Răng 9630 là kiểu răng “xấu điển hình” vừa gây mất thẩm mỹ vừa ảnh hưởng đến chức năng ăn nhai. Không chỉ thế, dáng răng khấp khểnh còn không được đánh giá cao trong tướng số.

Nguyên nhân hình thành răng 9630
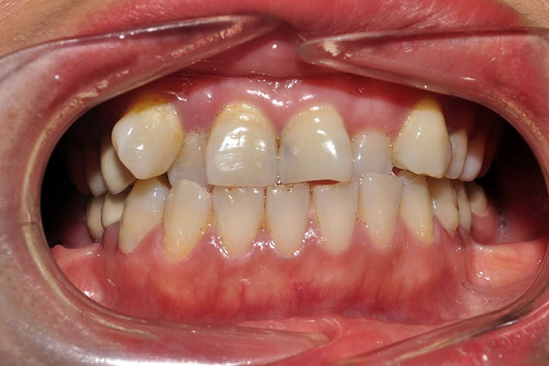
Răng 9630 là cách nói ám chỉ hàm răng khấp khểnh với những chiếc răng mọc chen chúc, lệch lạc trên cung hàm. Những con số 9 6 3 0 không có sự liên kết nào cũng như hàm răng không thẳng hàng, lộn xộn.
Tình trạng răng không đều là do:
- Di truyền: Hình dáng, kích thước, màu sắc và vị trí của răng được di truyền từ thế hệ trước sang thế hệ sau. Trong gia đình, bố mẹ có hàm răng xô lệch thì con cái sinh ra cũng sẽ mang đặc điểm đó.
- Cung hàm hẹp: Hàm nhỏ, hẹp do gen hoặc thiếu chất trong quá trình xương hàm phát triển. Điều này khiến cung hàm không đủ chỗ cho răng mọc bình thường.
- Răng sữa mất sớm: Trẻ nhỏ bị mất răng sữa do sún, sâu răng, chấn thương, viêm nha chu… sẽ làm ảnh hưởng trực tiếp đến sự phát triển của hàm. Bởi, khi các răng bên cạnh lấn và mọc sai vị trí, khiến răng vĩnh viễn mọc sau không thẳng hàng.
- Thói quen xấu: Đẩy lưỡi, mút tay, thở bằng miệng là thói quen không tốt. Những áp lực từ việc mút tay, dùng lưỡi đẩy răng kéo dài sẽ khiến cấu trúc cung hàm bị ảnh hưởng, dẫn đến tình trạng răng xô lệch.
- Tai nạn: Chấn thương hoặc va đập mạnh trực tiếp ở vùng miệng khiến răng trên cung hàm mọc lệch hoặc gãy rụng. Đây là nguy cơ làm cho răng mọc không đúng vị trí.
- Thiếu cân đối về kích thước răng: Kích thước răng quá to hoặc quá nhỏ so với cung hàm dẫn đến tình trạng răng mọc chen chúc.
Ý nghĩa tướng số răng 9-6-3-0
Người có hàm răng khấp khểnh được cho là xảo trá, lừa lọc nên không được mọi người xung quanh yêu quý. Không chỉ thế, họ ích kỷ và dễ tức giận nên khó khăn trong việc nắm bắt cơ hội trong công việc. Đồng thời, tính cách như trên khiến người răng 9-6-3-0 không nhận sự quý mến từ bạn bè, đồng nghiệp.
Trong hôn nhân, họ khó hòa hợp với đối phương nên cuộc sống vợ chồng dễ xảy ra xung đột. Đặc biệt, nam giới sở hữu hàm răng không đều và ngả vàng có tâm địa xấu, vũ phu và gia trưởng. Do đó, đàn ông răng 9-6-3-0 có những tính cách trên cần nhìn nhận lại bản thân và thay đổi cách hành xử thì cuộc sống vợ chồng mới yên ổn.

