Răng mọc ngược là tình trạng răng phát triển sai hướng so với cung hàm, có thể mọc chìa ra ngoài, cụp vào trong, mọc ngang hoặc trồi lên nướu. Tình trạng này không chỉ làm mất thẩm mỹ mà còn ảnh hưởng đến khớp cắn, chức năng ăn nhai và sức khỏe răng miệng lâu dài. Nếu không điều trị sớm, răng mọc ngược có thể gây lệch hàm, viêm nướu và nhiều biến chứng khác.
Tại sao chân răng mọc ngược?
Răng mọc ngược có thể xuất hiện ở cả trẻ em và người lớn, với nhiều nguyên nhân khác nhau.
Nguyên nhân ở trẻ em
- Di truyền: Cấu trúc hàm và kích thước răng có thể di truyền từ bố mẹ.
- Thói quen xấu: Mút tay, bú bình kéo dài, ngậm ti giả sau 3 tuổi làm thay đổi cấu trúc hàm.
- Vệ sinh răng miệng kém: Gây sâu răng sớm, mất răng sữa trước thời điểm thay răng.
- Nhổ răng sữa sai cách: Làm lệch hướng mọc của răng vĩnh viễn.
Nguyên nhân ở người lớn
- Thiếu khoảng trống trên cung hàm: Răng không đủ chỗ mọc nên mọc lệch.
- Sai lệch cấu trúc xương hàm: Hàm trên hoặc hàm dưới phát triển quá mức.
- Mất mầm răng vĩnh viễn: Khiến răng mọc lộn xộn, sai vị trí.

Biểu hiện của hiện tượng răng mọc ngược ở trẻ
Thông thường, răng trẻ mọc ngược sẽ chia thành hai dạng: Mọc ngược 1-2 chiếc răng và mọc ngược toàn bộ hàm trên hoặc hàm dưới. Để nhận biết răng mọc ngược ở trẻ, phụ huynh có thể tham khảo 4 biểu hiện sau:
- Răng mọc ngược lên mũi: Đây là trường hợp hiếm gặp, xảy ra khi mầm răng di chuyển lệch quá mức. Răng nếu không được xử lý kịp thời, mọc lớn dần trong mũi sẽ làm trẻ bị ngạt mũi, đau nhức dữ dội.
- Răng mọc ngược vào trong: Còn được gọi là răng mọc thừa phía trong, là biểu hiện rõ ràng và phổ biến nhất. Một hàm sẽ có xu hướng mọc hướng vào bên trong, nguyên nhân chủ yếu đến từ răng bị hô và vẩu.
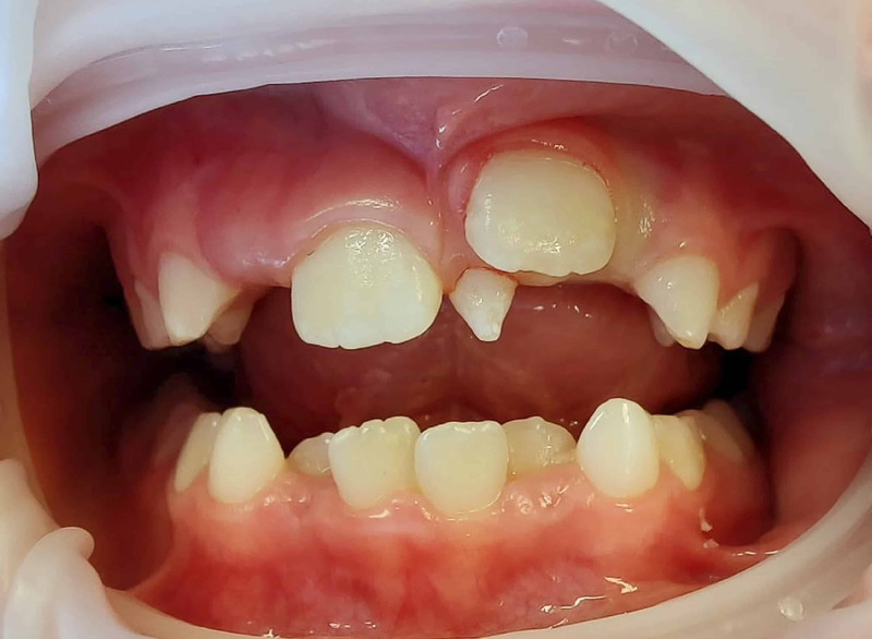
- Răng mọc ngược trên nướu: Thường xuất hiện ở vị trí răng nanh và răng cửa, do hàm không đủ chỗ nên răng sẽ mọc trồi lên bề mặt nướu.
- Chân răng mọc ngược: Chân răng thay vì mọc trong xương hàm thì mọc chìa ra ngoài, có thể thấy bằng mắt thường. Thân răng lúc này sẽ nằm ngang, chèn vào vị trí của các răng khác, làm xô lệch tổng thể hàm.
Việc phát hiện sớm biểu hiện mọc răng ngược ở trẻ sẽ giúp quá trình chữa trị về sau suôn sẻ, tỷ lệ thành công cao hơn. Bởi khi răng để càng lâu sẽ càng khó can thiệp, cảm giác đau đớn cũng tăng trong thời gian điều trị.
Ảnh hưởng của răng mọc ngược
Răng mọc ngược có nguy hiểm không? Chúng ảnh hưởng như thế nào đến người bị? Việc răng mọc không đúng hướng sẽ có những tác hại sau:
- Mất thẩm mỹ: Răng mọc ngược làm khớp cắn bị lệch, dẫn đến khuôn mặt bị mất cân đối. Bên cạnh đó, hàm răng không đều cũng cản trở quá trình giao tiếp, giảm độ tự tin khi nói chuyện.
- Tăng khả năng mắc các bệnh về răng miệng: Răng mọc hướng vào trong hay ra ngoài khiến việc vệ sinh khó khăn hơn, tạo điều kiện cho thức ăn bám vào các kẽ răng, lâu dần sinh ra vi khuẩn. Do vậy, người có răng mọc ngược dễ bị mắc các bệnh viêm lợi, sâu răng, hôi miệng, nha chu, viêm nướu,…
- Khó nhai, nghiền thức ăn: Răng mọc sai vị trí làm hai hàm trên và dưới không khớp nhau, khiến hoạt động nhai thức ăn bị gián đoạn. Khi thức ăn không được nghiền kỹ trước khi xuống bụng là nguyên nhân chính gây vấn đề về dạ dày, đại tràng, tiêu hóa.

