Dấu hiệu mọc răng khểnh thường xuất hiện khi răng vĩnh viễn không mọc đúng vị trí trên cung hàm mà lệch ra ngoài, mọc cao hoặc xoay trục. Biểu hiện dễ nhận biết gồm răng nanh nhô khi cười, răng trước chen chúc, khớp cắn không đều hoặc cảm giác cộm khi ăn nhai. Tình trạng này hay gặp nhất trong giai đoạn thay răng từ 8–12 tuổi và nên được bác sĩ nha khoa theo dõi sớm để tránh răng ổn định sai vị trí.
1. Dấu hiệu mọc răng khểnh thường gặp nhất
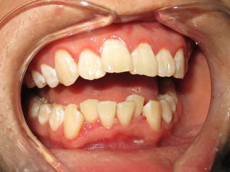
Khi răng nanh vĩnh viễn mọc khểnh, răng thường không nằm đúng trục trên cung hàm mà có xu hướng lệch ra ngoài, mọc cao hơn hoặc xoay so với các răng kế cận. Tình trạng này thường xuất hiện trong giai đoạn thay răng và có thể nhận biết thông qua một số dấu hiệu đặc trưng sau:
- Răng mọc cao, nhô ra phía ngoài môi, không thẳng hàng với các răng bên cạnh, khiến nụ cười mất cân đối khi nhìn trực diện hoặc chụp ảnh.
- Răng xoay trục, mặt răng không hướng thẳng ra phía trước mà nghiêng hoặc xoắn nhẹ, làm hàng răng trông kém đều dù số lượng răng vẫn đầy đủ.
Các răng phía trước chen chúc, xô đẩy nhau, khoảng cách giữa các răng không đồng đều, gây khó khăn trong việc vệ sinh và dễ tích tụ mảng bám. - Khớp cắn không khít, khi cắn hai hàm lại có cảm giác cộm, vướng hoặc mỏi hàm nếu ăn nhai trong thời gian dài.
Ở giai đoạn đầu, các dấu hiệu mọc răng khểnh thường chủ yếu ảnh hưởng đến thẩm mỹ và cảm giác khi ăn nhai, chưa gây biến chứng rõ ràng. Tuy nhiên, khi răng đã ổn định ở vị trí sai lệch, tình trạng răng khểnh khó có khả năng tự điều chỉnh và lúc này thường cần can thiệp chỉnh nha chuyên môn để đưa răng về đúng trục, đảm bảo thẩm mỹ và chức năng ăn nhai lâu dài.

2. Dấu hiệu mọc răng khểnh theo từng giai đoạn tuổi
Dấu hiệu răng mọc khểnh không xuất hiện đột ngột mà hình thành dần theo quá trình thay răng và phát triển xương hàm. Việc theo dõi theo độ tuổi giúp phát hiện sớm và can thiệp đúng thời điểm.
2.1 Ở trẻ đang thay răng (6–12 tuổi)
Đây là giai đoạn quan trọng nhất để nhận biết nguy cơ mọc răng khấp khểnh. Những dấu hiệu mang tính diễn tiến thường gặp gồm:
- Răng nanh vĩnh viễn bắt đầu mọc khi răng nanh sữa vẫn còn trên cung hàm
- Trình tự rụng răng sữa không đồng đều, răng sữa rụng quá sớm hoặc quá muộn
- Cung hàm phát triển hẹp, khoảng trống dành cho răng vĩnh viễn không đủ
Ở giai đoạn này, bác sĩ chỉnh nha có thể theo dõi hướng mọc răng, can thiệp sớm bằng các biện pháp đơn giản như nhổ răng sữa đúng thời điểm, hướng dẫn mọc răng hoặc nong hàm khi cần thiết.
2.2 Ở thanh thiếu niên
Khi toàn bộ răng vĩnh viễn đã mọc, răng khểnh thường biểu hiện ổn định hơn về vị trí. Trẻ dễ nhận thấy:
- Hàng răng không đều rõ rệt khi cười
- Vùng răng khểnh khó làm sạch hơn các răng khác
- Nụ cười mất cân xứng so với khuôn mặt
Đây là giai đoạn xương hàm còn đáp ứng tốt với lực chỉnh nha, phù hợp để niềng răng đưa răng về đúng vị trí sinh lý.
2.3 Ở người trưởng thành
Răng khểnh ở người trưởng thành thường không nặng thêm về hình thái, nhưng hậu quả tích lũy theo thời gian rõ hơn như viêm lợi, sâu răng kẽ, mòn răng hoặc lệch khớp cắn. Việc điều trị cần được cân nhắc kỹ giữa chỉnh nha và các phương án thẩm mỹ phù hợp.

