Mọc mủ ở lợi là tình trạng nhiễm trùng răng miệng khá phổ biến, thường xảy ra khi vi khuẩn tấn công vào nướu hoặc chân răng. Nếu không được phát hiện và điều trị kịp thời, tình trạng này có thể gây đau nhức kéo dài, ảnh hưởng đến việc ăn uống, sinh hoạt và thậm chí dẫn đến mất răng. Vì vậy, việc hiểu rõ nguyên nhân, dấu hiệu và cách xử lý khi lợi có mủ sẽ giúp người bệnh chủ động bảo vệ sức khỏe răng miệng hiệu quả hơn.

Lợi mọc mủ là gì?
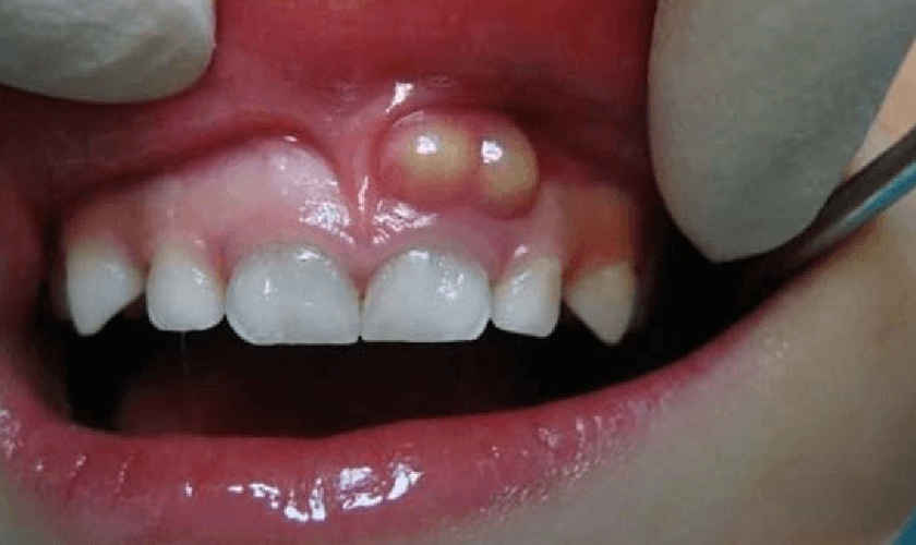
Trong y học, mọc mủ ở lợi thường được gọi là áp xe. Đây là một túi chứa đầy dịch viêm, bao gồm xác vi khuẩn, tế bào bạch cầu chết và các mảnh vụn mô.
Cơ chế hình thành: Khi vi khuẩn tấn công sâu vào tủy răng hoặc các túi nha chu, hệ miễn dịch sẽ huy động bạch cầu đến để tiêu diệt tác nhân gây hại. Cuộc “giao tranh” này tạo ra mủ. Khi mủ không thoát ra được, nó sẽ tích tụ lại, tạo áp lực lớn và hình thành một khối sưng phồng trên nướu.
Dấu hiệu nhận biết: Khối sưng ban đầu có thể cứng, sau đó mềm dần, có đầu mủ trắng hoặc vàng. Khi vỡ ra, mủ có mùi hôi đặc trưng và vị đắng trong miệng.
Phân loại ổ mủ ở lợi theo từng mức độ
Bác sĩ nha khoa phân chia lợi mọc mủ thành 3 loại chính dựa trên nguồn gốc nhiễm trùng. Việc xác định đúng loại là chìa khóa để điều trị dứt điểm.
| Loại áp xe | Vị trí xuất hiện | Nguyên nhân phổ biến | Mức độ nguy hiểm |
| Áp xe nướu | Chỉ nằm ở phần mô nướu mềm | Dị vật (xương cá, tăm) giắt vào nướu | Nhẹ – Xử lý nhanh |
| Áp xe nha chu | Nằm sâu ở túi lợi, quanh chân răng | Viêm nha chu mạn tính, cao răng sâu | Trung bình – Gây tiêu xương |
| Áp xe quanh chóp | Mọc ở chóp chân răng (dưới sâu xương hàm) | Sâu răng nặng gây chết tủy | Rất nặng – Dễ mất răng |
Biểu hiện lợi mọc mủ trắng
Viêm nướu có mủ thường xuất hiện với nhiều biểu hiện rõ rệt. Người bệnh có thể nhận biết tình trạng này thông qua các dấu hiệu sau.
