Răng sâu lồi thịt là tình trạng sâu răng đáng báo động gây đau nhức và viêm nhiễm. Điều này chứng minh bệnh lý đã bước vào giai đoạn hoại tử của tủy. Việc hiểu rõ nguyên nhân và cách điều trị răng sâu lồi thịt sẽ giúp bạn bảo vệ hàm răng khỏe mạnh, tránh được những biến chứng không mong muốn.
Sâu răng lồi thịt là gì?
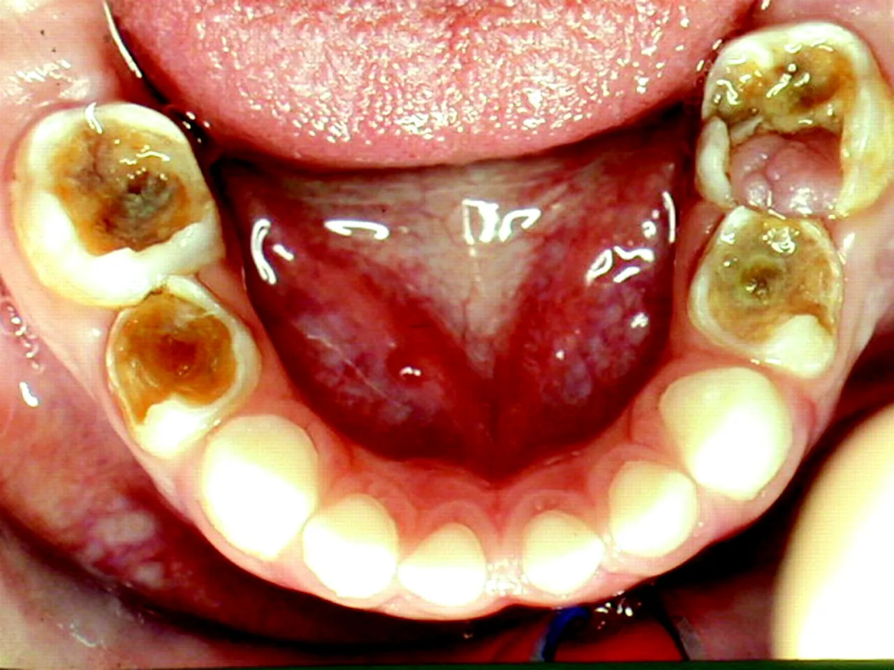
Răng sâu lồi thịt, hay còn gọi là áp xe răng – một biểu hiện của tình trạng viêm cấp tính nghiêm trọng. Phần nướu xuất hiện cục thịt dư do răng bị sâu lâu ngày không được điều trị. Cục thịt này chính là vùng niêm mạc sưng to, chảy mủ và được các chuyên gia coi là một dạng áp xe răng nghiêm trọng gây ảnh hưởng đến tủy, thậm chí có thể dẫn đến chết tủy.
Tình trạng này không chỉ tác động xấu đến sức khỏe răng miệng mà còn gây khó khăn trong sinh hoạt hàng ngày. Cơn đau nhức khiến việc ăn uống trở nên khó khăn, dễ dẫn đến chán ăn, mệt mỏi và suy nhược cơ thể.
Quá trình hình thành diễn ra theo 3 giai đoạn:
Giai đoạn 1: Sâu răng tấn công tủy
Vi khuẩn từ mảng bám phá hủy lớp men răng, sau đó ăn mòn ngà răng và xâm nhập vào buồng tủy – nơi chứa dây thần kinh và mạch máu nuôi răng. Khi tủy bị viêm cấp, người bệnh sẽ đau nhức dữ dội, đặc biệt về đêm.
Giai đoạn 2: Hoại tử tủy và hình thành mủ
Nếu không điều trị kịp thời, tủy răng bị nhiễm trùng sẽ hoại tử (chết tủy). Các mô chết, vi khuẩn và bạch cầu tạo thành dịch mủ tích tụ ở chóp chân răng.
Giai đoạn 3: Mủ phá xương hàm để thoát ra ngoài
Khi lượng mủ tăng lên, áp lực bên trong xương hàm lớn dần. Mủ sẽ phá hủy xương ổ răng, xuyên qua màng xương và nướu để tìm đường thoát. Kết quả là một khối sưng đỏ, mềm, đôi khi có đầu trắng – nhìn giống “cục thịt lồi”.
Đây không phải thịt thừa, mà là ổ nhiễm trùng đang hoạt động.

