Răng khấp khểnh tướng số ẩn chứa nhiều điều về tính cách và vận mệnh của con người. Theo quan niệm dân gian, hàm răng đẹp có bản mệnh sung túc, hạnh phúc, còn người sở hữu hàm răng lộn xộn và chen chúc sẽ gặp nhiều khó khăn trong cuộc sống.

Răng mọc khấp khểnh do đâu?
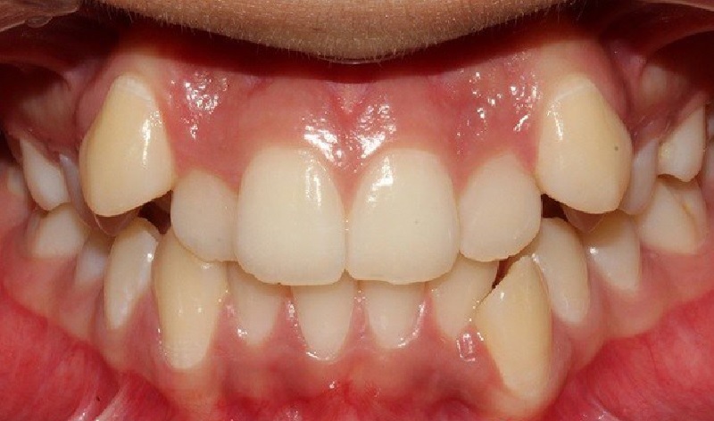
Răng khấp khểnh với các răng mọc chồng chéo, lệch theo phương ngang hoặc thẳng đứng so với răng bình thường. Tình trạng khớp cắn lệch là do:
- Di truyền: Yếu tố di truyền ảnh hưởng trực tiếp đến kết quả mọc răng ở trẻ. Trường hợp ông bà hoặc bố mẹ có răng khấp khểnh thì 70% con cái sẽ di truyền đặc điểm này.
- Thói quen xấu: Những thói quen mút tay, đẩy lưỡi, thở bằng miệng sẽ tạo áp lực không đều lên hàm và các răng. Từ đó dẫn đến sự phát triển không đều của khớp cắn khiến răng mọc lộn xộn. Đây là nguyên nhân gây ra tình trạng khớp cắn hở, răng khấp khểnh.
- Mất răng sớm: Mỗi chiếc răng trong hàm đều có vai trò giữ cho các răng còn lại ở vị trí ổn định. Khi răng vĩnh viễn chưa mọc đầy đủ mà đã mất răng sữa, răng còn lại không còn sự hỗ trợ của chiếc răng đã mất, dẫn đến di chuyển hoặc mọc lệch vị trí. Đặc biệt, trường hợp nhổ răng sớm hơn so với độ tuổi thay răng sẽ tiêu xương hàm.
- Chấn thương: Vấp ngã hoặc những tác động trực tiếp đến hàm răng và các cơ xương ở mặt. Nếu không được điều trị kịp thời sẽ làm thay đổi cấu trúc răng, dẫn đến sai lệch khớp cắn.
Như vậy, răng mọc khấp khểnh do nguyên nhân chủ quan và khách quan làm ảnh hưởng trực tiếp đến sinh hoạt hàng ngày.
Răng mọc khấp khểnh có ảnh hưởng gì?
Răng mọc chen chúc không được khắc phục sớm sẽ ảnh hưởng đến nhiều vấn đề. Cụ thể:
- Thức ăn kẹt ở kẽ răng:
Khi ăn uống, thức ăn dễ bị mắc kẹt trong kẽ răng nên việc vệ sinh răng miệng không hiệu quả. Khi đó, mảng bám hình thành trở thành nơi trú ngụ cho vi khuẩn gây sâu răng, viêm lợi, viêm nha chu. Từ đó tạo sự liên kết giữa thức ăn kẹt lại với vôi răng dẫn đến hôi miệng và ố vàng răng.
- Chiếm diện tích hàm:
Răng mọc chen chúc sẽ chiếm nhiều diện tích trên cung hàm, dẫn đến sự thiếu hụt không gian phát triển cho các răng khác. Việc mọc không đúng vị trí sẽ tạo áp lực lên các răng xung quanh, cản trở quá trình phát triển bình thường của hàm.
- Gây mỏi và lệch khớp thái dương hàm:
Hàm răng khấp khểnh khi nhai lâu sẽ khiến hàm bị mỏi, nặng hơn là sai lệch khớp thái dương hàm. Từ đó gây ra chứng đau đầu, đau cổ, vai, gáy.
