Viêm nướu răng là bệnh lý răng miệng phổ biến, dễ mắc phải và nếu không được kiểm soát kịp thời có thể dẫn đến viêm nha chu, làm răng lung lay và thậm chí mất răng vĩnh viễn. Đây không chỉ là vấn đề thẩm mỹ mà còn ảnh hưởng nghiêm trọng đến sức khỏe toàn thân. Bài viết dưới đây sẽ giúp bạn hiểu rõ viêm nướu là gì, nguyên nhân, dấu hiệu nhận biết cũng như các phương pháp điều trị và phòng ngừa hiệu quả dựa trên nghiên cứu khoa học.

Bị viêm nướu răng là gì?
Viêm nướu răng (còn gọi là viêm lợi răng hoặc viêm chân răng) là tình trạng viêm mô nướu bao quanh chân răng do vi khuẩn trong mảng bám răng gây ra. Mảng bám là lớp màng dính, trong suốt hình thành trên răng mỗi ngày. Nếu không được loại bỏ, mảng bám tích tụ lâu ngày sẽ khoáng hóa thành cao răng, tạo điều kiện cho vi khuẩn phát triển mạnh, gây viêm nướu.
Theo số liệu của Hiệp hội Nha khoa Hoa Kỳ (ADA), có đến 47,2% người trưởng thành trên 30 tuổi tại Mỹ mắc các bệnh lý về nướu, trong đó viêm nướu là thể nhẹ nhất và dễ điều trị nhất nếu phát hiện sớm.
Nguyên nhân viêm nướu răng
Lý do bị viêm nướu chủ yếu là do vệ sinh răng miệng kém, tạo điều kiện cho mảng bám hình thành và tích tụ vi khuẩn. Khi mảng bám không được loại bỏ, chúng sẽ khoáng hóa thành cao răng, gây kích ứng nướu.
Bên cạnh đó, nhiều yếu tố khác làm tăng nguy cơ viêm nướu bao gồm:
- Hút thuốc lá: Nghiên cứu trên Journal of Clinical Periodontology chỉ ra rằng, người hút thuốc có nguy cơ viêm nướu cao hơn 2-6 lần so với người không hút thuốc.
- Thay đổi nội tiết tố: Đặc biệt ở phụ nữ mang thai, tuổi dậy thì, thời kỳ kinh nguyệt, mãn kinh.
- Tiểu đường: Theo ADA, người tiểu đường kiểm soát đường huyết kém có nguy cơ mắc bệnh nướu răng cao gấp 2-3 lần so với người bình thường.
- Sử dụng một số loại thuốc: Ví dụ: thuốc chống co giật, thuốc chẹn kênh canxi, thuốc tránh thai.
- Chế độ ăn uống thiếu hụt vitamin C, kẽm.
- Yếu tố di truyền: Một số nghiên cứu chỉ ra rằng, yếu tố di truyền có thể làm tăng nguy cơ mắc viêm nướu tới 30%.
- Viêm nướu do răng sứ: Thường xảy ra khi răng sứ lắp không khít, thiết kế sai kỹ thuật, sử dụng chất liệu kém chất lượng, khiến viền nướu bị kích ứng, dễ tích tụ mảng bám, vi khuẩn. Cùng với đó, nếu vệ sinh răng không đúng cách sau khi bọc sứ cũng tạo điều kiện cho viêm nướu phát triển, dẫn đến sưng đỏ, đau, chảy máu, tụt nướu quanh răng sứ.
