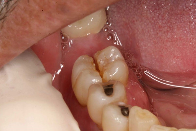
Răng số 6 bị sâu vỡ không chỉ ảnh hưởng đến hoạt động ăn uống thường ngày mà còn làm tăng nguy cơ mắc các bệnh lý về răng miệng. Đặc biệt, trẻ nhỏ đang trong giai đoạn phát triển cung hàm, loại răng này là răng vĩnh viễn chỉ mọc duy nhất và đóng vai trò ăn nhai chính. Do đó, khi gặp phải tình trạng này cần có phương pháp xử lý kịp thời, an toàn.

Nguyên nhân răng số 6 bị sâu và vỡ
Mất răng số 6 có thể do nhiều nguyên nhân chủ quan cũng như khách quan gây nên, phổ biến như:
Đây là nguyên nhân thường gặp nhất chiếm tới 80% lý do gây ra tình trạng nứt, vỡ răng. Khi không vệ sinh răng miệng đúng cách, thức ăn bám vào các kẽ răng tạo điều kiện cho vi khuẩn xâm nhập. Chúng chỉ biểu hiện ra ngoài qua các vết đen mờ kèm theo cảm giác đau nhức âm ỉ khi đã tấn công vào men răng.
Khi đó, nếu không điều trị kịp thời, hiện tượng nứt vỡ hoàn toàn có thể xảy ra dưới tác động ăn nhai hàng ngày.
Tổn thương từ bên ngoài
Những tiếp xúc mạnh từ các yếu tố khách quan như tai nạn, va đập mạnh vào răng, chấn thương,… đều có nguy cơ gây sứt mẻ, vỡ răng.
Thậm chí, trường hợp nghiêm trọng có thể gây mất răng và tổn thương đến vùng nướu, mô mềm.
Nghiến răng
Tưởng chừng như vô hại nhưng nghiến răng khi ngủ là thói quen xấu ảnh hưởng đến hàm răng của bạn. Tình trạng này kéo dài sẽ khiến răng bị bào mòn, hỏng lớp men, răng trở nên yếu và dễ gãy vỡ hơn.
Tiêu thụ thực phẩm
Khi cơ thể bị thiếu các vitamin và khoáng chất quan trọng như: flour, canxi, vitamin C, D,… sẽ làm suy giảm độ chắc khỏe của răng. Nguyên nhân là do lớp men răng ngày càng suy yếu, dễ nứt vỡ hơn khi gặp lực tác động từ bên ngoài.
Ngoài ra, các nhóm thực phẩm chứa nhiều đường, axit,… cũng gây ra các tác động xấu đến sức khỏe răng miệng làm men răng dễ bị mài mòn.
Các nguyên nhân khác
Một số thói quen xấu mà nhiều người người thường xuyên mắc phải cũng tiềm ẩn nguy cơ làm răng yếu đi:
- Thường xuyên ăn các đồ quá cứng và dai.
- Sử dụng răng thay thế các công cụ để mở nắp chai, nhai nước đá lạnh, xé bao bì,…
- Đánh răng sai cách theo chiều ngang với tác động lực mạnh làm mài mòn bề mặt răng.
- Sử dụng kem đánh răng có tính tẩy mạnh.

