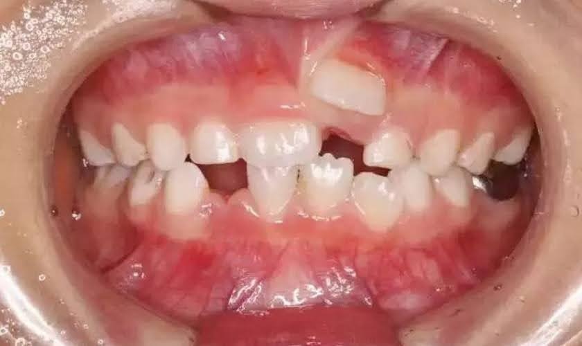
Răng mọc trên lợi là tình trạng răng phát triển sai vị trí trên cung hàm, có xu hướng trồi cao khỏi nướu hoặc lệch ra ngoài, vào trong thay vì mọc thẳng hàng. Tình trạng này không chỉ ảnh hưởng đến thẩm mỹ mà còn gây khó khăn khi ăn nhai, vệ sinh răng miệng và làm tăng nguy cơ viêm nướu, sâu răng. Nếu không điều trị sớm, răng mọc sai vị trí có thể gây lệch khớp cắn và biến dạng cấu trúc hàm.

1. Tại sao răng mọc ngược trên lợi?
Răng mọc trên lợi thường là hậu quả của sự mất cân đối giữa răng và cung hàm hoặc do các yếu tố tác động từ sớm. Dưới đây là những nguyên nhân phổ biến nhất:
- Cung hàm hẹp, thiếu khoảng trống: Khi xương hàm phát triển nhỏ hoặc hẹp hơn bình thường, răng không đủ chỗ để mọc thẳng hàng. Điều này khiến răng chen chúc, lệch khỏi cung hàm và trồi lên trên lợi.
- Kích thước răng lớn bất thường: Sự chênh lệch giữa kích thước răng và cung hàm (răng to – hàm nhỏ) làm tăng nguy cơ răng mọc lệch, đặc biệt là răng nanh hoặc răng cửa.
- Mất hoặc thiếu mầm răng vĩnh viễn: Khi mất mầm răng, các răng xung quanh có xu hướng dịch chuyển lấp khoảng trống, khiến răng khác mọc sai vị trí hoặc trồi lên nướu.
- Thói quen xấu từ nhỏ: Các thói quen như mút tay, bú bình kéo dài, đẩy lưỡi, ngủ há miệng… có thể làm thay đổi sự phát triển của xương hàm, từ đó ảnh hưởng đến hướng mọc răng.
- Yếu tố di truyền: Di truyền đóng vai trò quan trọng trong cấu trúc xương hàm và kích thước răng. Nếu cha mẹ có răng mọc lệch hoặc chen chúc, con cái cũng có nguy cơ cao gặp tình trạng tương tự.
- Chấn thương vùng răng hàm: Va đập mạnh trong giai đoạn thay răng có thể làm lệch mầm răng vĩnh viễn, dẫn đến răng mọc sai hướng hoặc trồi lên trên lợi khi phát triển.
Việc xác định đúng nguyên nhân sẽ giúp bác sĩ lựa chọn phương pháp điều trị phù hợp, hạn chế biến chứng và tối ưu hiệu quả chỉnh nha.

2. Dấu hiệu răng mọc trên lợi ở trẻ em
Các dấu hiệu thường gặp dưới đây là cơ sở để phát hiện ra bạn có bị răng mọc trên lợi hay răng mọc lệch hay không, cụ thể:
- Răng mọc ngược trên lợi: Dễ dàng nhận thấy răng bị mọc lệch ra khỏi cung hàm và có xu hướng mọc lên cao hơn so với nhóm răng còn lại. Không gian chật hẹp không đủ để mọc thẳng dẫn đến răng mọc ngược lên phần nướu.