- Mất thẩm mỹ:
Răng mọc lộn xộn khiến nhiều người tự ti khi giao tiếp và không thoải mái mỗi khi cười. Nó cũng là yếu tố cản trở trong công việc hay tình duyên của mỗi người.

Không chỉ ảnh hưởng lớn đến thẩm mỹ, tướng người có răng khểnh còn được đánh giá không tốt về vận số.
Răng khấp khểnh tướng số thế nào?
Theo nhân tướng học, hàm răng mọc chen chúc thể hiện nhiều điều về vận số, sự nghiệp, tình duyên, sức khỏe…
Đường tài lộc dễ bị cản trở
Quá trình học tập của người sở hữu hàm răng lộn xộn gặp nhiều khó khăn, gập ghềnh. Thành tích học tập thất thường, không ổn định và dễ bỏ lỡ nhiều bước ngoặt lớn trong đời. Đường học hành vất vả nên đường tài lộc cũng bị cản trở.
Muốn đường tài lộc hanh thông, cần phát triển thói quen học tập, chia nhỏ mục tiêu và đạt được từng bước nhỏ. Hãy sử dụng các công cụ như lịch trình học tập, ứng dụng nhắc nhở, hoặc viết ra các nhiệm vụ cần làm trong ngày để duy trì sự tập trung và hiệu quả. Đồng thời, tìm kiếm cơ hội để giao tiếp với thầy cô, bạn bè hoặc những người đi trước trong lĩnh vực học tập và công việc. Giao tiếp có thể giúp bạn giải đáp thắc mắc, học hỏi kinh nghiệm và mở rộng cơ hội trong cuộc sống.
Tính cách người răng khấp khểnh
Người sở hữu hàm răng đều, đẹp khiến ngũ quan trên gương mặt hài hòa, toát lên vẻ thông minh và dễ mến. Vì vậy, họ dễ dàng để lại ấn tượng tốt cho người xung quanh. Ngược lại, người có tướng răng khểnh có tính cách nóng nảy, ích kỷ, giao tiếp kém nên khó thành công trong sự nghiệp.
Thông thường, khả năng giao tiếp hạn chế nên người có tướng răng này hướng nội, thích ở nhà, ít tham gia hoạt động xã hội cùng bạn bè.
Hãy luyện tập thở sâu, thiền hoặc các bài tập giảm căng thẳng có thể giúp kiểm soát cảm xúc. Ngoài ra, học cách nhẫn nại trong mọi tình huống cũng giúp giảm bớt sự nóng vội, dễ cáu gắt. Bên cạnh đó, luyện tập cách lắng nghe và thể hiện sự quan tâm đến người khác. Những kỹ năng này giúp cải thiện sự kết nối và giảm bớt cảm giác khó khăn trong việc trò chuyện với người xung quanh.
Hãy thử tham gia các hoạt động ngoài trời hoặc tham gia các câu lạc bộ, lớp học yêu thích để gặp gỡ và làm quen với nhiều người. Dần dần, họ sẽ cảm thấy thoải mái hơn khi giao tiếp trong những tình huống xã hội.
Sự nghiệp, danh vọng khó đạt được điều lớn lao
Đây là tuýp người chăm chỉ, siêng năng nhưng kém may mắn, không được quý nhân phù trợ. Vì vậy, công việc ít có cơ hội thăng tiến nên khó đạt được thành công. Họ phù hợp với những công việc ít cạnh tranh.
Dù công việc hiện tại có ít cạnh tranh, người này nên tìm cách nâng cao kiến thức và kỹ năng chuyên môn của mình để thăng tiến trong công việc hoặc tìm ra cơ hội nghề nghiệp mới.
Một trong những yếu tố giúp sự nghiệp thăng tiến là có được những mối quan hệ hỗ trợ. Vì thế cần chủ động xây dựng các mối quan hệ qua việc tham gia các sự kiện, hội nhóm nghề nghiệp hoặc kết nối với đồng nghiệp. Bên cạnh đó, hãy đề xuất các sáng kiến mới, nhận thêm trách nhiệm hoặc tìm cách cải thiện quy trình công việc tại nơi làm việc. Điều này sẽ thu hút sự chú ý của cấp trên và đồng nghiệp, từ đó tạo ra cơ hội thăng tiến.
Sức khỏe không tốt, dễ mắc các bệnh tật
Tình trạng răng còn nói lên sức khỏe tổng thể của người đó. Nếu răng mọc không đều, vận số không tốt lại dễ mắc bệnh. Cơ thể yếu sẽ làm ảnh hưởng đến vận khí khác.