Nguyên nhân răng sâu bị lồi thịt
Nguyên nhân chính dẫn đến răng sâu lồi thịt là do không điều trị kịp thời khi răng bắt đầu bị sâu. Theo thời gian, ổ viêm nhiễm lan rộng, xâm nhập vào nướu khiến phần nướu bị vi khuẩn tấn công, dẫn đến hoại tử, tạo thành lỗ dò. Vùng niêm mạc xung quanh lỗ rò sẽ viêm mủ và sưng to, trồi ra ngoài giống như cục thịt.
Ban đầu, răng sâu lồi thịt gây khó chịu và đau nhức dai dẳng nhưng có thể được cải thiện bằng các phương pháp điều trị đơn giản dưới sự hướng dẫn của bác sĩ. Tuy nhiên, không điều trị triệt để, viêm nhiễm mô tủy sẽ tiếp tục phát triển dẫn đến chết tủy. Khi tủy chết, bệnh nhân thường không còn cảm thấy đau, dễ lầm tưởng bệnh đã khỏi và trở nên chủ quan. Từ đó, dễ dẫn đến những ảnh hưởng nghiêm trọng.
Tại sao răng sâu lồi thịt lại khiến bạn hết đau?
Rất nhiều bệnh nhân chia sẻ: “Trước đó đau dữ lắm, nhưng từ khi nổi cục thịt và chảy mủ thì lại hết đau”. Đây là dấu hiệu cực kỳ nguy hiểm, vì:
- Tủy đã chết hoàn toàn: Dây thần kinh bị phá hủy nên không còn truyền tín hiệu đau.
- Áp lực mủ được giải tỏa: Khi mủ thoát ra ngoài qua lỗ dò, áp lực trong xương giảm nên cảm giác đau tạm thời biến mất.
Tuy nhiên, nhiễm trùng không hề chấm dứt. Nó vẫn tiếp tục âm thầm phá hủy xương hàm. Nhiều trường hợp đến khi mặt sưng to, sốt cao mới đi khám thì tình trạng đã nặng.
Ảnh hưởng của răng sâu có cục thịt
Khi gặp tình trạng răng sâu lồi thịt, người bệnh sẽ phải chịu nhiều hậu quả nghiêm trọng:
Khó khăn trong ăn uống
Răng sâu lồi thịt làm cộm cấu trúc răng, gây đau và vướng víu khi ăn nhai. Việc nhai còn kích thích tạo axit, khiến vùng nướu dễ loét, chảy máu và kích ứng, thậm chí có thể gây tê liệt miệng ở các trường hợp nặng.
Gây ố vàng các răng xung quanh
Ổ viêm nhiễm tích tụ vi khuẩn lan rộng, hình thành mảng bám, làm ố vàng và gây mất thẩm mỹ cho các răng xung quanh. Nếu không điều trị, vi khuẩn có thể phá hủy cả những răng còn khỏe mạnh.
Nguy cơ mất răng vĩnh viễn
Viêm nhiễm lan rộng làm chân răng yếu đi, khiến bệnh nhân mất răng vĩnh viễn. Để ngăn chặn tổn thương lan sang các răng liền kề, bác sĩ có thể chỉ định nhổ răng.
Với những biến chứng nguy hiểm này, việc thăm khám và điều trị kịp thời tại các cơ sở nha khoa uy tín là cần thiết để bảo vệ sức khỏe răng miệng. Tham khảo website NhaKhoaHub – nền tảng review uy tín từ những khách hàng đã trải nghiệm dịch vụ tại nhiều cơ sở nha khoa. Bạn sẽ dễ dàng chọn cho mình một địa chỉ chất lượng và phù hợp với nhu cầu của mình.
Tổn thương sàn miệng
Trong trường hợp nặng, mủ từ ổ viêm có thể rò rỉ gây nhiễm trùng vùng niêm mạc dưới lưỡi và sàn miệng, thậm chí dẫn đến hoại tử. Nghiêm trọng hơn, tình trạng này có thể gây suy hô hấp và nguy hiểm đến tính mạng.

Cách chữa răng sâu lồi thịt
Để chữa sâu răng lồi thịt, bạn có thể tham khảo những cách dưới đây:
Chữa răng sâu lồi thịt tại nhà
Khi bị đau nhức do răng sâu nhưng chưa thể đến nha khoa ngay, bạn có thể áp dụng một số bài thuốc dân gian để giảm đau tạm thời:
Giảm đau bằng nước muối
Nước muối có tính sát trùng, kháng khuẩn giúp giảm viêm và đau nhức. Cách thức hiện:
- Pha 2 – 3 muỗng cà phê muối vào nước ấm.
- Ngậm hỗn hợp trong miệng khoảng 15 phút rồi nhổ ra.