- Răng nanh mọc ngược lên trên nướu: Có xác suất cao vì đây là răng mọc sau cùng trong quá trình thay răng. Nếu nhẹ, răng mọc ngược trên lợi sẽ hình thành răng khểnh nhưng ở mức độ nặng, hướng mọc chếch thẳng lên phía trên so với các răng còn lại sẽ làm mất đi tính thẩm mỹ cho khuôn mặt.
- Răng mọc ngược lên mũi: Hiếm khi xảy ra với biểu hiện răng phát triển to trong mũi. Người mắc phải sẽ cảm thấy mũi bị đau nhức, chảy máu mũi và ngạt mũi thường xuyên.
- Chân răng mọc ngược: Phần thân răng thay vì mọc thẳng sẽ trở thành mọc ngang và làm lộ ra chân răng. Vấn đề này thường khiến hàm răng trở nên biến dạng, gây mất cân đối cho khuôn mặt.
- Răng mọc ngược vào trong: Khi cung răng hàm trên phát triển quá mức, răng hàm dưới sẽ cụp sâu vào bên trong hoặc ngược lại làm răng hô. Bên cạnh đó, tình trạng răng mọc ngầm cũng có thể khiến hai hàm bị mất cân đối, ảnh hưởng lớn đến tính thẩm mỹ.
- Răng khôn mọc ngược: Dấu hiệu rõ nét là răng sẽ mọc theo chiều ngang, chúng sẽ đâm vào xương hàm hoặc răng số 7. Kéo theo đó là các cơn đau nhức kéo dài và gây nên sự khó chịu trong sinh hoạt của người gặp phải.

Khi nhận thấy có các dấu hiệu trên, bạn nên xếp lịch thăm khám tại cơ sở nha khoa chuyên nghiệp để có giải pháp xử lý sớm.
3. Cách xử lý khi mọc răng trên lợi
Tùy theo từng mức độ ảnh hưởng và độ tuổi người mắc phải, phương pháp xử lý đối với răng mọc trên lợi cũng khác nhau. Cụ thể:
- Đối với trẻ em:
Đây là nhóm đối tượng cần được quan tâm, bảo vệ mô răng kỹ càng. Phương pháp tối ưu mà bác sĩ đưa ra cho trẻ là niềng răng, bằng cách sử dụng các khí cụ tác động để kéo răng về vị trí đúng.
Cách làm này cũng giúp giảm thiểu tối đa cơn đau nhức và không mất nhiều thời gian do xương hàm và răng của trẻ lúc này còn mềm, dễ nắn chỉnh.
Thông thường, chỉ cần đeo niềng trong khoảng 1 – 1,5 năm là đã có thể thấy sự cải thiện rõ rệt.

- Đối với người lớn:
Ở độ tuổi trưởng thành, bác sĩ có thể chỉ định nhổ bỏ răng mọc sai, niềng răng và phục hình lại răng mới. Tương tự như trẻ nhỏ, niềng răng là cách xử lý được nhiều bác sĩ áp dụng đối với người có răng mọc ngược. Tuy nhiên, nếu răng mọc lệch đơn lẻ và không có nhiều chức năng ăn nhai, ảnh hưởng đến thẩm mỹ như răng khôn thì có thể nhổ bỏ.
Đặc biệt, trường hợp được xác định răng mọc ngược do xương thì cách làm tối ưu cần áp dụng chính là phẫu thuật thẩm mỹ.
Sau khi thực hiện xong các phương pháp, việc ăn uống của bạn vẫn có thể diễn ra bình thường và nên thăm khám lại tại cơ sở nha khoa.
Xem thêm:
Răng mọc trên lợi là một biến chứng tiềm ẩn nhiều rủi ro đối với cả người lớn và trẻ nhỏ. Nhận thức sớm và kịp thời điều trị sẽ giúp gia đình bạn hạn chế được tối đa những hệ luỵ có thể gặp phải. Việc chăm sóc răng miệng không chỉ quan trọng trong những năm tháng đầu đời của con mà ngay cả với người trưởng thành cũng cần lưu tâm.