3. Tại sao răng lại mọc khểnh thay vì mọc thẳng?
Tình trạng răng khấp khểnh chủ yếu do thiếu khoảng trống trên cung hàm, răng sữa rụng muộn, răng vĩnh viễn mọc sai hướng hoặc yếu tố di truyền. Thói quen xấu thời nhỏ và cấu trúc xương hàm cũng làm tăng nguy cơ răng mọc lệch.
Từ góc nhìn chuyên môn, răng nanh mọc lệch không phải ngẫu nhiên, mà thường do một hoặc nhiều nguyên nhân sau:
- Cung hàm hẹp – thiếu chỗ mọc răng: Đây là nguyên nhân phổ biến nhất. Khi xương hàm nhỏ hơn kích thước răng, răng nanh buộc phải mọc lệch ra ngoài.
- Răng sữa rụng muộn hoặc rụng sớm: Răng sữa không rụng đúng thời điểm làm cản đường răng vĩnh viễn. Ngược lại, răng sữa rụng quá sớm khiến các răng bên cạnh xô lệch, chiếm mất chỗ.
- Di truyền: Hình dạng cung hàm, kích thước răng và xu hướng mọc răng có thể di truyền trong gia đình.
- Thói quen xấu thời nhỏ: Mút tay, đẩy lưỡi, thở miệng kéo dài ảnh hưởng trực tiếp đến hướng mọc răng và phát triển xương hàm.
- Không theo dõi giai đoạn thay răng: Nhiều phụ huynh bỏ qua giai đoạn răng mọc lệch sớm, đến khi răng khểnh ổn định thì việc can thiệp đã muộn hơn mức cần thiết.
4. Răng khểnh có ảnh hưởng gì không? Khi nào cần can thiệp?
Răng khểnh không chỉ ảnh hưởng thẩm mỹ mà còn gây khó vệ sinh, tăng nguy cơ sâu răng, viêm lợi và lệch khớp cắn.
4.1 Ảnh hưởng thường gặp
- Dễ sâu răng, viêm lợi quanh răng nanh mọc lệch
- Lệch khớp cắn, mỏi hàm, đau khớp thái dương hàm
Mòn răng sớm do lực nhai phân bố không đều - Ảnh hưởng phát âm ở một số trường hợp
- Giảm tự tin khi giao tiếp
4.2 Khi nào nên can thiệp
- Răng khểnh gây chen chúc, sai khớp cắn
- Viêm lợi tái diễn quanh răng khểnh
- Đau hàm, cộm khi nhai
- Có nhu cầu cải thiện thẩm mỹ lâu dài
Nguyên tắc của bác sĩ là can thiệp khi răng khểnh ảnh hưởng chức năng hoặc tiềm ẩn nguy cơ lâu dài, không can thiệp chỉ vì yếu tố cảm tính.

5. Giải pháp xử lý răng khểnh theo mức độ
Giải pháp xử lý răng khểnh phụ thuộc vào mức độ lệch và độ tuổi, ưu tiên bảo tồn răng thật, an toàn và hiệu quả lâu dài.
Các phương pháp xử lý răng khểnh:
- Theo dõi – can thiệp sớm ở trẻ em: Nhổ răng sữa đúng thời điểm, hướng dẫn mọc răng, nong hàm khi cần
- Niềng răng chỉnh nha: Áp dụng từ nhẹ đến nặng, điều chỉnh đúng khớp cắn, giữ răng thật
- Bọc sứ / dán veneer: Chỉ dùng khi răng nanh mọc lệch rất nhẹ, mục tiêu thẩm mỹ nhanh
- Kết hợp chỉnh nha – phẫu thuật hàm : Chỉ định chặt chẽ với lệch nặng do xương hàm

Nhìn chung, dấu hiệu răng mọc khểnh có thể nhận biết sớm qua sự lệch hướng mọc của răng, chen chúc trên cung hàm hoặc khớp cắn không đều. Việc theo dõi đúng giai đoạn và đánh giá từ bác sĩ nha khoa giúp lựa chọn giải pháp phù hợp, bảo tồn răng thật và tránh những can thiệp phức tạp về sau.