- Đau nhức răng kéo dài: Đây là triệu chứng phổ biến nhất. Cơn đau thường xuất hiện tại vùng răng bị viêm và có xu hướng lan sang các khu vực lân cận như hàm, tai hoặc cổ. Khi tình trạng viêm nặng hơn, cơn đau có thể kéo dài nhiều giờ và gây khó chịu liên tục.
- Nướu sưng đỏ và mềm: Khu vực nướu quanh răng bị viêm thường sưng to, đỏ hơn bình thường. Khi chạm vào có thể cảm thấy mềm và đau. Trong một số trường hợp, khi ấn nhẹ có thể thấy dịch mủ chảy ra.
- Hôi miệng: Vi khuẩn phát triển trong ổ mủ sẽ tạo ra mùi hôi khó chịu. Đây là nguyên nhân khiến nhiều người bị viêm nướu có mủ thường gặp tình trạng hôi miệng kéo dài.
- Đau buốt khi ăn uống: Khi nướu bị viêm, răng trở nên nhạy cảm hơn với nhiệt độ và lực nhai. Người bệnh có thể cảm thấy đau buốt khi ăn đồ nóng, lạnh hoặc thức ăn cứng.
- Sốt nhẹ và mệt mỏi: Trong một số trường hợp, cơ thể có thể phản ứng với tình trạng nhiễm trùng bằng cách gây sốt nhẹ. Đây là dấu hiệu cho thấy hệ miễn dịch đang hoạt động để chống lại vi khuẩn.
- Sưng má hoặc nổi hạch ở cổ: Nếu tình trạng viêm lan rộng, vùng má có thể bị sưng và xuất hiện hạch bạch huyết ở cổ. Đây là dấu hiệu nhiễm trùng nghiêm trọng cần được thăm khám sớm.

Nguyên nhân mọc mủ ở chân răng
Không chỉ do lười đánh răng, mọc mủ ở lợi còn xuất phát từ những nguyên nhân ít người ngờ tới:
Biến chứng răng khôn (Răng số 8): Răng khôn mọc lệch tạo thành “túi lợi trùm” tích tụ thức ăn. Vi khuẩn tại đây phát triển cực nhanh tạo thành ổ mủ viêm lợi trùm.
Thất bại sau điều trị tủy (Nội nha): Nếu quy trình lấy tủy trước đó không triệt để, vi khuẩn còn sót lại sẽ âm thầm tạo mủ ở chóp chân răng sau một thời gian dài.
Răng bị chấn thương ngầm: Một cú va chạm khiến răng bị nứt li ti mà mắt thường không thấy được. Vi khuẩn theo kẽ nứt đi thẳng vào tủy gây chết tủy và tạo áp xe.
Các bệnh lý nền: Người bị tiểu đường hoặc suy giảm miễn dịch có nguy cơ bị áp xe răng cao hơn và vết thương cũng khó lành hơn.

Cách xử lý chân răng mọc mủ
Viêm nướu có mủ có quá trình phát triển từ nhẹ đến nặng. Người bệnh cần đến các cơ sở y tế để được chỉ định thăm khám và điều trị theo các biện pháp khác nhau tùy theo từng giai đoạn và tình trạng viêm:
Giai đoạn viêm cấp
Đây là giai đoạn nhẹ nên các bác sĩ sẽ cho bạn sử dụng thuốc kháng sinh để cô lập ổ nhiễm trùng và làm giảm các triệu chứng sốt, đau, sưng nề,…
Giai đoạn ổn định
Sau một thời gian điều trị, tình trạng viêm đã ổn định. Lúc này, các nha sĩ sẽ có phác đồ điều trị dứt điểm các nguyên nhân gây bệnh, đồng thời thực hiện các thủ thuật để loại bỏ ổ viêm như:
- Dẫn lưu khối mủ (chích rạch ổ abscess): cắt một vết cắt nhỏ tại khối sưng mủ để dẫn lưu. Bác sĩ sẽ tiến hành loại bỏ và làm sạch viêm nhiễm để không lây lan sang khu vực khác.
- Điều trị viêm quanh răng: lấy cao răng, nạo sạch các chấm bám quanh chân răng và dưới lợi.
- Chữa tủy răng: Nha sĩ khoan 1 lỗ nhỏ trên bề mặt răng và lấy hết tủy răng. Sau đó, làm sạch phần rỗng chứa tủy rồi hàn kín lại.
- Nhổ răng: Răng được nhổ bỏ nếu tình trạng quá nghiêm trọng. Lúc đó, nha sĩ tiến hành nhổ răng và nạo vét hết vùng viêm bên trong xương. Việc trồng răng giả sẽ được thực hiện khi vết thương sau nhổ răng phục hồi tốt.