Dễ dàng nhận thấy hiện tượng răng nứt ngang, dọc hoặc vỡ hoàn toàn không hiếm gặp trong cuộc sống hàng ngày. Đặc biệt, người đang mắc các bệnh lý về răng miệng càng có nguy cơ chịu tác hại nặng nề từ việc răng số 6 bị hỏng.
Tác hại khi răng số 6 bị sâu vỡ
Răng số 6 phụ trách nhiệm vụ ăn nhai chính trên cung hàm. Do đó, khi bị sâu vỡ sẽ để lại một số hậu quả nghiêm trọng như:
Gây đau nhức, viêm nhiễm vùng chân răng
Răng sâu vỡ là điều kiện “lý tưởng” cho vi khuẩn xâm nhập sâu vào bên trong làm phá huỷ các cấu trúc quan trọng, dẫn đến nguy cơ cao mắc các bệnh lý về răng miệng kèm cảm giác đau nhức kéo dài. Thậm chí, nếu không can thiệp sớm có thể gây viêm nhiễm vùng chân răng, viêm lợi, viêm tủy,…
Ảnh hưởng đến khả năng ăn nhai
Khi răng số 6 bị vỡ, đồng nghĩa với lực nhai sẽ bị giảm sút và khó nghiền nhỏ hoàn toàn thức ăn. Lúc này, hệ tiêu hóa sẽ phải hoạt động nhiều hơn, về lâu dài sẽ làm ảnh hưởng đến sức khỏe của cơ thể. Thậm chí, tình trạng hoạt động cơ hàm không được cải thiện sẽ dẫn đến lệch hàm.
Nguy cơ lây lan sâu răng
Như đã đề cập, răng sâu vỡ để lâu sẽ tồn đọng nhiều vi khuẩn gây hại và có nguy cơ lây lan. Các răng lân cận sẽ là “mục tiêu” dễ bị tấn công khiến bạn bị sâu nhiều răng 1 lúc.

Răng số 6 bị sâu có nên nhổ không?
Việc nhổ răng số 6 là cần thiết trong những trường hợp sau:
- Răng bị sâu và vỡ nghiêm trọng: Khi răng số 6 bị sâu quá mức hoặc vỡ đến mức không thể phục hồi, việc nhổ bỏ là giải pháp tối ưu. Lúc này, răng đang vỡ hết cấu trúc, không thể phục hồi bằng các kỹ thuật như trám răng hay bọc sứ. Đồng thời còn gây đau đớn và khó chịu cho người bệnh.
- Lây lan sâu răng: Sâu răng có thể lây lan nguy cơ viêm nhiễm, ảnh hưởng đến nướu và các răng lân cận, làm suy yếu toàn bộ cấu trúc hàm.
Tuy nhiên, trong nhiều trường hợp, răng số 6 bị sâu nhưng vẫn có thể bảo tồn bằng các phương pháp nha khoa hiện đại. Cụ thể:
- Mới chớm sâu răng: Khi mới chỉ bị tổn thương ở bề mặt và chưa ảnh hưởng đến tủy, nha sĩ có thể xử lý bằng cách trám răng để phục hồi hình dáng và chức năng của răng.
- Vỡ nhẹ: Nếu răng còn đủ mô răng để làm trụ, việc bọc răng sứ là một giải pháp hiệu quả giúp bảo vệ răng và ngăn ngừa sâu răng tái phát.
Việc quyết định nhổ hay bảo tồn răng số 6 phụ thuộc vào mức độ sâu và tình trạng tổn thương của răng. Tùy vào từng trường hợp mà bác sĩ nha khoa sẽ xử lý theo pháp đồ phù hợp nhất.
Các phương pháp điều trị răng số 6 bị sâu vỡ
Dưới đây là các phương pháp điều trị thường được áp dụng để bảo tồn chức năng và sức khỏe răng miệng:
Trám răng
Phương pháp trám răng thường được áp dụng khi răng số 6 chỉ bị sâu nhẹ hoặc vỡ ở mức độ nhỏ. Quy trình bao gồm:
- Làm sạch phần răng bị sâu để loại bỏ hoàn toàn vi khuẩn và mảng bám.
- Sử dụng vật liệu trám như composite hoặc amalgam để lấp đầy vùng răng bị tổn thương.
Giải pháp này không chỉ phục hồi hình dáng răng mà còn ngăn ngừa sâu răng lan rộng, bảo vệ răng khỏi những hư hại nghiêm trọng hơn. Đồng thời, trám răng thường được thực hiện nhanh chóng và chi phí hợp lý, phù hợp với nhiều người.
Bọc răng sứ
Khi răng số 6 bị tổn thương nghiêm trọng, chẳng hạn như sâu lớn hoặc vỡ mẻ nhiều, bọc răng sứ trở thành lựa chọn hợp lý. Theo đó, nha sĩ sẽ tiến hành mài chỉnh bề mặt và đặt một mão sứ lên trên để bảo vệ và tái tạo lại hình dáng của răng. Cách làm này không chỉ giúp tái tạo lại hình dáng và chức năng của răng mà còn bảo vệ phần răng thật còn lại khỏi nguy cơ sâu răng hoặc hư hại thêm.
Nhổ răng
Trong trường hợp răng số 6 bị tổn thương quá nặng, không thể phục hồi bằng các phương pháp khác, nhổ răng là lựa chọn cuối cùng. Mục đích của cách làm này là loại bỏ hoàn toàn răng bị sâu nặng hoặc vỡ lớn, tránh lây lan vi khuẩn sang các răng khác. Từ đó ngăn ngừa biến chứng như viêm nhiễm, áp xe hoặc ảnh hưởng đến xương hàm.
Sau khi nhổ răng, bác sĩ có thể tư vấn các phương án phục hình răng như cấy ghép implant hoặc làm cầu răng để đảm bảo chức năng ăn nhai và thẩm mỹ.

