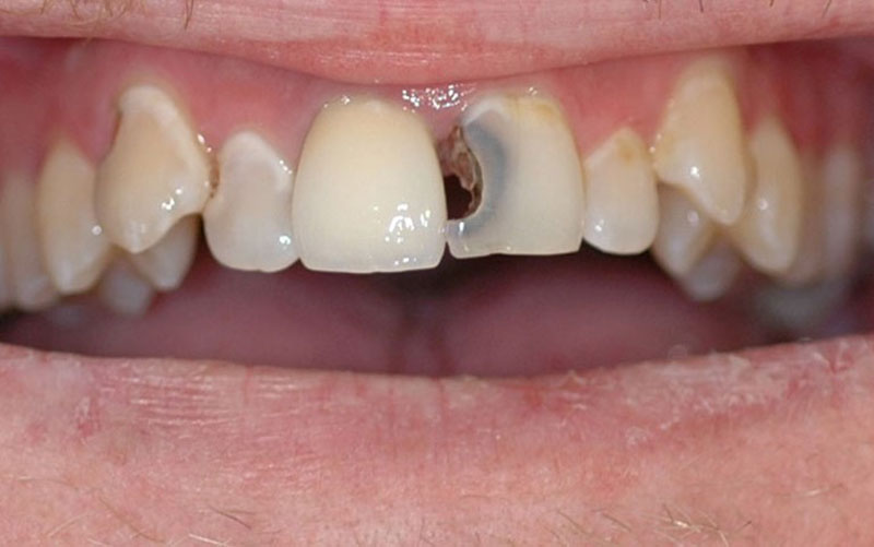
Răng cửa bị đen và vấn đề nhiều người gặp phải, làm ảnh hưởng đến thẩm mỹ khiến bạn tự ti trong giao tiếp. Do đó, cần tìm hiểu rõ nguyên nhân và có cách khắc phục kịp thời để lấy lại nụ cười tự tin trên gương mặt.

Nguyên nhân răng cửa bị đen
Răng cửa xuất hiện đốm đen do nhiều nguyên nhân, có thể kể đến như:
- Do sâu răng: Các lớp men răng bị phá hủy dẫn tới tình trạng sâu răng, làm xuất hiện đốm đen. Răng cửa bị sâu không chỉ ảnh hưởng đến thẩm mỹ mà còn kéo theo những cơn đau nhức. Nếu không điều trị kịp thời sẽ ảnh hưởng đến hệ thống dây thần kinh xung quanh răng.
- Răng bị nhiễm màu thực phẩm: Các loại nước có ga, nước đóng chai, cà phê, rượu vang hay trà đều sử dụng màu thực phẩm. Hoặc những món ăn như bánh kẹo, cà ri, nghệ,… đều có màu. Khi tiêu thụ lượng lớn những món ăn hay đồ uống đó sẽ khiến cho răng bị nhiễm màu.
- Hút thuốc lá: Hút thuốc lá làm đổi màu răng chủ yếu do các thành phần hóa học nicotin và tar trong thuốc lá. Khi sử dụng, các chất này không chỉ bám vào bề mặt răng mà còn xâm nhập vào các kẽ hở tạo ra các mảng bám màu nâu hoặc đen.
- Chấn thương răng: Khi răng bị va chạm mạnh gây tổn thương đến tủy răng. Điều này khiến răng bị chết tủy không còn nhận được chất dinh dưỡng dần đổi sang màu đen.
- Do lão hóa của cơ thể: Tuổi tác càng cao, hàm lượng khoáng chất trong men răng có thể suy giảm. Theo thời gian, men răng mòn đi và lớp ngà răng bên dưới lộ ra, làm cho răng trông tối màu hơn. Không chỉ thế, sự tích tụ của mảng bám qua nhiều năm có thể làm răng bị đen.
Nhìn chung, răng cửa chuyển sang màu đen do nhiều nguyên nhân. Có thể xuất phát từ chính bạn hoặc từ các yếu tố bên ngoài tác động.
Dấu hiệu nhận biết khi đen răng cửa
Răng cửa nằm ở vị trí trung tâm của cung hàm nên dễ dàng nhận biết các dấu hiệu khi cười hoặc nói.
- Bề mặt răng cửa xuất hiện các đốm đen hoặc kẽ răng cửa bị đen.
- Vết ố và mảng màu tối tại chân răng dần lan ra toàn bộ bề mặt răng.
- Nếu răng bị đen do tổn thương tủy sẽ cảm giác đau nhức và nhạy cảm khi ăn đồ nóng hoặc lạnh.
Nếu phát hiện bất kỳ dấu hiệu nào, hãy đến ngay các cơ sở nha khoa để được thăm khám và điều trị kịp thời. Đồng thời ngăn ngừa các vấn đề nghiêm trọng hơn xảy ra.