- Tiểu phẫu: Nếu nguyên nhân dẫn đến viêm lợi là do có dị vật như xương cá, lông bàn chải,… thì các nha sĩ sẽ tiểu phẫu để loại bỏ, sau đó làm sạch ổ viêm bằng kháng sinh.
Ngoài các biện pháp khi đến nha sĩ, bạn cũng có thể tiến hành tự điều trị tại nhà bằng các nguyên liệu có tính kháng khuẩn, khử trùng, giảm sưng đau như:
- Mật ong: Bôi trực tiếp lên vùng bị sưng viêm, đợi 5 – 10 phút rồi súc miệng bằng nước sạch, lặp lại 2 – 3 lần/ngày.
- Gừng: Thái lát mỏng đắp lên vùng sưng khoảng 5 – 10 phút hoặc giã nát, hãm với nước sôi trong 10 – 15 phút rồi súc miệng.
- Lá kinh giới: Rửa sạch, đun cùng vài hạt muối trong 5 phút, đợi nguội rồi chắt lấy nước súc miệng.
- Tỏi: Bóc vỏ, rửa sạch, nghiền nát với một chút muối rồi đắp lên chỗ viêm khoảng 5 – 10 phút thì nhổ bỏ.
- Nước muối: Dùng để súc miệng 2 – 3 lần/ngày.
Tuy nhiên, việc điều trị tại nhà được các bác sĩ khuyên không nên thực hiện vì không thể điều trị dứt điểm các nguyên nhân gây bệnh.
Khi tình trạng viêm nhiễm quá nghiêm trọng, ổ nhiễm trùng tạo thành nang to trong xương và lây sang răng khác. Lúc này, điều trị sẽ phức tạp hơn rất nhiều, đôi khi sẽ không thể khắc phục được.
Việc theo dõi sau điều trị cần được chú trọng, người bệnh nên tuân thủ lời dặn của nha sĩ để tránh tái phát.
Những lưu ý khi có mủ ở lợi
Để tránh tình trạng viêm mủ trở nên nặng hơn, người bệnh cần lưu ý:
- Đánh răng 2 lần/ngày, đồng thời súc miệng nước muối để loại bớt vi khuẩn, giảm viêm nhiễm.
- Không nên đánh răng quá mạnh vì lợi dễ chảy máu khi bị viêm, khiến tổn thương nặng hơn.
- Tránh ăn các loại thực phẩm cứng, dai và tránh va chạm đến phần lợi bị đau.
Để phòng ngừa bệnh xuất hiện hoặc tái phát, chúng ta cũng cần chú ý đến vệ sinh răng miệng hàng ngày, ăn uống khoa học, lành mạnh và đến gặp nha sĩ 6 tháng/lần để đảm bảo sức khỏe răng miệng.

Giải đáp thắc mắc liên quan đến lợi mọc mủ
Lợi mọc mủ có tự khỏi được không?
Tuyệt đối không. Cơn đau có thể tạm lắng xuống nếu mủ tự vỡ, nhưng ổ nhiễm trùng vẫn tồn tại bên trong. Nó giống như một “quả bom hẹn giờ” sẽ tái phát với sức phá hủy xương hàm lớn hơn nhiều lần.
Chi phí điều trị mọc mủ ở lợi là bao nhiêu?
Việc chích rạch mủ đơn thuần chỉ mất khoảng 300.000 – 500.000 VNĐ. Tuy nhiên, tổng chi phí phụ thuộc vào việc bạn phải chữa tủy (2-5 triệu VNĐ) hay tiểu phẫu răng khôn. Can thiệp càng sớm càng tiết kiệm chi phí.
Phụ nữ mang thai bị mọc mủ ở lợi phải làm sao?
Cần đi khám ngay. Nhiễm trùng răng miệng ở mẹ bầu có liên quan đến nguy cơ sinh non. Bác sĩ sẽ có các loại thuốc và thủ thuật an toàn dành riêng cho phụ nữ mang thai.
Mọc mủ ở lợi là một tình trạng khẩn cấp nha khoa. Thay vì loay hoay với các mẹo dân gian, bạn cần sự can thiệp của các thiết bị chẩn đoán hiện đại để ngăn chặn sự phá hủy xương hàm. Hãy bảo vệ nụ cười của bạn bằng cách thăm khám định kỳ và xử lý các vấn đề răng miệng ngay khi chúng còn ở giai đoạn sơ khởi.
