Nhổ răng lung lay không phải lúc nào cũng là giải pháp bắt buộc. Tùy vào nguyên nhân gây lung lay, bác sĩ sẽ chỉ định nhổ bỏ hoặc bảo tồn răng để đảm bảo chức năng ăn nhai và tính thẩm mỹ lâu dài.
1. Tại sao răng lung lay?
Trước khi quyết định nhổ răng lung lay, việc quan trọng nhất là xác định đúng nguyên nhân. Không phải trường hợp răng lung lay nào cũng cần nhổ bỏ. Tùy vào yếu tố sinh lý, tác động bên ngoài hay bệnh lý răng miệng, bác sĩ sẽ chỉ định bảo tồn hoặc nhổ răng để tránh biến chứng.
1.1 Răng lung lay theo quy luật tự nhiên
Trong một số trường hợp, răng lung lay là hiện tượng sinh lý bình thường và không cần nhổ răng lung lay quá sớm.
- Trẻ em thay răng:
Răng sữa bắt đầu lung lay từ 5–12 tuổi để nhường chỗ cho răng vĩnh viễn. Đây là quá trình phát triển tự nhiên. Tuy nhiên, nếu răng sữa lung lay gây đau, viêm hoặc ảnh hưởng răng mới thì bác sĩ có thể chỉ định nhổ. - Phụ nữ mang thai hoặc tiền mãn kinh:
Sự thay đổi nội tiết tố làm nướu nhạy cảm, dễ sưng viêm và khiến răng lung lay tạm thời. Trường hợp này thường ưu tiên điều trị nướu thay vì nhổ răng. - Người cao tuổi:
Quá trình lão hóa và tiêu xương hàm khiến răng yếu dần, độ bám chắc giảm. Nếu tiêu xương nghiêm trọng, bác sĩ mới cân nhắc nhổ răng lung lay để tránh nhiễm trùng.
1.2 Răng lung lay do tác động ngoại lực
Những chấn thương hoặc thói quen xấu có thể khiến răng mất độ ổn định:
- Va đập mạnh do tai nạn
- Cắn vật cứng thường xuyên
- Nghiến răng khi ngủ kéo dài
- Niềng răng sai kỹ thuật, lực kéo quá mức
Trong các trường hợp này, nếu răng chỉ lung lay nhẹ, bác sĩ có thể nẹp cố định thay vì nhổ răng lung lay ngay lập tức.
1.3 Răng lung lay do bệnh lý răng miệng
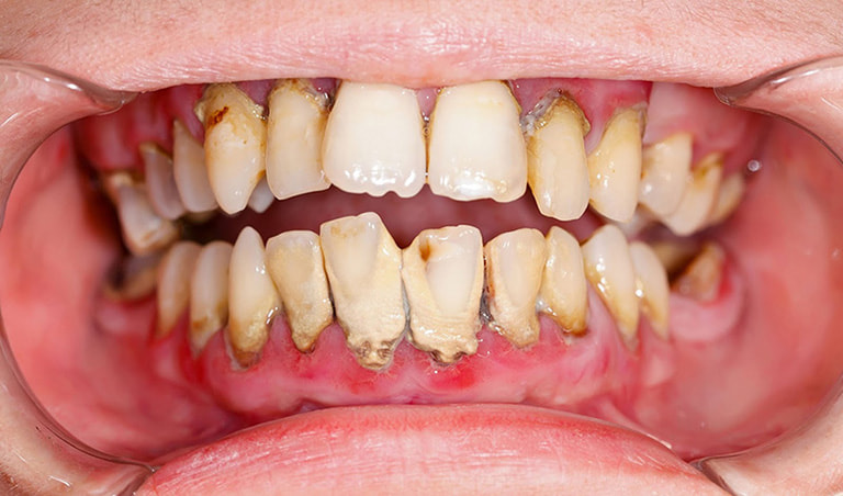
Đây là nguyên nhân phổ biến nhất khiến người lớn phải nhổ răng lung lay.
Các bệnh lý thường gặp gồm:
- Viêm nha chu nặng: Phá hủy nướu và xương ổ răng
- Sâu răng ăn vào tủy: Làm hoại tử chân răng
- Viêm tủy, áp xe chân răng: Hình thành túi mủ gây tiêu xương
- Tiêu xương ổ răng nghiêm trọng
Khi mô nâng đỡ răng bị phá hủy nặng, răng mất độ bám chắc và không thể phục hồi, việc nhổ răng lung lay là cần thiết để ngăn nhiễm trùng lan rộng và bảo vệ các răng còn lại.