Cách xử lý khi có vết đen trên răng cửa
Tại các cơ sở nha khoa, tùy thuộc vào tình trạng răng bác sĩ sẽ đưa ra phác đồ điều trị chính xác. Cụ thể:
- Làm sạch và tẩy trắng răng: Để xử lý vết đen ở răng cửa do nhiễm màu thực phẩm, việc làm sạch và tẩy trắng răng là hai bước quan trọng giúp khôi phục vẻ đẹp của nụ cười. Đầu tiên, bác sĩ sẽ cạo vôi răng bằng sóng siêu âm để loại bỏ cao răng trên bề mặt mà bàn chải không thể làm sạch. Sau đó, răng sẽ được đánh bóng trở lên trắng và sáng hơn.
- Trám răng: Phương pháp điều trị này được áp dụng trong trường hợp răng bị đen bên trong do sâu răng gây ra. Tùy thuộc vào mức độ nghiêm trọng của sâu răng, các phương pháp trám răng sẽ khác nhau. Đối với những răng sâu nhẹ sẽ bị đen bên trong và có lỗ nhỏ. Trước tiên, nha sĩ sẽ tiến hành loại bỏ hoàn toàn phần mô răng bị sâu. Sau đó, họ sẽ tiến hành trám lại răng bằng vật liệu trám phù hợp.
- Bọc răng sứ: Trong trường hợp răng cửa bị đen bên trong nhiều và có dấu hiệu sâu nặng, trám răng không thể khắc phục tình trạng này. Khi đó, bọc răng sứ thẩm mỹ sẽ là một giải pháp tối ưu để bảo vệ răng và ngăn chặn sự lây lan của sâu răng.
Quy trình bọc răng sứ bắt đầu bằng việc nha sĩ loại bỏ các mô răng bị hư hại và tạo hình cho răng để đảm bảo vừa vặn với mão răng sứ. Tiếp đó, mão sứ được chụp lên giúp phục hồi hình dáng và màu sắc tự nhiên của răng.
- Lấy tủy răng: Khi chân hoặc tủy răng bị tổn thương nghiêm trọng đến mức không thể khắc phục, lấy tủy răng là việc cần thiết. Trong quy trình này, bác sĩ nha khoa sẽ tiến hành loại bỏ toàn bộ phần răng bị sâu, dây thần kinh, mạch máu và mô liên kết bên trong. Sau khi làm sạch ống tủy, bác sĩ sẽ lấp đầy bằng một loại vật liệu chuyên dụng nhằm đảm bảo không còn vi khuẩn hoặc mảnh vụn gây hại bên trong. Cuối cùng, mão răng được đặt lên trên phần răng đã điều trị.

Răng cửa đen có nhiều phương pháp điều trị khác nhau. Để biết liệu pháp nào phù hợp với tình trạng của bản thân, cần đến các cơ sở nha khoa thăm khám và nghe tư vấn. Nếu vẫn còn băn khoăn chưa biết lựa chọn cơ sở nha khoa nào, hãy để NhaKhoaHub giúp bạn. NhaKhoaHub – nền tảng tìm kiếm và review nha khoa uy tín được hàng triệu người Việt tin dùng. Đơn vị sẽ kết nối khách hàng đến nha khoa uy tín, gần khu vực sinh sống.
Phòng ngừa tình trạng bị đen răng cửa
Nhằm ngăn ngừa tình trạng răng cửa sâu đen, bạn nên thực hiện các biện pháp dưới đây:
- Nên đánh răng 2 lần/ngày. Thời điểm lý tưởng là buổi sáng và trước khi đi ngủ để loại bỏ mảng bám và vi khuẩn. Hãy sử dụng kem đánh răng chứa fluoride để bảo vệ men răng.
- Sử dụng chỉ nha khoa để loại bỏ mảng bám và thức ăn thừa giữa các răng – nơi mà bàn chải không thể tiếp cận.
- Dùng nước súc miệng kháng khuẩn giúp giảm vi khuẩn trong miệng và mang lại hơi thở thơm mát.
- Hạn chế đồ uống có màu sẫm như cà phê, trà, rượu vang đỏ có thể làm ố màu răng. Nên uống nhiều nước lọc vừa giúp răng không bị ngả màu vừa tốt cho sức khỏe.
- Bỏ hút thuốc lá để bảo vệ sức khỏe răng miệng và sức khỏe tổng thể.
- Khám răng ít nhất 6 tháng/ lần để kịp thời phát hiện sớm các vấn đề tiềm ẩn.
Răng cửa bị đen làm ảnh hưởng nghiêm trọng đến thẩm mỹ và sức khỏe răng miệng. Vì vậy, muốn sở hữu hàm răng luôn trắng sáng tự nhiên, hãy chủ động hơn trong việc vệ sinh và chăm sóc răng miệng.