- Súc lại với nước sạch.
Nước muối sẽ làm sạch các kẽ răng, loại bỏ mảnh vụn thức ăn giúp giảm sưng viêm và hỗ trợ chữa lành.
Dùng lá trầu không
Lá trầu không có tính kháng khuẩn và kháng viêm, được dùng phổ biến trong dân gian để trị sâu răng. Cách thực hiện:
- Giã nhỏ 2 – 3 lá trầu với vài hạt muối và 1 chén rượu trắng, để ngâm 10 phút.
- Dùng tăm bông thấm nước này lên vùng răng đau trong 5 phút và súc miệng sạch.
Trị sâu răng bằng gừng và tỏi
Gừng và tỏi có tính kháng viêm cao, rất hiệu quả trong việc giảm đau răng. Cách thực hiện:
- Giã nhuyễn gừng, tỏi theo tỷ lệ 1:1, trộn với một chút muối.
- Dùng tăm bông, chấm hỗn hợp vào vùng răng đau.
Lưu ý, allicin trong tỏi có khả năng kháng khuẩn mạnh nên cần pha loãng để tránh kích ứng nướu.
Giảm đau bằng lá bạc hà
Bạc hà không chỉ giúp hơi thở thơm mát mà còn có tác dụng giảm đau nhờ tinh dầu gây tê nhẹ. Cách thực hiện:
- Ngâm lá bạc hà khô với nước sôi khoảng 20 – 30 phút.
- Để nguội và dùng nước này để súc miệng hàng ngày. Bạn cũng có thể thấm tinh dầu bạc hà lên vùng răng đau.
Chườm đá lạnh
Đá lạnh là cách giảm đau nhức nhanh chóng, làm tê các dây thần kinh vùng má ngoài răng đau. Chườm đá trong khoảng 15 – 20 phút để giảm đau hiệu quả.
Các phương pháp này có thể giúp giảm đau tức thời nhưng nếu tình trạng đau kéo dài, hãy đến nha khoa để được kiểm tra và điều trị.

Điều trị sâu răng lồi thịt thị nha khoa
Sâu răng lồi thịt là tình trạng viêm nhiễm nghiêm trọng, gây tổn thương nặng đến răng và nướu, không thể điều trị hiệu quả bằng các phương pháp tại nhà. Để điều trị triệt để, bệnh nhân cần đến các cơ sở y tế uy tín. Quy trình điều trị thường có các bước sau:
Thăm khám tổng thể răng miệng
Bác sĩ sẽ đánh giá mức độ tổn thương của răng, chụp X-quang để kiểm tra tình trạng viêm nhiễm và làm sạch vùng răng bị lồi thịt.
Hút mủ và xử lý thịt thừa
Sau khi vệ sinh, bác sĩ sẽ rạch bỏ phần thịt dư và hút mủ viêm ra ngoài. Bệnh nhân sẽ chỉ định dùng thuốc kháng viêm để ngăn ngừa nhiễm trùng và hỗ trợ phục hồi nướu.
Lấy tủy chết
Bác sĩ sẽ loại bỏ tủy chết bằng dụng cụ chuyên dụng, loại bỏ vi khuẩn ẩn sâu và thay thế tủy nhân tạo để phục hồi chức năng răng.
Phục hình răng:
Để bảo vệ và đảm bảo thẩm mỹ, các phương pháp phục hình được áp dụng phù hợp với từng tình trạng:
- Bọc răng sứ: Áp dụng cho răng còn mô chân răng đủ để hỗ trợ bọc sứ, giúp bảo vệ và kéo dài tuổi thọ của răng.
- Trám răng: Dành cho răng còn ít mô chân răng, không đủ để bọc sứ.
- Nhổ răng: Nếu răng bị tổn thương quá nặng và không thể phục hình, bác sĩ sẽ chỉ định nhổ, sau đó trồng răng mới để hỗ trợ việc ăn nhai.
Chăm sóc răng miệng
Chăm sóc đúng cách ảnh hưởng trực tiếp đến quá trình phục hồi. Bệnh nhân cần tuân thủ hướng dẫn của bác sĩ để giúp nướu mau lành và đạt kết quả điều trị tối ưu.
Để tránh gặp phải tình trạng nghiêm trọng và cần đến sự can thiệp của các biện pháp nha khoa, bạn nên thực hiện các biện pháp phòng ngừa sâu răng.
