Sưng lợi hàm trên răng cửa kéo theo những cơn đau nhức làm cản trở quá trình ăn uống và sinh hoạt. Do đó, cần can thiệp sớm để hạn chế tình trạng bệnh diễn biến năng gây ra nhiều bệnh lý nguy hiểm khác.

Mục lục
Nguyên nhân sưng lợi hàm trên răng cửa
Sưng lợi răng cửa là vấn đề nhiều người gặp phải kèm theo cảm giác đau nhức và khó chịu. Tình trạng này xảy ra do nguyên nhân sau:
- Vệ sinh răng miệng kém: Mảng bám hình thành từ vi khuẩn, thực phẩm còn sót lại sẽ bao phủ lên bề mặt răng. Không vệ sinh răng miệng hàng ngày sẽ biến mảng bám thành cao răng, khiến vi khuẩn tích tụ dẫn đến viêm lợi.
- Viêm nướu: Đây là nguyên nhân phổ biến gây sưng lợi ở răng cửa hàm trên. Lớp cao răng hình thành và bám sát chân răng trong thời gian dài sẽ gây viêm nhiễm, chảy máu chân răng. Cao răng không được loại bỏ làm sưng nướu, tiêu xương hoặc tụt lợi.
- Chấn thương hoặc kích ứng: Khi vấp ngã hoặc va đập mạnh sẽ khiến răng cửa bị tổn thương. Mô lợi sau va chạm có khả năng bị trầy xước, bầm tím, chảy máu chân răng.
- Thay đổi hormone: Phụ nữ mang thai, chu kỳ kinh nguyệt thay đổi hoặc bước vào giai đoạn tiền mãn kinh sẽ khiến hormone trong cơ thể thay đổi mạnh mẽ. Điều này khiến mô lợi trở lên nhạy cảm hơn và dễ bị viêm nhiễm, dẫn đến tình trạng sưng lợi.
- Bệnh lý khác: Đối với bệnh nhân mắc các bệnh mãn tính như: tim mạch, tiểu đường, huyết áp… làm hệ miễn dịch suy yếu. Sức đề kháng yếu sẽ khó tránh được tình trạng viêm nhiễm ở nướu.
Như vậy, nguyên nhân gây sưng lợi răng cửa hàm trên do yếu tố chủ quan và khách quan gây ra. Vì vậy, cần chú ý đến những dấu hiệu nhận biết để có biện pháp xử lý kịp thời.
Triệu chứng sưng lợi hàm trên răng cửa
Sưng lợi ở răng cửa hàm trên có thể phát hiện bằng mắt thường với các triệu chứng sau:
- Cảm giác đau rát ngày càng rõ rệt khi lưỡi chạm tới vị trí răng cửa.
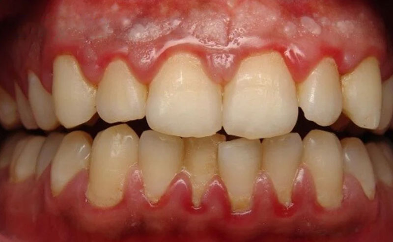
- Bằng mắt thường dễ dàng nhìn thấy lợi sưng đỏ và gồ ghề hơn, khi ăn uống thấy nóng rát.
- Khi đánh răng hoặc sử dụng chỉ nha khoa làm sạch khiến lợi bị chảy máu.
- Hơi thở có mùi khó chịu do vi khuẩn ở mảng bám phát triển.
- Tình trạng viêm kéo dài lâu, không điều trị sẽ hành sốt.
- Xuất hiện mủ hoặc túi mủ quanh răng cửa nếu nhiễm trùng nặng, nghiêm trọng hơn sẽ bị tụt lợi.