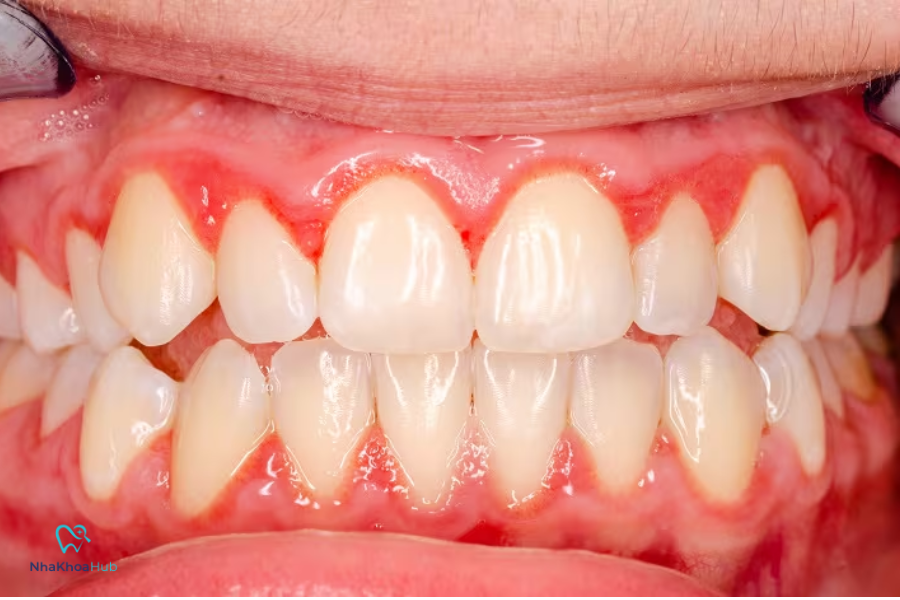
Dấu hiệu và triệu chứng nhận biết viêm nướu
Các dấu hiệu viêm nướu chân răng điển hình bao gồm:
- Nướu sưng đỏ, mềm, dễ chảy máu khi đánh răng hay dùng chỉ nha khoa.
- Hơi thở có mùi hôi dai dẳng dù đã vệ sinh răng miệng.
- Tụt nướu làm lộ chân răng.
- Ê nướu răng.
- Xuất hiện mủ ở kẽ nướu và răng.
- Cảm giác đau, khó chịu khi nhai.

Một nghiên cứu của National Institute of Dental and Craniofacial Research (NIDCR) cho thấy, hầu hết các ca viêm nướu giai đoạn đầu không gây đau, khiến người bệnh chủ quan và dễ bỏ qua các dấu hiệu sớm này.
Viêm nướu có nguy hiểm không? Có lây không?
Sưng viêm nướu không điều trị thì chỉ từ viêm nướu sưng má sẽ tiến triển thành viêm nha chu, phá hủy mô và xương nâng đỡ răng, cuối cùng dẫn tới mất răng. Ngoài ra, viêm nướu còn liên quan đến các bệnh lý toàn thân như:
- Bệnh tim mạch: Vi khuẩn từ nướu viêm có thể xâm nhập vào máu, góp phần gây viêm nội mạc tim.
- Tiểu đường: Viêm nướu làm đường huyết khó kiểm soát hơn.
- Nguy cơ sinh non: Theo Journal of Periodontology, phụ nữ mang thai bị viêm nướu có nguy cơ sinh non cao gấp 2 lần.
Về khả năng lây, vi khuẩn gây viêm nướu có thể truyền qua nước bọt khi dùng chung đồ dùng cá nhân, hôn, nhưng nguy cơ lây lan thành bệnh thấp nếu người tiếp xúc có răng miệng khỏe mạnh và vệ sinh tốt.
Phương pháp chẩn đoán viêm nướu răng
Trước khi bắt đầu điều trị răng bị viêm nướu, nha sĩ sẽ thực hiện chẩn đoán để xác định mức độ viêm nướu và nguy cơ tiến triển.
Thông thường, chẩn đoán dựa vào:
- Khám lâm sàng: Kiểm tra nướu, độ sâu túi nướu (bình thường < 3mm), sự tích tụ mảng bám và cao răng.
- Chụp X-quang: Đánh giá tình trạng xương quanh răng để phát hiện viêm nha chu sớm.
Các biện pháp điều trị viêm nướu răng
Cần kết hợp nhiều phương pháp để đạt hiệu quả tối ưu. Trường hợp bị viêm nướu nên làm gì nếu quá nặng thì bạn nên đến gặp nha sĩ. Tại đây, bệnh nhân sẽ được:
Cạo vôi răng và làm sạch sâu chân răng: Loại bỏ hoàn toàn cao răng viêm nướu và vi khuẩn gây viêm.
Sử dụng thuốc:
- Nước súc miệng chứa Chlorhexidine giúp giảm vi khuẩn.
- Thuốc kháng sinh (như Amoxicillin, Metronidazole) dùng cho viêm nặng.
