Lấy cao răng đúng cách giúp loại bỏ mảng bám cứng đầu và phòng ngừa các vấn đề răng miệng như viêm nướu, hôi miệng. Sau khi cạo vôi răng kết hợp chăm sóc răng miệng khoa học giúp răng trắng sáng, ngừa sâu răng, cải thiện hơi thở và giữ cho nướu khỏe mạnh.

Tác hại của cao răng là gì?
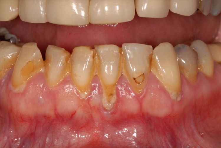
Chỉ sau 6 tháng, cao răng tích tụ có thể gây tổn thương nghiêm trọng cho nướu và răng. Không chỉ làm mất thẩm mỹ, cao răng còn là nguyên nhân của nhiều vấn đề răng miệng nghiêm trọng. Cụ thể:
- Gây viêm nướu và chảy máu chân răng: Cao răng chứa nhiều vi khuẩn. Những vi khuẩn này có thể kích thích nướu, gây sưng đỏ, chảy máu, đặc biệt là khi chải răng hoặc ăn uống.
- Gây viêm nha chu, tụt nướu: Nếu không được loại bỏ kịp thời, cao răng sẽ tích tụ gây viêm nha chu, làm suy yếu mô nâng đỡ răng và dẫn đến tụt nướu.
- Hôi miệng, hơi thở có mùi khó chịu: Vi khuẩn trong cao răng lên men thức ăn thừa, tạo ra mùi hôi, gây ảnh hưởng trực tiếp đến giao tiếp.
- Tăng nguy cơ sâu răng: Cao răng là nơi trú ẩn của nhiều vi khuẩn, tạo ra acid gây hỏng men răng, sâu răng, ê buốt và đau nhức.
- Ảnh hưởng đến thẩm mỹ của hàm răng: Cao răng tích tụ lâu ngày khiến răng bị ố vàng, xỉn màu, mất thẩm mỹ.
- Tăng nguy cơ mất răng sớm: Viêm nha chu có thể làm tiêu xương ổ răng, khiến răng mất đi sự nâng đỡ và dễ bị rụng sớm.
Như vậy, cao răng không chỉ ảnh hưởng đến thẩm mỹ mà còn gây hại nghiêm trọng cho sức khỏe răng miệng. Việc loại bỏ cao răng định kỳ giúp ngăn ngừa vi khuẩn, bảo vệ răng miệng và duy trì hơi thở thơm mát. Để bảo vệ răng miệng tốt nhất, hãy duy trì thói quen vệ sinh đúng cách và thăm khám nha khoa định kỳ.
Quy trình kỹ thuật lấy cao răng tại nha khoa
Quy trình kỹ thuật lấy cao răng tại nha khoa chuẩn được thực hiện như sau:
Bước 1: Thăm khám và tư vấn
Đầu tiên, bác sĩ sẽ tiến hành kiểm tra tổng quát tình trạng răng miệng để đánh giá mức độ cao răng và sức khoẻ nướu. Dựa trên kết quả kiểm tra, bác sĩ sẽ tư vấn về phương pháp lấy cao răng phù hợp.
Dựa trên mức độ tích tụ, cao răng được chia thành 3 mức độ:
- Mức độ 1: Cao răng ít, chỉ bám trên bề mặt răng và chưa gây viêm nướu.
- Mức độ 2: Cao răng dày hơn, lan xuống phần chân răng, có thể gây viêm lợi nhẹ.
- Mức độ 3: Cao răng dày đặc, gây tụt nướu, viêm nha chu và có thể làm tổn thương đến xương ổ răng.
Bước 2: Vệ sinh răng miệng
Trước khi lấy cao răng, bác sĩ sẽ tiến hành vệ sinh khoang miệng bằng nước súc miệng chuyên dụng. Bước này giúp loại bỏ vi khuẩn và giảm nguy cơ nhiễm trùng, tạo điều kiện thuận lợi cho việc vệ sinh cao răng.
Bước 3: Lấy cao răng với công nghệ siêu âm
Bác sĩ dùng máy siêu âm để loại bỏ cao răng bám trên thân răng và dưới nướu. Sóng siêu âm có tác dụng tách các mảng bám cứng mà không làm tổn thương men răng hay nướu. Trong một số trường hợp, bệnh nhân có thể bị chảy máu nhẹ nếu cao răng bám sâu vào nướu và sẽ nhanh chóng hồi phục sau đó.
