩn.
- Sử dụng chỉ nha khoa để làm sạch mảng bám, thức ăn thừa trong kẽ răng sâu bên trong.
- Uống nhiều nước, tăng cường bổ sung vitamin, chất xơ và chất khoáng để nâng cao đề kháng, làm dịu nướu răng, hỗ trợ làm sạch khoang miệng.
Để hạn chế các biến chứng sưng nướu răng gây ra, bệnh nhân cần đến ngay các cơ sở nha khoa uy tín, các bệnh viện phòng khám răng hàm mặt để điều trị. Bạn hãy truy cập ngay website NhaKhoaHub.vn để được hỗ trợ. Tại đây chuyên review các địa chỉ nha khoa trên toàn quốc, giúp khách hàng tìm kiếm nơi khám răng uy tín.
Sưng lợi răng hàm uống thuốc gì?
Ngoài các biện pháp trên, khi bị viêm nướu hoặc sâu răng nhẹ có thể sử dụng thuốc nhằm hạn chế chống viêm lợi, giảm đau, ức chế vi khuẩn gây hại. Các loại kháng sinh được chỉ định sử dụng như Metronidazol, Spiramycin, Ciprofloxacin,… Bên cạnh đó có thể dùng thêm dung dịch súc miệng, diệt khuẩn, các loại kem đánh răng chứa Flour, Calcium, Phosphate,…
Lưu ý, việc sử dụng thuốc giảm đau khi sưng nướu, viêm nướu cần theo chỉ định chuyên khoa từ bác sĩ, bệnh nhân không được tự ý sử dụng thuốc.
Sưng nướu răng hàm dưới xảy ra do nhiều nguyên nhân khác nhau, tùy theo từng trường hợp mà có cách xử lý phù hợp. Khi bạn đã can thiệp bằng các phương pháp giảm đau tại nhà nhưng không thuyên giảm cần tới gặp bác sĩ ngay để điều trị kịp thời.