Như vậy, việc lựa chọn phương pháp điều trị cho răng số 6 bị sâu hoặc vỡ phụ thuộc vào mức độ tổn thương của chiếc răng. Trám răng và bọc sứ là những lựa chọn bảo tồn hiệu quả cho các trường hợp nhẹ đến trung bình. Riêng đối với nhổ răng sẽ chỉ được xem xét trong những tình huống nghiêm trọng.
Để có quyết định chính xác, người bệnh nên tham khảo ý kiến từ bác sĩ nha khoa để được tư vấn cụ thể theo tình trạng của bản thân. Bạn có thể truy cập NhaKhoaHub để được gợi ý về cơ sở nha khoa uy tín, gần khu vực sinh sống.
Lưu ý sau khi xử lý răng sâu số 6
Sau khi thực hiện điều trị răng số 6 bị sâu, việc chăm sóc và bảo vệ răng là cần thiết để đảm bảo hiệu quả điều trị cũng như duy trì sức khỏe răng miệng. Dưới đây là những lưu ý quan trọng bạn cần tuân thủ:
Chăm sóc răng miệng đúng cách:
- Hãy đánh răng ít nhất hai lần mỗi ngày, vào buổi sáng và trước khi đi ngủ, sử dụng kem đánh răng có chứa fluoride để bảo vệ men răng.
- Làm sạch kẽ răng bằng chỉ nha khoa để loại bỏ mảng bám và thức ăn thừa mà bàn chải không chạm tới được.
- Sử dụng nước súc miệng kháng khuẩn sau khi đánh răng để tăng cường bảo vệ răng và nướu.
Khám răng định kỳ
Sau khi xử lý răng sâu, việc duy trì thói quen khám răng định kỳ mỗi 6 tháng là rất cần thiết. Điều này giúp nha sĩ kiểm tra sức khỏe tổng thể của răng miệng và phát hiện sớm các vấn đề tiềm ẩn như sâu răng mới, viêm nướu hoặc tổn thương răng.
Bên cạnh đó, nếu có bất kỳ dấu hiệu bất thường nào như đau nhức, nhạy cảm, hãy đến gặp nha sĩ ngay để được kiểm tra và điều trị kịp thời.
Cẩn thận trong ăn uống
- Tránh nhai đồ ăn quá cứng như đá lạnh, kẹo cứng hoặc các loại hạt có vỏ cứng, vì chúng có thể làm tổn thương hoặc gây nứt vỡ phần răng đã điều trị.
- Các món ăn và đồ uống có đường như bánh kẹo, nước ngọt dễ tạo điều kiện cho vi khuẩn phát triển, gây sâu răng trở lại.
- Tăng cường tiêu thụ các thực phẩm giàu canxi, vitamin D và chất xơ để hỗ trợ sức khỏe răng miệng.

Việc chăm sóc đúng cách sau khi xử lý răng số 6 bị sâu vỡ là rất cần thiết để bảo vệ sức khỏe răng miệng lâu dài. Bằng cách duy trì thói quen vệ sinh tốt, khám nha sĩ định kỳ và chú ý đến chế độ ăn uống, bạn có thể giảm thiểu nguy cơ mắc lại sâu răng và các vấn đề khác liên quan đến sức khỏe răng miệng.
