Mất răng có bọc sứ được không? Giải pháp khôi phục phù hợp

Ths.Bs Hoàng Quỳnh Trang – chuyên gia Răng Hàm Mặt, cố vấn tại Top Nha Khoa cho biết, bọc sứ được thực hiện bằng cách chụp mão sứ lên một răng đã được mài tạo hình. Khi răng bị mất, cấu trúc răng thật không còn tồn tại, đồng nghĩa với việc không có nền tảng cần thiết để tiến hành phục hình theo kỹ thuật này. Thiếu răng trụ khiến mão sứ không thể cố định đúng vị trí trong cung hàm.

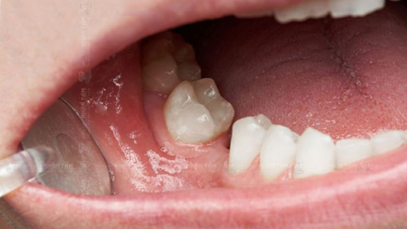
1. Vì sao mất răng không thể bọc sứ trực tiếp

Trong một số trường hợp dưới đây, khi mất răng không thể bọc sứ trực tiếp. Bởi việc phục hình lúc này không đảm bảo độ ổn định và hiệu quả sử dụng lâu dài.

1.1 Không còn răng trụ

Bọc sứ được thực hiện bằng cách chụp mão sứ lên một răng đã được mài tạo hình. Khi răng bị mất, cấu trúc răng thật không còn tồn tại, đồng nghĩa với việc không có nền tảng cần thiết để tiến hành phục hình theo kỹ thuật này. Thiếu răng trụ khiến mão sứ không thể cố định đúng vị trí trong cung hàm.

mất răng có bọc sứ được không? Khi không còn trụ răng, mất răng không thể bọc sứ
Khi không còn trụ răng, mất răng không thể bọc sứ

1.2 Mão sứ cần điểm tựa

Mão sứ chỉ hoạt động hiệu quả khi được đặt trên một điểm tựa vững chắc để phân bố lực nhai. Điểm tựa này thường là cùi răng thật sau mài. Thiếu điểm tựa phù hợp, mão sứ không thể duy trì vị trí ổn định, dễ bị xê dịch và mất chức năng ăn nhai.

1.3 Dễ hỏng, không bền

Trong điều kiện không có răng trụ nâng đỡ, mão sứ không thể chịu lực nhai lâu dài. Việc phục hình trong trường hợp này làm tăng nguy cơ bong bật, giảm độ bền và ảnh hưởng đến mô nướu xung quanh.

2. Các giải pháp thay thế khi bị mất răng

Răng đã mất và không thể bọc sứ trực tiếp thì hiện nay có nhiều phương án phục hình giúp khôi phục chức năng ăn nhai và thẩm mỹ, đó là:

2.1 Trồng răng Implant

Trồng răng Implant là phương pháp phục hình hiện đại, trong đó bác sĩ đặt trụ Implant vào xương hàm để thay thế chân răng đã mất. Trụ này đóng vai trò làm điểm tựa vững chắc cho mão sứ phía trên, giúp răng phục hồi khả năng ăn nhai gần tương đương răng thật. Ngoài ra, Implant hoạt động độc lập, không ảnh hưởng đến các răng kế cận và được đánh giá cao về độ ổn định lâu dài.

2.2 Làm cầu răng sứ

Cầu răng sứ sử dụng các răng kế cận vị trí mất răng làm điểm tựa để phục hình răng thay thế. Phương án này giúp khôi phục hình dạng và chức năng răng trong thời gian tương đối ngắn. Tuy nhiên hiệu quả sử dụng phụ thuộc vào tình trạng răng trụ và khả năng chịu lực của toàn bộ cầu răng.

2.3 Răng tháo lắp

Răng tháo lắp là giải pháp phục hình truyền thống, thường được lựa chọn khi cần phục hồi nhiều răng hoặc trong những trường hợp chưa thể thực hiện phương pháp cố định. Phương pháp này giúp cải thiện thẩm mỹ và chức năng ăn nhai ở mức cơ bản, đồng thời thuận tiện trong việc tháo lắp và vệ sinh. Nhược điểm của răng tháo lắp là cảm giác sử dụng và độ ổn định không cao như Implant hay cầu răng sứ.

Sử dụng răng tháo lắp là giải pháp thay thế phù hợp
Sử dụng răng tháo lắp là giải pháp thay thế phù hợp

3. Nên chọn giải pháp khôi phục răng nào trong từng trường hợp

Đối với từng trường hợp, bác sĩ sẽ căn cứ vào số lượng răng mất, tình trạng xương hàm và mức độ ảnh hưởng đến chức năng ăn nhai để đưa ra chỉ định phù hợp. Dưới đây là các giải pháp cụ thể:

3.1 Mất 1 răng

Trường hợp mất một răng đơn lẻ, trồng răng Implant thường được ưu tiên vì có thể thay thế răng đã mất một cách độc lập, không ảnh hưởng đến các răng bên cạnh. Trong những trường hợp không đủ điều kiện cấy Implant, phương pháp làm cầu răng sứ được cân nhắc nếu các răng kế cận đủ khỏe để làm trụ.