Nhìn chung, răng mọc ngược không chỉ tác động tiêu cực tới sức khỏe răng miệng mà còn làm mất thẩm mỹ khuôn mặt. Lâu dần, “khổ chủ” sẽ bị mất tự tin khi giao tiếp, kéo theo nhiều hệ lụy trong sinh hoạt.
Phương pháp xử lý khi răng mọc ngược
Để xử lý răng bị mọc ngược cần xem xét nhiều yếu tố: Độ tuổi, nguyên nhân, tình trạng răng miệng, mức độ ảnh hưởng.
Với trẻ em, bác sĩ sẽ ưu tiên sử dụng dụng cụ chuyên khoa để tác động lên răng, kéo chúng về đúng vị trí trước khi mọc toàn bộ. Do xương hàm của trẻ chưa phát triển hoàn toàn nên dễ dàng nắn chỉnh, không tốn thời gian và ít đau đớn. Với người lớn, phương pháp được áp dụng chủ yếu là nhổ răng, niềng răng và phục hình răng.
Nhổ răng:
Nhổ răng sẽ xử lý triệt để răng mọc sai, được chỉ định trong những trường hợp:
- Răng sâu nghiêm trọng.
- Viêm tủy răng.
- Nứt gãy răng.
Sau khi nhổ, bác sĩ sẽ tiến hành phục hình răng bằng các cách bọc răng sứ, trồng răng, niềng răng,… để phục hồi chức năng nhai nghiền. Tuy nhiên, nhổ răng chỉ được áp dụng cho dạng mọc ngược 1-2 răng, không áp dụng cho răng ngược nguyên hàm.
Phẫu thuật chỉnh hàm:
Trong trường hợp răng mọc ngược do cung hàm, thì người bệnh cần phẫu thuật chỉnh hàm, cắt rời đi đoạn xương hàm bị lệch. Sau đó, răng sẽ được đưa về đúng vị trí, cố định lại bằng nẹp chuyên dụng. Đây là phương pháp can thiệp sâu nên cần xem xét kỹ lưỡng trước khi mổ.
Niềng răng:
Niềng răng là phương pháp xử lý được sử dụng nhiều, từ các trường hợp đơn giản tới phức tạp. Răng dần dịch chuyển về đúng vị trí với khoảng thời gian kéo dài từ 12-24 tháng, tùy vào từng ca bệnh. Tuy nhiên, niềng răng có ưu điểm là bảo vệ răng tối đa sao cho đẹp, đều và vẫn chắc khỏe.

Răng mọc ngược là tình trạng sai lệch răng phổ biến, có thể do di truyền, thói quen xấu hoặc cấu trúc hàm bất thường. Điều trị sớm bằng niềng răng, nhổ răng hoặc phẫu thuật sẽ giúp khôi phục thẩm mỹ và chức năng ăn nhai hiệu quả.
