Lấy cao răng có làm trắng răng không là thắc mắc phổ biến nhiều người khi có nhu cầu chăm sóc răng miệng. Thực tế, lấy cao răng và làm trắng răng là hai quy trình hoàn toàn riêng biệt. Bài viết dưới đây sẽ làm rõ sự khác nhau giữa hai phương pháp, giúp bạn hiểu đúng và lựa chọn phù hợp.

Lấy cao răng có giúp răng trắng hơn không?
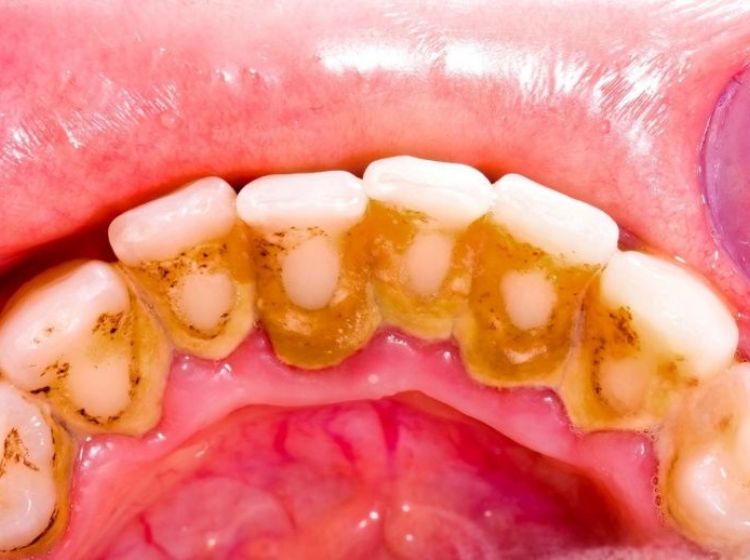
Lấy cao răng không phải là phương pháp làm trắng răng. Đây là kỹ thuật nha khoa nhằm loại bỏ mảng bám, vôi răng và các lớp ố vàng bám trên bề mặt răng, đặc biệt ở cổ răng và kẽ răng. Khi các mảng bám này được làm sạch, răng sẽ trông sáng và sạch hơn, thường cải thiện khoảng 1–2 tông màu so với trước đó.
Tuy nhiên, quá trình lấy cao răng không tác động đến màu răng tự nhiên bên trong (men và ngà răng), nên không thể làm răng trắng bật tông như các phương pháp tẩy trắng chuyên sâu. Hiệu quả “trắng hơn” sau khi lấy cao răng chủ yếu đến từ việc bề mặt răng được làm sạch hoàn toàn, không còn lớp vôi răng xỉn màu che phủ.
Phương pháp tẩy trắng răng
Để cải thiện màu sắc răng rõ rệt, người bệnh cần áp dụng các kỹ thuật tẩy trắng răng chuyên sâu. Các phương pháp này sử dụng hóa chất chuyên dụng để làm phá vỡ liên kết phân tử gây xỉn màu bên trong men răng.
Tẩy trắng răng Laser
Hình thức này sử dụng kết hợp giữa thuốc tẩy trắng và tia laser, kích hoạt phản ứng hóa học để phá vỡ các phân tử gây ố vàng trên bề mặt răng. Tẩy trắng bằng laser là công nghệ thẩm mỹ cao cấp, hiệu quả nhanh, loại bỏ mảng ố chỉ sau khoảng 30 phút điều trị. Kỹ thuật này không gây tổn hại men răng, không ảnh hưởng đến mô mềm và đảm bảo an toàn cho người sử dụng.

Tẩy trắng răng bằng máng
Phương pháp này sử dụng máng nhựa chứa thuốc tẩy trắng, đeo trực tiếp lên răng để hoạt chất thẩm thấu và làm trắng sáng. Máng được thiết kế vừa khít, không gây hại men răng, phù hợp với người bị xỉn màu nhẹ và muốn tiết kiệm chi phí.
Trước khi đeo máng, cần vệ sinh răng miệng sạch sẽ và tránh ăn uống. Mỗi ngày nên đeo ít nhất 2 giờ hoặc để qua đêm theo hướng dẫn của bác sĩ.
Tẩy trắng răng bằng miếng dán
Miếng dán trắng răng là dạng băng dính chứa hoạt chất Hydrogen peroxide, có khả năng loại bỏ mảng bám và vết ố vàng trên bề mặt răng. Sản phẩm dễ sử dụng, chỉ cần dán trực tiếp lên răng và giữ yên khoảng 30 phút.
Tuy nhiên, phương pháp này chỉ cải thiện màu sắc ở bên ngoài, không mang lại hiệu quả sâu bên trong cấu trúc. Người dùng nên lựa chọn sản phẩm rõ nguồn gốc, chú ý đến nồng độ hoạt chất để tránh kích ứng, đặc biệt với bệnh nhân đang gặp vấn đề về răng miệng.
Lấy cao răng và tẩy trắng răng cùng lúc có được không?
Việc lấy cao răng và tẩy trắng răng cùng lúc có được hay không sẽ phụ thuộc vào mức độ vôi răng cũng như tình trạng nướu của từng người. Nếu vôi răng ít, nướu khỏe mạnh và không có dấu hiệu viêm nhiễm, bác sĩ có thể tiến hành cạo vôi và tẩy trắng răng ngay sau đó.
Ngoài ra, các chuyên gia khuyến cáo nên lấy cao răng trước khi tẩy trắng răng. Việc loại bỏ sạch mảng bám giúp bề mặt răng không còn, thuốc tẩy trắng dễ thẩm thấu và lan đều màu, tránh tình trạng răng bị loang lổ sau khi tẩy.

Sau khi cạo vôi răng, nên đợi khoảng 3 – 7 ngày trước khi thực hiện tẩy trắng. Thời gian này giúp nướu và men răng có thời gian hồi phục, hạn chế kích ứng, giúp quá trình tẩy diễn ra an toàn, hiệu quả hơn.
Với những người có nướu nhạy cảm, đang sưng đỏ hoặc có dấu hiệu viêm nhiễm, bác sĩ sẽ ưu tiên điều trị triệt để trước. Việc tẩy trắng răng trong giai đoạn này có thể gây kích ứng và làm tổn thương mô mềm, từ đó ảnh hưởng đến sức khỏe răng miệng lâu dài.
Lấy cao răng có làm trắng răng không là câu hỏi thường bị hiểu nhầm, dẫn đến kỳ vọng sai lệch. Để duy trì hàm răng trắng sáng lâu dài, việc lựa chọn đúng kỹ thuật là vô cùng quan trọng. Hãy tham khảo kỹ ý kiến chuyên gia để lựa chọn giải pháp chăm sóc răng miệng hiệu quả nhất.

Top Nha Khoa là nền tảng nha khoa toàn diện, giúp người dùng tiếp cận kiến thức răng hàm mặt chính xác và các phòng khám nha khoa uy tín trên toàn quốc. Website kết nối hơn 5.000 nha khoa, hỗ trợ tìm kiếm và lựa chọn địa chỉ phù hợp. Mọi thông tin được xây dựng theo góc nhìn trung lập, minh bạch và sát thực tế điều trị