3.2 Mất nhiều răng

Khi mất nhiều răng, đặc biệt là mất các răng liền kề, Implant kết hợp phục hình cố định là giải pháp phù hợp giúp mang lại hiệu quả ăn nhai và độ ổn định cao. Tuy nhiên, với những trường hợp răng còn lại không đủ điều kiện làm trụ hoặc cần giải pháp linh hoạt hơn, răng tháo lắp cũng có thể được sử dụng nhằm phục hồi chức năng cơ bản.

3.3 Mất răng lâu năm, tiêu xương

Mất răng lâu năm thường kèm theo tình trạng tiêu xương hàm, làm hạn chế khả năng phục hình trực tiếp. Trong trường hợp này, trồng răng Implant vẫn là giải pháp tối ưu nếu xương hàm được đánh giá và xử lý phù hợp trước đó. Khi chưa thể can thiệp Implant, bác sĩ có thể chỉ định phục hình tháo lắp nhằm cải thiện ăn nhai và thẩm mỹ tạm thời.

Đối với người mất răng lâu năm thì trồng răng Implant vẫn là giải pháp tối ưu
Đối với người mất răng lâu năm thì trồng răng Implant vẫn là giải pháp tối ưu

4. Mất răng lâu ngày không trồng có sao không?

Theo đánh giá của Ths.Bs Hoàng Quỳnh Trang, mất răng lâu ngày nếu không trồng lại có thể gây tiêu xương hàm, xô lệch răng và suy giảm chức năng ăn nhai, đồng thời khiến việc phục hình về sau trở nên phức tạp hơn. Khi khoảng trống mất răng tồn tại kéo dài, xương hàm không còn được kích thích bởi lực nhai sẽ dần tiêu biến, làm tụt lợi và biến dạng cấu trúc hàm mặt. Các răng kế cận có xu hướng nghiêng đổ, lệch khớp cắn, từ đó làm tăng nguy cơ sâu răng, viêm nha chu và đau khớp thái dương hàm. 

Không chỉ ảnh hưởng đến thẩm mỹ, tình trạng mất răng còn làm giảm hiệu quả ăn nhai, tác động tiêu cực đến hệ tiêu hóa và buộc người bệnh phải can thiệp điều trị phức tạp, tốn kém hơn nếu phục hình muộn.

5. Một số lưu ý quan trọng khi phục hình răng đã mất

Để việc phục hình răng đã mất đạt hiệu quả lâu dài và hạn chế biến chứng, người bệnh cần cần ghi nhớ một số lưu ý quan trọng gồm:

  • Thăm khám và chẩn đoán chính xác tình trạng mất răng: Đánh giá số lượng răng mất, chất lượng xương hàm, khớp cắn và sức khỏe răng miệng tổng thể.
  • Lựa chọn giải pháp phục hình phù hợp: Cân nhắc giữa Implant, cầu răng sứ hay răng tháo lắp theo nhu cầu sử dụng và điều kiện xương hàm.
  • Thực hiện tại cơ sở nha khoa uy tín: Đảm bảo bác sĩ có chuyên môn và phác đồ điều trị rõ ràng.
  • Tuân thủ hướng dẫn chăm sóc sau phục hình: Vệ sinh đúng cách, ăn nhai hợp lý để tăng độ bền của răng phục hình.
  • Tái khám định kỳ: Theo dõi độ ổn định của răng phục hình và xử lý sớm các vấn đề phát sinh.
Thăm khám và chẩn đoán chính xác để việc phục hình đạt kết quả tốt
Thăm khám và chẩn đoán chính xác để việc phục hình đạt kết quả tốt

Tóm lại, thông tin trong bài viết trên đây của Top Nha Khoa đã làm sáng tỏ băn khoăn mất răng có bọc sứ được không. Có thể thấy, bọc sứ không phải là giải pháp áp dụng trực tiếp khi đã mất răng mà cần can thiệp bằng các phương pháp phục hình phù hợp như Implant, cầu răng sứ hoặc răng tháo lắp, tùy từng tình trạng cụ thể. Việc lựa chọn đúng giải pháp ngay từ đầu giúp khôi phục chức năng ăn nhai và thẩm mỹ, đồng thời hạn chế tình trạng tiêu xương hàm và các biến chứng răng miệng về sau.

Thạc sĩ - Bác sĩ Hoàng Quỳnh Trang
Tham vấn y khoa:

Thạc sĩ - Bác sĩ Hoàng Quỳnh Trang

Thạc sĩ - Bác sĩ Hoàng Quỳnh Trang có hơn 12 năm kinh nghiệm về phục hình răng sứ và chỉnh nha, trực tiếp điều trị hơn 10.000 khách hàng trong & ngoài nước.
Thạc sĩ - Bác sĩ Hoàng Quỳnh Trang
Thạc sĩ - Bác sĩ Hoàng Quỳnh Trang Nha khoa Quinn Dental
Gọi ngay 0912 011 683