Răng mọc trong vòm miệng là tình trạng phổ biến nhưng ít người để ý. Điều này gây ra cảm giác khó chịu khi nhai thức ăn hoặc nói chuyện vì một chiếc răng dường như “ẩn mình” trong khoang lợi. Nếu không được phát hiện xử lý kịp thời sẽ tiềm ẩn hệ quả tiêu cực, đặc biệt là lệch khớp cắn.

Răng mọc trong vòm miệng là gì?
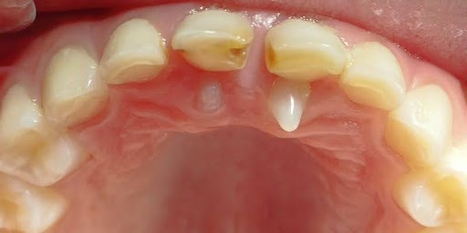
Răng mọc trong vòm miệng là tình trạng răng mọc lệch lên vùng khẩu cái thay vì đứng đúng hàng trên cung hàm. Thay vì xuất hiện ở vị trí bình thường, các răng thừa này có thể mọc ở bất kỳ vị trí nào trong khoang miệng, nhưng thường thấy gần răng cửa hàm trên và gần răng hàm ở hàm dưới.
Đây là tình trạng khá phổ biến, đặc biệt ở răng nanh và răng cửa bên. Điểm quan trọng là răng mọc trong vòm miệng không tự hết, không thể “tự chỉnh” theo thời gian. Nếu không can thiệp, răng dễ gây lệch khớp cắn, khó ăn nhai, tích tụ mảng bám, viêm nướu hoặc sâu răng ở vùng khó vệ sinh.
Dấu hiệu nhận biết răng mọc trong vòm miệng
Răng mọc trong vòm miệng khá dễ nhận ra khi bạn để ý một số dấu hiệu sau:
- Xuất hiện răng mọc lệch cao trong khẩu cái, nhìn hoặc sờ bằng lưỡi sẽ thấy răng nằm ở vị trí bất thường.
- Răng xung quanh bị xô lệch, chen chúc hoặc nghiêng sang một bên.
- Cấn khi ăn nhai, cảm giác thức ăn bị vướng vào vùng có răng lệch.
- Khó vệ sinh, bàn chải khó tiếp cận làm tăng nguy cơ viêm nướu, hôi miệng.
- Thẩm mỹ khuôn miệng thay đổi, đặc biệt khi răng nanh hoặc răng cửa mọc lệch vào trong gây lõm môi hoặc móm nhẹ.
- Một số trường hợp trẻ nhỏ có thể phát âm sai, lưỡi bị cản trở khi lên xuống.
- Nếu thấy một răng mọc khác vị trí còn lại, đặc biệt là trên vòm miệng, bạn nên đi khám sớm để đánh giá đúng mức độ lệch.
Nguyên nhân răng mọc trong vòm miệng
Răng mọc trong vòm miệng là một hiện tượng bất thường liên quan đến quá trình phát triển của răng, và có nhiều nguyên nhân dẫn đến sự xuất hiện của chúng. Cụ thể:
Yếu tố di truyền
Di truyền là một trong những nguyên nhân chiếm xác suất cao. Nếu cha mẹ hoặc người thân trong gia đình như ông, bà có tiền sử về răng mọc lệch, răng mọc bên trong lợi, con cái có khả năng gặp phải tình trạng tương tự.
Kích thước răng, xương hàm mất cân đối
Khi kích thước của răng lớn hơn so với kích thước của cung hàm, không đủ không gian để các răng mọc thẳng đứng. Điều này dẫn đến một số răng bị đẩy lệch vào trong vòm miệng hoặc đi ra khỏi vị trí đáng ra phải mọc lên từ đó.
Răng sữa rụng quá thời gian
Nếu răng sữa rụng quá sớm hoặc quá muộn có thể ảnh hưởng tới không gian dành cho răng vĩnh viễn khi mọc lên. Các răng mới mọc sai vị trí hoặc chen lấn nhau, dẫn đến tình trạng răng mọc giữa vòm miệng.
Thói quen xấu từ nhỏ
Các thói quen như mút ngón tay, đẩy lưỡi, hoặc sử dụng núm vú giả quá lâu có thể ảnh hưởng đến sự phát triển của răng và xương hàm. Điều này có thể gây ra sự lệch lạc vị trí khi mọc răng, khiến răng mọc bị lệch về phía vòm miệng.
Bệnh lý hoặc chấn thương
Một số bệnh lý như u nang hoặc chấn thương vùng miệng có thể ảnh hưởng đến sự phát triển của răng, làm cho chúng mọc lệch vị trí và có thể hướng vào vòm miệng.