Bước 4: Đánh bóng răng
Sau khi loại bỏ cao răng, bác sĩ sẽ dùng dụng cụ chuyên dụng và thuốc đánh bóng để làm nhẵn bề mặt, giúp răng sáng hơn và ngăn ngừa mảng bám tích tụ.
Bước 5: Súc miệng và hướng dẫn chăm sóc răng miệng
Cuối cùng, bác sĩ sẽ tiến hành vệ sinh lại răng miệng và hướng dẫn bệnh nhân cách chăm sóc răng đúng cách tại nhà:
- Mỗi ngày đánh răng ít nhất 2 lần với bàn chải lông mềm và kem đánh răng có chứa fluoride.
- Dùng chỉ nha khoa để loại bỏ các mảng bám trên kẽ răng.
- Giảm tiêu thụ các thực phẩm có đường, nước có ga.
- Thăm khám răng định kỳ 6 tháng/ lần.
- Nếu bệnh nhân có các bệnh liên quan đến răng miệng như: Viêm nướu, viêm nha chu, … cần bác sĩ sẽ tư vấn phương pháp điều trị phù hợp.
Việc loại bỏ cao răng định kỳ không chỉ giúp bảo vệ sức khỏe răng miệng mà còn duy trì hơi thở thơm mát và nụ cười rạng rỡ. Ngoài ra, bạn cũng cần lưu ý đến tần suất lấy cao răng.
Nên lấy cao răng mấy tháng một lần?
Vệ sinh cao răng định kỳ giúp duy trì sức khỏe răng miệng và ngăn ngừa các bệnh lý nha khoa. Vậy bao lâu thì nên làm sạch vôi răng một lần?
- Đối với người bình thường: Nên lấy cao răng định kỳ 3-6 tháng/ lần để duy trì sức khỏe răng miệng, ngăn ngừa viêm nướu và sâu răng.
- Đối với người có nhiều cao răng hoặc mắc bệnh lý nha chu: Cần lấy cao răng khoảng 2 – 3 tháng/lần theo chỉ định của bác sĩ để kiểm soát vi khuẩn và hạn chế biến chứng.
Duy trì thói quen lấy cao răng đúng hạn giúp hơi thở thơm mát, răng trắng sạch và bảo vệ sức khỏe răng miệng lâu dài. Nếu chưa rõ thời điểm phù hợp để cạo vôi răng, bạn nên đến nha khoa để được thăm khám và tư vấn.
Những lưu ý sau khi lấy cao răng
Sau khi lấy cao răng, răng và nướu khá nhạy cảm. Chính vì vậy, xây dựng việc thiết lập chế độ chăm sóc răng miệng hợp lý sẽ giúp bảo vệ sức răng, nướu và duy trì hiệu quả của việc làm sạch cao răng. Bạn cần chú ý:
- Cảm giác ê buốt sau khi loại bỏ cao răng
Một số người có thể cảm thấy ê buốt nhẹ khi ăn uống thực phẩm quá nóng hoặc quá lạnh. Đây là phản ứng hoàn toàn bình thường và sẽ tự biến mất sau 1-2 ngày. Trong thời gian này, bạn nên tránh các thực phẩm có nhiệt độ quá chênh lệch để hạn chế kích ứng răng.
- Thiết lập chế độ ăn uống khoa học kết hợp với vệ sinh răng miệng đúng cách
Mỗi ngày, bạn nên đánh răng ít nhất 2 lần vào buổi sáng và buổi tối. Thời gian đánh răng kéo dài khoảng 3 phút và thực hiện đúng kỹ thuật để loại bỏ vi khuẩn hiệu quả. Nên kết hợp sử dụng nước muối sinh lý để súc miệng, giúp sát khuẩn và làm sạch khoang miệng hiệu quả hơn.

Ngoài ra, hạn chế tối đa bánh ngọt, thực phẩm có chứa nhiều tinh bột, đặc biệt vào buổi tối, vì chúng dễ tạo điều kiện cho vi khuẩn gây sâu răng.
Các chất kích thích như rượu bia, cà phê và đặc biệt là thuốc lá cũng cần tránh xa. Nicotine trong thuốc lá có hại cho men răng, làm tăng nguy cơ hình thành mảng bám và ảnh hưởng đến sức khỏe răng miệng.
Lấy cao răng định kỳ kết hợp với vệ sinh răng miệng đúng cách giúp bạn duy trì hàm răng chắc khỏe, ngăn ngừa các bệnh lý nha khoa và giữ hơi thở thơm mát. Đừng quên xây dựng thói quen chăm sóc răng miệng khoa học để bảo vệ nụ cười rạng rỡ hơn.