Những phân tích trên chưa được khoa học chứng minh nên chỉ mang tính chất tham khảo. Thực tế, hàm răng lộn xộn gây ảnh hưởng lớn đến sức khỏe và thẩm mỹ.
Ảnh hưởng của hàm răng 9630
Tình trạng răng mọc lộn xộn không chỉ ảnh hưởng đến thẩm mỹ mà còn tiềm ẩn nhiều mối nguy cho sức khỏe răng miệng.
Ăn uống khó khăn
Răng xô lệch nhau gây khó khăn trong việc cắn, nhai thức ăn. Khi thức ăn không được nghiền nát kỹ sẽ tăng nguy cơ mắc các bệnh về tiêu hóa như đau dạ dày, khó tiêu… Ngoài ra, răng 9-6-3-0 khiến lực nhai không đồng đều làm áp lực lên răng, dẫn đến đau nhức và khó chịu khi nhai.
Bên cạnh đó, kẽ hở giữa các răng dễ làm thức ăn mắc kẹt mang đến cảm giác khó chịu.
Vệ sinh răng miệng khó khăn
Răng mọc lệch hoặc khấp khểnh sẽ tạo ra các kẽ hẹp với hình dạng và kích thước khác nhau. Vì vậy, dùng bàn chải và chỉ nha khoa thông thường sẽ khó tiếp cận các kẽ răng để làm sạch. Từ đó, mảng bám sẽ cứng lại thành cao răng, tạo điều kiện cho vi khuẩn sinh sôi gây viêm nướu và viêm nha chu. Lâu dần, bệnh lý nha chu có thể lan rộng làm ảnh hưởng đến cấu trúc xương nâng đỡ răng.
Thẩm mỹ nụ cười
Răng 9-6-3-0 mọc không thẳng hàng khiến nụ cười kém duyên, làm ảnh hưởng đến sự tự tin mỗi khi giao tiếp. Điều này khiến người sở hữu rụt rè, mất đi cơ hội phát triển bản thân.
Mòn răng
Khi nhai, hàm răng xô lệch do sai khớp cắn sẽ làm tăng áp lực và ma sát ở các bề mặt tiếp xúc khiến men răng bị mòn. Sói mòn răng gây ê buốt khi tiếp xúc với nhiệt độ nóng hoặc lạnh. Ngoài ra, lỗ hổng tại các vị trí mòn răng khiến vi khuẩn xâm nhập làm tăng nguy cơ sâu răng.
Hôi miệng
Hàm răng lệch lạc khiến thức ăn dễ lưu lại tại các kẽ răng. Khi đó, thức ăn phân hủy làm vi khuẩn sinh sôi gây ra mùi hôi khó chịu.
Khó khăn khi phát âm
Răng khấp khểnh kéo theo vị trí đặt lưỡi bị sai dẫn đến tình trạng phát âm các chữ cái, âm điệu không chuẩn.
Nhìn chung, cải thiện tình trạng răng 9-6-3-0 là rất cần thiết giúp ngăn ngừa các vấn đề nghiêm trọng và bảo vệ sức khỏe răng miệng dài lâu.

Cách khắc phục răng 9-6-3-0
Răng mọc chen chúc về lâu về dài gây ra nhiều vấn đề liên quan đến sức khỏe răng miệng. Vì vậy, bạn nên sớm điều trị chỉnh nha để cải thiện hàm răng lệch lạc của mình càng sớm càng tốt. Hãy liên hệ NhaKhoaHub để được tư vấn cơ sở nha khoa uy tín để điều trị bệnh lý răng miệng triệt để.
Bọc răng sứ
Bọc răng sứ khắc phục tình trạng răng không đều ở mức độ nhẹ. Trước khi thực hiện, nha sĩ sẽ mài nhỏ cùi răng và gắn mão sứ có kích thước tương tự răng thật. Răng sứ sau khi bọc sẽ cải thiện tình trạng răng lệch lạc. Phần mão sứ chụp lên cùi răng sẽ bao bọc và bảo vệ răng thật khỏi vi khuẩn.
Phương pháp này mang đến hiệu quả nhanh chóng, không mất nhiều thời gian thực hiện. Chỉ khoảng từ 2 – 4 ngày, bạn sẽ sở hữu nụ cười với hàm răng đều và trắng sáng. Tuy nhiên, răng khấp khểnh nghiêm trọng thì không nên áp dụng phương pháp bọc răng sứ bởi hiệu quả không cao.
Niềng răng thẩm mỹ
Đây là phương pháp chỉnh nha phổ biến giúp điều chỉnh răng xô lệch, khấp khểnh. Nha sĩ sẽ sử dụng khí cụ nha khoa như mắc cài kim loại, máng nhựa trong suốt để nẹp và tạo lực siết đưa răng về đúng vị trí.
Niềng răng giúp hàm răng đều đặn, định hình đường nét khuôn mặt thêm hài hòa. Không chỉ thế, chức năng ăn nhai khôi phục và khớp cắn được điều chỉnh. Từ đó ngăn chặn nguy cơ mắc bệnh lý liên quan đến răng miệng.
Thực tế, niềng răng là một quá trình lâu dài mất từ 2 – 3 năm mới cho kết quả như mong đợi. Bạn sẽ cần lui tới cơ sở nha khoa theo lịch hẹn để thực hiện kiểm tra và siết mắc cài.
Răng 9630 không chỉ ảnh hưởng đến thẩm mỹ mà còn ảnh hưởng đến sức khỏe răng miệng tổng thể. Người gặp vấn đề này cần sớm tìm biện pháp khắc phục để đưa răng về đúng vị trí.