Do đó, thực hiện kiểm tra sức khỏe định kỳ để phát hiện sớm các vấn đề sức khỏe tiềm ẩn. Điều này giúp bạn điều trị kịp thời và tránh các bệnh lý nặng hơn. Không chỉ thế, đảm bảo không gian sống thoáng đãng, sạch sẽ và tránh xa các tác nhân ô nhiễm để duy trì sức khỏe.
Tránh tiếp xúc với hóa chất độc hại hoặc các yếu tố có thể gây tổn hại đến sức khỏe. Bổ sung đầy đủ dưỡng chất cần thiết cho cơ thể như vitamin C, D, canxi, magie, kẽm để duy trì sức khỏe tổng thể và củng cố hệ miễn dịch.
Tình cảm, hôn nhân khá thăng trầm
Răng khểnh lận đận tình duyên nên chuyện tình cảm phải trải qua nhiều thăng trầm. Thời son trẻ, chịu tổn thương về mặt tình cảm và kết thúc không suôn sẻ. Phải sau 35 tuổi, đường tình duyên mới khởi sắc, tìm được nửa còn lại của đời mình.
Lời khuyên cho người sở hữu đặc điểm này là trước khi tìm kiếm tình yêu, cần hiểu rõ bản thân muốn gì và cần gì trong một mối quan hệ. Nhờ đó sẽ tránh những mối quan hệ không phù hợp và tránh bị tổn thương trong tình cảm.
Bạn cần cải thiện sự tự tin và lòng tự trọng nhằm thu hút những mối quan hệ lành mạnh. Người có lòng tự trọng cao sẽ tạo ra những mối quan hệ tình cảm tốt đẹp, vì họ biết cách tôn trọng chính mình và người khác.
Đừng quá đóng cửa trái tim hoặc quá khắt khe trong việc tìm kiếm người bạn đời. Hãy tham gia các hoạt động xã hội, để gặp gỡ nhiều người và có cơ hội tìm kiếm tình yêu đích thực.

Xét về tổng thể, răng mọc lộn xộn làm ảnh hưởng đến nhiều khía cạnh nên cần tìm cách khắc phục để cuộc sống tốt đẹp hơn.
Răng khấp khểnh nên làm gì?
Tình trạng răng khấp khểnh hoàn toàn có thể cải thiện bằng phương pháp đơn giản như bọc răng sứ hoặc niềng răng.
Bọc răng sứ
Bọc răng sứ giúp phục hình cả về màu sắc, kích thước và hình dáng. Phương pháp này giúp cải thiện cả về chức năng ăn nhai và thẩm mỹ.
Trước khi bọc, răng sứ sẽ được mài cho vừa với mão sứ. Răng thật sẽ đóng vai trò là trụ để chụp sứ ra bên ngoài. Tuy nhiên, cùi răng bị mài mòn sẽ không phục hồi lại như cũ nên cần cân nhắc kỹ khi thực hiện. Sau khi chụp mão, sứ có màu giống với răng tự nhiên nên tính thẩm mỹ cao. Hiệu quả sử dụng sẽ kéo dài từ 10 – 20 năm.
Với tình trạng răng khấp khểnh nặng, bọc răng sứ toàn hàm sẽ không thích hợp. Bởi, tiến hành mài toàn bộ răng có thể ảnh hưởng đến tủy răng khiến răng ê buốt và đau nhức.
Niềng răng
Niềng răng là phương pháp được ưu tiên áp dụng khi răng khấp khểnh, chen chúc giúp bảo tồn tối đa gốc răng. Độ tuổi từ 11 – 16 tuổi là thời điểm thích hợp để niềng răng. Giai đoạn này dễ phát hiện các vấn đề răng khấp khểnh, mọc lộn xộn, chen chúc… Răng và khung hàm chưa phát triển toàn diện nên dễ dàng điều chỉnh.
Hiện nay, có nhiều phương pháp niềng khác nhau như niềng răng bằng mắc cài và niềng bằng khay trong suốt. Cả hai phương pháp đều giúp cải thiện hàm răng khấp khểnh, bảo tồn tối đa răng mà không cần mài. Với lựa chọn niềng năng cần kiên trì bởi thời gian niềng kéo dài từ 18 – 24 tháng.
Răng khấp khểnh tướng số hay thẩm mỹ đều không được đánh giá cao. Hàm răng lệch lạc khiến gương mặt mất đi nét hài hòa, khó gây ấn tượng với người đối diện. Vì vậy, bạn cần đến các cơ sở nha khoa thăm khám và lựa chọn phương pháp điều trị thích hợp để có được nụ cười hoàn hảo, vận số cũng sẽ tốt hơn.