Khi nhận thấy các triệu chứng trên, cần tìm cách xử lý để tình trạng viêm sưng không diễn biến nặng thêm.
Cách xử lý khi lợi răng cửa bị sưng
Tùy vào nguyên nhân gây sưng lợi sẽ có những cách cải thiện khác nhau. Cụ thể:
Vệ sinh răng miệng đúng cách
- Đánh răng bằng kem đánh răng có chứa Fluoride 2 lần/ngày để loại bỏ mảng bám, ngăn ngừa vi khuẩn tích tụ.
- Sử dụng nước súc miệng chứa chlorhexidine sau khi đánh răng giúp sát khuẩn vùng nướu viêm sưng. Ngoài ra, bạn có thể lựa chọn súc miệng 3 lần/ ngày bằng dung dịch muối 1.8% để quá trình hồi phục tổn thương nhanh hơn.
- Sau khi ăn, dùng chỉ nha khoa loại bỏ hết thức ăn thừa ở kẽ răng để ngăn ngừa hình thành mảng bám.
Điều trị nha khoa
Đối với tình trạng sưng phồng lợi cần điều trị bằng các phương pháp y tế để hạn chế rủi ro.
Cạo vôi răng là phương pháp vệ sinh răng miệng chuyên nghiệp giúp loại bỏ mảng bám và điều trị viêm sưng lợi. Khi thực hiện, nha sĩ sẽ dùng dụng cụ chuyên dụng để loại bỏ cao răng. Sau đó, răng sẽ được làm mịn và đánh bóng bề mặt nhằm ngăn ngừa mảng bám tích tụ.
Bên cạnh đó, bạn nên thăm khám định kỳ tại nha khoa 6 tháng/ lần. Nha sĩ sẽ kiểm tra tình trạng răng miệng tổng thể, bao gồm: kiểm tra các dấu hiệu của mảng bám, cao răng, viêm lợi và các vấn đề khác liên quan đến sức khỏe răng miệng. Từ đó sẽ đưa ra phương án điều trị kịp thời.
Để giải quyết triệt để và tránh lây nhiễm, cần tìm đến nha khoa uy tín. Bạn có thể truy cập NhaKhoaHub để tìm kiếm cũng như đọc các đánh giá về cơ sở nha khoa đáng tin cậy, gần khu vực sinh sống.
Sử dụng thuốc
Trường hợp lợi bị sưng phồng nghiêm trọng kèm theo đau nhức sẽ cần dùng thuốc. Các loại thuốc giảm đau được sử kê đơn phải kể đến ibuprofen giúp hạn chế đau nhức. Ngoài ra, các loại thuốc kháng sinh đường uống được chỉ định nhằm loại bỏ triệt để vi khuẩn.
Phẫu thuật nha khoa
Những trường hợp lợi sưng phồng kèm theo nhiễm trùng nặng cần thực hiện chích rạch áp xe. Dựa vào mức độ nghiêm trọng của ổ viêm, bác sĩ sẽ rạch loại bỏ ổ viêm để tránh biến chứng ảnh hưởng đến các mô xung quanh. Sau khi dẫn lưu mủ, cảm giác đau nhức sẽ giảm bớt. Tuy nhiên, cần duy trì điều trị nhằm ngăn ngừa nhiễm trùng tái phát.

Biện pháp phòng ngừa sưng lợi răng cửa
Để phòng ngừa viêm lợi và giữ gìn sức khỏe răng miệng, bạn cần chú ý đến các thói quen và biện pháp chăm sóc răng miệng hàng ngày.
- Hãy đánh răng ít nhất 2 lần/ ngày, sau mỗi bữa ăn để loại bỏ mảng bám và vi khuẩn.
- Sử dụng chỉ nha khoa mỗi ngày giúp loại bỏ mảng bám và thức ăn thừa trong khoang miệng.
- Sử dụng kem đánh răng và nước súc miệng nhẹ nhàng, không chứa các chất tẩy rửa mạnh, để tránh làm tổn thương nướu.
- Hạn chế ăn các loại thực phẩm và đồ uống có chứa đường tạo môi trường lý tưởng cho vi khuẩn phát triển.
- Thăm khám bác sĩ nha khoa từ 3-6 tháng/lần để làm sạch sâu và kiểm tra sức khỏe răng miệng
- Tránh hút thuốc lá để hạn chế bệnh liên quan đến lợi.
- Tránh sử dụng các sản phẩm chứa cồn bởi có thể làm khô miệng và gây kích ứng lợi.
- Hạn chế ăn thực phẩm như khoai tây chiên, hạt và bỏng ngô dễ mắc vào răng và gây tổn thương lợi.
- Xây dựng chế độ ăn uống giàu vitamin và khoáng chất nhằm tăng cường sức miễn dịch chống lại các bệnh về lợi.
Sưng lợi hàm trên răng cửa tùy thuộc vào nguyên nhân sẽ có cách điều trị khác nhau. Nếu bạn gặp tình trạng này nên chủ động đến các cơ sở nha khoa để được bác sĩ chuyên khoa thăm khám tổng quát và đưa ra phác đồ điều trị hợp lý.
Luôn trăn trở để mang đến những thông tin khách quan, thực sự có ích cho người dùng là giá trị mà tôi hướng tới.