- Thuốc giảm đau (Paracetamol, Ibuprofen) hỗ trợ giảm khó chịu.
Chỉnh sửa phục hình răng: Loại bỏ các phục hình sai lệch gây cản trở vệ sinh.
Một nghiên cứu công bố trên Cochrane Database, việc cạo vôi răng kết hợp sử dụng Chlorhexidine giúp giảm viêm nướu hiệu quả hơn 30% so với chỉ cạo vôi đơn thuần.
Cách điều trị viêm nướu tại nhà
Song song với điều trị tại nha khoa, bạn có thể áp dụng các biện pháp hỗ trợ tại nhà:
- Súc miệng bằng nước muối loãng/nước muối sinh lý.
- Bôi gel lô hội lên nướu để giảm viêm.
- Chườm túi lọc trà đã nguội lên vùng nướu bị sưng.
- Bôi một lớp mỏng mật ong lên vùng viêm sau khi đánh răng.
Những phương pháp này chỉ mang tính hỗ trợ, không thay thế cho việc điều trị chuyên sâu. Ngay khi xuất hiện các dấu hiệu như bị viêm nướu răng có mủ, nướu chảy máu, sưng đỏ, hơi thở hôi, tụt nướu, răng lung lay… hãy đến nha sĩ để được tư vấn và điều trị kịp thời, ngăn ngừa biến chứng nguy hiểm.
Để yên tâm hơn trong việc đi khám và điều trị viêm nướu răng, hãy lựa chọn các nha khoa uy tín, chất lượng cao. Truy cập ngay NhaKhoaHub.com để đặt lịch hẹn khám miễn phí với đội ngũ nha sĩ giàu kinh nghiệm tại hệ thống phòng khám đạt chuẩn.

Nhiều người thắc mắc viêm nướu có tự khỏi không hay viêm nướu răng có tự hết không thì câu trả lời là không. Cần phải áp dụng đủ các cách hết viêm nướu viêm nướu cả ở nha khoa và ở nhà thì mới có kết quả tốt.
Vậy viêm nướu răng bao lâu thì khỏi? Thời gian khỏi bệnh thường phụ thuộc vào mức độ viêm và cách vệ sinh răng miệng của bạn sau điều trị. Thông thường, nếu viêm nướu ở giai đoạn nhẹ và bạn được cạo vôi răng, làm sạch chuyên sâu, kết hợp vệ sinh răng miệng đúng cách tại nhà, nướu sẽ giảm viêm rõ rệt chỉ sau 5 – 7 ngày.
Với những trường hợp viêm nướu nặng hơn (có túi nướu sâu, mủ, tụt lợi), thời gian hồi phục có thể kéo dài 2 – 4 tuần hoặc hơn, tùy thuộc vào khả năng lành thương của từng người và có cần điều trị bổ sung (như kháng sinh, chỉnh sửa phục hình răng) hay không.
Phòng ngừa viêm nướu răng hiệu quả
Phòng bệnh hơn chữa bệnh. Để tránh viêm nướu răng, cần xây dựng thói quen khoa học:
- Đánh răng ít nhất 2 lần/ngày bằng bàn chải lông mềm.
- Sử dụng chỉ nha khoa hàng ngày.
- Súc miệng bằng nước súc miệng diệt khuẩn.
- Ăn uống cân đối, giàu vitamin C, hạn chế đường.
- Không hút thuốc lá, hạn chế bia rượu.
- Khám răng định kỳ 6 tháng/lần để loại bỏ cao răng.
Như vậy, việc duy trì vệ sinh và thăm khám nha khoa định kỳ chính là chìa khóa giúp ngăn ngừa viêm nướu ngay từ giai đoạn sớm. Một chế độ ăn uống lành mạnh kết hợp vệ sinh răng miệng đúng cách sẽ bảo vệ nướu khỏe mạnh, hạn chế tối đa nguy cơ biến chứng về sau.
Viêm nướu răng tuy là bệnh lý phổ biến nhưng hoàn toàn có thể kiểm soát nếu phát hiện và xử lý kịp thời. Chủ động chăm răng miệng đúng cách, thường xuyên chủ động đi nha khoa chính là chìa khóa giúp bạn bảo vệ nụ cười khỏe đẹp dài lâu.