2. Răng lung lay có nên nhổ không?
Răng bị lung lay có nên nhổ không sẽ phụ thuộc vào nguyên nhân và phân ra thành hai dạng sau:
2.1 Răng nào lung lay nên nhổ?
Đối với trẻ em
Răng bé lung lay là dấu hiệu thay răng từ 10-12 tuổi, tùy vào tốc độ dậy thì ở mỗi người mà quá trình này có thể sớm hoặc muộn hơn.
Các dạng răng lung lay cần phải nhổ ở trẻ em bao gồm:
- Bé thấy đau nhức, rỉ máu và thấy răng dịch chuyển khi chạm vào răng
- Răng sữa bị nhiễm trùng phần chân răng và gây viêm
- Các răng bên cạnh bị ảnh hưởng bởi sự dịch chuyển của răng lung lay. Quá trình này có thể lan dần sang nướu, gây viêm nhiễm hoặc tụt lợi.
Đối với người lớn
Triệu chứng răng lung lay ở người lớn sẽ có nhiều loại phức tạp như:
- Đi kèm viêm, chảy máu nướu răng
- Lợi và nướu bị sưng
- Đau nhức khó chịu, bị nhiễm trùng khiến phần chân răng bị đen
- Sâu răng đã vào đến tủy và chân, phần gốc răng gần như không còn
- Viêm nha chu ở mức độ nặng

Những triệu chứng trên ảnh hưởng trực tiếp đến sức khỏe răng miệng, vì vậy việc nhổ răng kịp thời đóng vai trò quan trọng để hạn chế tối đa hậu quả về sau. Tuy nhiên, vẫn sẽ có những tình huống có thể cải thiện mà không cần phải nhổ bỏ răng đã bị lung lay.
2.2 Loại răng lung lay không nhổ
Không phải lúc nào răng gặp vấn đề cũng cần phải nhổ bỏ. Trên thực tế, có các trường hợp không nhổ răng mà bác sĩ sẽ ưu tiên bảo tồn, chẳng hạn như răng có thể điều trị tủy, phục hồi bằng trám hoặc bọc sứ. Việc giữ lại răng thật sẽ giúp duy trì chức năng ăn nhai và hạn chế những biến chứng không đáng có.
- Răng lung lay trong giai đoạn thay răng ở trẻ em.
- Răng khỏe mạnh, không có bệnh lý nha khoa nào nhưng bị tác động ngoại lực dẫn đến lung lay nhẹ. Lúc này, bác sĩ nẹp để đảm bảo cố định răng vào xương ổ răng để dần ổn định.
- Viêm nha chu có khả năng cạo vôi, làm sạch để nướu gắn lại với răng.
- Mắc bệnh viêm nướu răng khiến răng lung lay, cần thực hiện phẫu thuật để loại bỏ mô nướu bị viêm nhiễm và phần xương bị hư hại. Tiếp đó, rạch nướu rồi kéo lại mô nướu cho người bệnh.
- Thoái hóa xương (suy giảm chất lượng cấu trúc xương và sụn), bác sĩ sửa phần xương bị lệch bằng cách lấy mảnh xương từ vùng khác trên cơ thể. Cách này sẽ cung cấp tế bào gốc và mô xương, từ đó hỗ trợ quá trình tái tạo và phục hồi mô xương bị tổn thương cho bệnh nhân.
- Đối với tiêu xương (mất đi mô xương), cần dùng một loại vật liệu ghép xương đặc biệt để thay thế cho phần xương đã mất.
- Khi nghiến răng nhiều, bệnh nhân sẽ được định hình lại bề mặt cắn của răng bằng việc loại bỏ bớt men răng nhằm giảm áp lực lên răng.
3. Phương pháp nhổ răng lung lay đúng tiêu chuẩn
Quy trình nhổ răng lung lay tại nha khoa hay tại nhà đều cần đảm bảo đúng tiêu chuẩn, an toàn, không gây đau cho người lớn và trẻ em.
3.1 Quy trình chung khi nhổ răng lung lay tại nha khoa
Khám và chẩn đoán:
- Thực hiện các xét nghiệm cần thiết để phán đoán trạng thái răng miệng.
- Chụp X-Quang để xác định chân và hướng mọc của răng
Tiến hành nhổ răng:
- Sử dụng các thiết bị vô trùng: Các dụng cụ dùng trong quá trình nhổ răng đều được tiệt trùng hoàn toàn.
- Gây tê để giảm đau trong quá trình nhổ.
- Tiến hành nhổ răng theo phương pháp khách hàng đã chọn, đảm bảo an toàn, hiệu quả và không gây đau cho bệnh nhân.
- Vệ sinh hố răng sau nhổ.
- Bệnh nhân sẽ chờ khoảng 15-20 phút để kiểm tra phản ứng sau nhổ răng. Nếu cảm thấy bình thường sẽ được về nhà theo dõi thêm, khi có phản ứng lạ sẽ có các biện pháp xử lý kịp thời.
- Bác sĩ kê đơn thuốc giảm đau và kháng viêm, tiếp đó hướng dẫn khách hàng chăm sóc răng sau khi nhổ.