Qua đó có thể hiểu, tình trạng này là kết quả của sự kết hợp giữa yếu tố di truyền, sự phát triển bất thường của răng và hàm cùng các yếu tố bên ngoài. Nếu không có sự can thiệp kịp thời, hậu quả đem lại rất khó lường.
Răng mọc trong vòm miệng có nguy hiểm không?
Không xử lý sớm dễ dẫn đến lệch khớp cắn, viêm nướu, sâu răng và ảnh hưởng thẩm mỹ – ăn nhai.
Lệch khớp cắn
Răng nằm sai vị trí khiến hai hàm không khít khi nhai, dẫn đến:
- Cắn lệch
- Cắn ngược
- Mòn răng không đồng đều
- Đau khớp thái dương hàm
Khó vệ sinh, nguy cơ bệnh răng miệng
Răng mọc trong vòm thường khó chải, dễ tích tụ mảng bám dẫn tới các bệnh về răng miệng như viêm nướu, sâu răng, hôi miệng.
Xô lệch toàn bộ cung răng
Một răng mọc lệch có thể “đẩy domino”, khiến các răng còn lại cũng bị nghiêng, chen chúc.
Ảnh hưởng thẩm mỹ và phát âm
Vị trí răng thay đổi khiến nụ cười kém tự nhiên, đặc biệt khi răng nanh mọc lệch vào trong. Ở trẻ, răng mọc trong vòm miệng còn gây nói ngọng hoặc phát âm sai.
Khó ăn nhai
Cấn thức ăn, cắn lệch, nhai không đều khiến trẻ biếng ăn, người lớn nhai kém dẫn đến vấn đề tiêu hóa.

Phương pháp xử lý khi răng mọc trong vòm miệng
Các phương pháp xử lý thường tập trung vào việc điều chỉnh vị trí của răng, giúp khôi phục lại sự cân đối và chức năng của hàm. Dưới đây là những giải pháp giải quyết phổ biến:
Niềng răng (Chỉnh nha)
Niềng răng là phương pháp phổ biến nhất để điều chỉnh răng mọc lệch vào vòm miệng. Phương pháp này sử dụng các công cụ chỉnh nha như mắc cài và dây cung để tạo lực kéo dần dần, giúp di chuyển răng về đúng vị trí trên cung hàm.
Đây là cách làm hiệu quả trong việc cải thiện thẩm mỹ, chức năng nhai và sự cân đối của khớp cắn.
Nhổ răng thừa
Trong trường hợp có răng thừa hoặc răng mọc quá lệch, không thể điều chỉnh được bằng niềng răng, bác sĩ có thể chỉ định nhổ răng. Phương pháp này nhằm tạo không gian cho các răng khác di chuyển về vị trí đúng.
Ưu điểm chính là giải quyết nhanh chóng tình trạng răng mọc sai vị trí, đặc biệt khi không gian trên cung hàm quá chật chội. Tuy nhiên việc nhổ răng cần được cân nhắc cẩn thận, vì có thể gây mất răng vĩnh viễn, làm thay đổi cấu trúc hàm và khớp cắn nếu không được xử lý đúng cách.
Phương pháp theo dõi và can thiệp sớm
Đối với trẻ em, bác sĩ có thể theo dõi sự phát triển của răng và xương hàm từ sớm. Từ đó đưa ra các biện pháp can thiệp kịp thời như sử dụng khí cụ chỉnh nha hoặc giãn hàm. Điều này giúp ngăn chặn hoặc giảm mức độ lệch lạc khi răng mọc. Lưu ý, ba mẹ cũng cần phải theo dõi kỹ lưỡng và liên tục trong suốt quá trình phát triển của trẻ.

Ba mẹ nên đưa trẻ đi khám răng định kỳ sớm ở cơ sở nha khoa uy tín để kịp thời xử lý và có phác đồ điều trị phù hợp. Nhakhoahub là nền tảng review nha khoa chân thực đến từ khách hàng. Website này sẽ giúp người dùng tiết kiệm thời gian tìm kiếm, thuận lợi di chuyển khi gợi ý cơ sở nha khoa gần nhà phù hợp.
Đặt lịch nha khoa uy tín – Giữ chỗ miễn phí – Hotline 0976654560 – 0869554535
Phát hiện sớm và xử lý kịp thời tình trạng răng mọc trong vòm miệng sẽ giúp trẻ tránh được những biến chứng ảnh hưởng lâu dài đến sức khỏe răng hàm mặt.
Thông qua nền tảng nhakhoahub, ba mẹ có thể dễ dàng đặt lịch khám miễn phí, giữ chỗ nhanh chóng tại các phòng khám nha khoa uy tín trên toàn quốc.

Như vậy, tùy thuộc vào mức độ nghiêm trọng và nguyên nhân cụ thể, các bác sĩ nha khoa sẽ lựa chọn phương pháp điều trị phù hợp. Việc can thiệp kịp thời và đúng cách sẽ giúp duy trì sức khỏe răng miệng và cải thiện chất lượng cuộc sống.
Tình trạng răng mọc trong vòm miệng không chỉ gây ra những vấn đề về thẩm mỹ mà còn ảnh hưởng nghiêm trọng. Với sự tiến bộ trong nha khoa hiện đại, đã có rất nhiều giải pháp hiệu quả, giúp khắc phục tình trạng này. Quan trọng hơn, việc can thiệp sớm và điều trị đúng cách không chỉ giúp cải thiện sức khỏe răng miệng mà còn tăng cường sự tự tin và chất lượng cuộc sống của người bệnh.

Top Nha Khoa là nền tảng nha khoa toàn diện, giúp người dùng tiếp cận kiến thức răng hàm mặt chính xác và các phòng khám nha khoa uy tín trên toàn quốc. Website kết nối hơn 5.000 nha khoa, hỗ trợ tìm kiếm và lựa chọn địa chỉ phù hợp. Mọi thông tin được xây dựng theo góc nhìn trung lập, minh bạch và sát thực tế điều trị