Cách hạn chế sâu răng tại nhà
Một số biện pháp giúp bạn có thể hạn chế sâu răng tại nhà:
Thay đổi thói quen ăn uống
Nghiên cứu công bố trên Tạp chí Y học Anh cho thấy, điều chỉnh chế độ ăn uống có thể giúp ngăn ngừa sâu răng. Bổ sung canxi từ các sản phẩm sữa như sữa, sữa chua và phô mai hàng ngày để củng cố sự chắc khỏe của răng. Hạn chế đồ uống có đường, nước ngọt có ga, thay bằng nước lọc, sinh tố trái cây hoặc trà không đường.
Nhai kẹo cao su không đường
Kẹo cao su không đường chứa xylitol, một chất ngọt tự nhiên không gây sâu răng và giúp tăng tiết nước bọt, hỗ trợ làm sạch tự nhiên các mảnh vụn thức ăn trong miệng.
Dùng bàn chải đánh răng thích hợp
Lựa chọn bàn chải nhỏ hoặc trung bình có lông mềm để chạm đến các kẽ răng và góc hàm khó vệ sinh. Không dùng đồ bao bàn chải để tránh vi khuẩn tích tụ, chỉ cần rửa sạch và để khô sau mỗi lần sử dụng. Đổi bàn chải 3 tháng/lần để đảm bảo vệ sinh.
Thăm khám nha sĩ định kỳ
Dù chăm sóc tại nhà kỹ lưỡng, vẫn có những khu vực khó làm sạch triệt để. Nên thăm khám với nha sĩ 1 – 2 lần/năm để loại bỏ mảng bám và cao răng, bảo vệ răng tốt hơn.
Bổ sung vitamin và chất xơ
Tiêu thụ thực phẩm giàu chất xơ và vitamin như cá, trái cây, rau củ, các loại hạt giúp kích thích tiết nước bọt và cung cấp dưỡng chất cho răng, giúp răng chắc khỏe.
Súc miệng bằng dầu dừa
Dầu dừa giúp loại bỏ vi khuẩn tự nhiên trong miệng. Chỉ cần ngậm một muỗng dầu dừa trong 20 phút, sau đó nhổ ra để hỗ trợ ngăn ngừa sâu răng.
Tự làm kem đánh răng tự nhiên
Bạn có thể tự làm kem đánh răng bằng hỗn hợp 4 thìa canh bột canxi, 1 thìa canh đường stevia, 1 thìa canh muối biển, 2 thìa canh baking soda, 1/4 chén dầu dừa. Trộn đều và sử dụng như kem đánh răng thông thường để hỗ trợ chăm sóc răng miệng.
Chăm sóc nha khoa cơ bản
Theo Hiệp hội Sức khỏe Nha khoa Quốc tế, chỉ dùng bàn chải không đủ để ngăn ngừa sâu răng. Đánh răng 2 phút, ít nhất 2 lần/ngày, dùng chỉ nha khoa để loại bỏ thức ăn còn sót và sử dụng nước súc miệng để diệt khuẩn, giúp bảo vệ răng miệng tốt hơn.

Chi phí điều trị răng sâu lồi thịt bao nhiêu?
Chi phí phụ thuộc vào mức độ tổn thương:
- Trích rạch áp xe: 300.000 – 500.000 VNĐ
- Điều trị tủy răng hàm: 1.500.000 – 3.000.000 VNĐ
- Bọc răng sứ: 2.500.000 – 8.000.000 VNĐ
- Nhổ răng hoại tử: 500.000 – 1.500.000 VNĐ
- Trồng Implant (nếu mất răng): 15.000.000 – 35.000.000 VNĐ
Điều trị càng sớm, chi phí càng thấp và khả năng giữ răng thật càng cao.
Những câu hỏi thường gặp về răng sâu lồi thịt
Răng sâu lồi thịt có phải ung thư không?
Đa số là áp xe răng lành tính. Tuy nhiên nếu khối sưng không giảm sau điều trị hoặc có đặc điểm bất thường, bác sĩ sẽ chỉ định sinh thiết để loại trừ ung thư.
Trẻ em bị răng sâu lồi thịt có nguy hiểm không?
Rất nguy hiểm. Áp xe chân răng sữa có thể làm hỏng mầm răng vĩnh viễn bên dưới, gây lệch lạc khớp cắn sau này.
Răng sâu lồi thịt là tình trạng răng miệng nghiêm trọng đòi hỏi phải được điều trị kịp thời để tránh các biến chứng như viêm nhiễm và mất răng. Chăm sóc răng miệng đúng cách và thăm khám nha khoa định kỳ là giải pháp tối ưu để bảo vệ sức khỏe răng miệng. Nếu nhận thấy dấu hiệu bất thường, hãy đến ngay các cơ sở nha khoa uy tín để được tư vấn và điều trị an toàn.