Nếu cần tư vấn hoặc tìm kiếm nha khoa nhổ răng uy tín và gần nhà, bạn có thể liên hệ NhaKhoaHub. Đây là đơn vị review nha khoa giúp khách hàng tìm được cơ sở nha khoa có độ tin cậy cao để thăm khám răng miệng.
3.2 Quy trình chung khi nhổ răng tại nhà
Nhổ răng tại nhà sử dụng những dụng cụ đơn giản, các phương pháp nhổ răng tại nhà gồm có:
- Nhổ bằng tay không: Cách này tương đối đơn giản nhưng đòi hỏi kỹ thuật nhổ phải tốt và ý chí can đảm của người nhổ cũng như người được nhổ răng.
- Sử dụng chỉ: Dùng chỉ buộc chặt vào răng đang lung lay rồi giật dứt khoát để răng bung ra. Sau đó, lấy nước muối ấm để súc miệng nhẹ nhàng và cắn chặt bông vào vùng răng đã nhổ để cầm máu.
- Dùng đá lạnh hỗ trợ: Đá lạnh có khả gây tê nướu, hỗ trợ giảm đau hiệu quả. Dùng đá lạnh chườm lên vùng răng lung lay cần nhổ khoảng 20 phút, rồi dùng tay hoặc chỉ nhổ răng bị lung lay một cách dứt khoát.

4. Những vấn đề cần lưu ý khi nhổ răng lung lay
Nhổ răng lung lay cần đảm bảo an toàn cho răng, nướu và toàn bộ hệ thống khoang miệng.
Răng lung lay bao lâu thì rụng?
Tùy từng nguyên nhân mà thời gian răng lung lay rụng của mỗi người sẽ khác nhau:
- Với trẻ thay răng: Mất khoảng 3 – 4 ngày với trẻ lung lay răng cửa và 1 tuần với răng hàm.
- Với người lớn tuổi Tùy từng người có thời gian rụng khác nhau, 1 vài tuần, 1 vài tháng hoặc lâu hơn.
- Với người có vấn đề về bệnh lý răng miệng hoặc bị tác động bởi ngoại lực: Khó xác định được thời gian.
Nên làm gì khi nhổ răng bị lung lay răng bên cạnh?
Nếu nhổ răng bị lung lay răng bên cạnh, để đảm bảo an toàn và hạn chế tình trạng tổn thương cần chú ý các tới các điều sau:
- Dừng lại việc nhổ răng: Khi nhổ thấy răng bên cạnh đang lung lay thì dừng lại, nếu vẫn tiếp tục sẽ gây tổn thương hoặc làm ảnh hưởng thêm tới các răng khác răng khác.
- Thăm khám nha sĩ: Để giữ sự ổn định của răng, có thể tham khảo các kỹ thuật nha khoa như: hàn, trám, bọc sứ hoặc cấy ghép implant.
- Lưu ý khi ăn uống: Tránh ăn các thực phẩm quá cứng hoặc dùng lực cắn hay nhai mạnh.
Khi nhổ tại nhà cần đảm bảo tiệt trùng và vệ sinh
Tự nhổ răng tại nhà tiết kiệm chi phí nhưng tiềm ẩn một số yếu tố gây nguy hiểm. Ngoài ra, dụng cụ nhổ răng không được vệ sinh và tiệt trùng cẩn thận dễ gây các biến chứng nguy hiểm như:
- Biến chứng sót chân răng: Răng hàm có nhiều chân răng hơn các răng khác, khi nhổ tại nhà bị sót chân răng gây đau nhức khó chịu.
- Nhiễm trùng:
– Các dụng cụ nhổ răng tại nhà không đảm bảo vô trùng.
– Bệnh nhân không được súc miệng bằng dung dịch chuyên dụng.
– Không được kê đúng thuốc kháng sinh sau khi nhổ.
- Chảy máu tại vị trí nhổ răng kéo dài: Nhổ răng tại nhà không đúng kỹ thuật làm cho vết thương rộng hơn, tổn thương mô mềm và xương hàm.
Nếu bạn đang băn khoăn có nên nhổ răng lung lay hay không, hãy để bác sĩ chuyên khoa thăm khám và đưa ra chỉ định phù hợp, đảm bảo an toàn và hạn chế đau nhức. Để được tư vấn chi tiết và đặt lịch hẹn, vui lòng liên hệ
- Hotline:0912011683
Xem thêm:
Nhổ răng lung lay đòi hỏi sự cân nhắc và tư vấn từ chuyên gia nha khoa có kinh nghiệm trong nghề. Việc xác định khi nào nên nhổ, khi nào không cần nhổ là cần thiết để có phương án chăm sóc răng thích hợp.

Top Nha Khoa là nền tảng nha khoa toàn diện, giúp người dùng tiếp cận kiến thức răng hàm mặt chính xác và các phòng khám nha khoa uy tín trên toàn quốc. Website kết nối hơn 5.000 nha khoa, hỗ trợ tìm kiếm và lựa chọn địa chỉ phù hợp. Mọi thông tin được xây dựng theo góc nhìn trung lập, minh bạch và sát thực tế điều trị
