Cao răng màu đen hình thành do mảng bám tồn tại lâu ngày, thường thấy ở những người không duy trì thói quen vệ sinh răng miệng đúng cách. Tình trạng này gây mất thẩm mỹ và ảnh hưởng trực tiếp đến sức khỏe răng miệng.

Vôi răng màu đen là như thế nào?
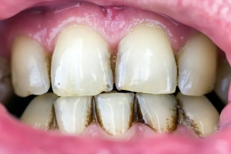
Cao răng màu đen (hay vôi răng đen) là tình trạng mảng bám vi khuẩn tích tụ lâu ngày, bị vôi hóa và chuyển màu do tác động của khói thuốc, thực phẩm sẫm màu hoặc do tình trạng xuất huyết nướu (cao răng huyết thanh). Cao răng đen bám chặt hơn rất nhiều so với cao răng vàng, thường ẩn sâu dưới nướu, là nơi trú ngụ của vi khuẩn kỵ khí gây phá hủy mô nha chu. Phương pháp duy nhất để loại bỏ là can thiệp bằng thiết bị siêu âm chuyên dụng tại phòng khám nha khoa uy tín.
Phân loại cao răng đen
Nhiều người cho rằng cao răng đen đơn giản chỉ do vệ sinh kém. Thực tế, theo phân tích chuyên môn nha khoa, cao răng đen được chia thành hai nhóm chính với cơ chế hình thành và mức độ nguy hiểm hoàn toàn khác nhau.
Cao răng đen do nhiễm sắc tố ngoại sinh
Đây là dạng phổ biến, hình thành khi mảng bám và cao răng vàng tiếp xúc lâu ngày với các tác nhân gây đổi màu từ bên ngoài như:
- Hắc ín và nicotine trong thuốc lá: Khiến cao răng chuyển từ nâu sẫm sang đen đặc trưng.
- Đồ uống đậm màu: Cà phê, trà đặc, rượu vang đỏ.
- Thực phẩm chứa phẩm màu: Gia vị, nước sốt sẫm màu.
Đặc điểm nhận biết:
- Thường bám trên bề mặt thân răng, phía trên viền nướu.
- Dễ quan sát bằng mắt thường.
- Có thể loại bỏ tương đối nhanh bằng phương pháp lấy cao răng siêu âm.
- Dù ít nguy hiểm hơn loại bên dưới nướu, nếu không xử lý sớm vẫn có thể gây viêm lợi và hôi miệng.
Cao răng đen huyết thanh
Đây mới thực sự là vấn đề đáng lo ngại. Khi nướu bị viêm và chảy máu kéo dài, máu sẽ thấm vào lớp cao răng vàng sẵn có. Dưới tác động của vi khuẩn kỵ khí trong môi trường thiếu oxy, lớp cao răng này chuyển sang màu nâu đen hoặc đen đỏ.
Đặc điểm chuyên môn:
- Nằm sâu dưới đường viền nướu.
- Bám sát chân răng và bề mặt xương ổ răng.
- Không dễ nhìn thấy bằng mắt thường.
Hệ lụy nghiêm trọng:
- Hình thành túi nha chu.
- Hôi miệng kéo dài dù đã vệ sinh kỹ.
- Tiêu xương ổ răng và gây lung lay răng nếu không điều trị kịp thời.
Nguyên nhân cao răng có màu đen
- Cao răng tích tụ lâu ngày
Vôi răng hình thành từ các mảng bám chứa vi khuẩn, cặn đồ ăn và khoáng chất bám trên bề mặt răng. Khi không xử lý định kỳ, những lớp vi khuẩn tích tụ này sẽ bị vôi hóa, trở nên cứng chắc và đổi màu theo thời gian.
- Chế độ ăn uống dễ làm răng đổi màu
Thường xuyên tiêu thụ các thực phẩm và đồ uống đậm màu như cà phê, trà đặc, nước ngọt có gas, rượu vang hay socola có thể khiến chất bẩn bám trên răng dễ bị nhiễm màu. Bên cạnh đó, thói quen hút thuốc lá cũng là yếu tố làm cao răng chuyển sang màu đen do nhiễm khói thuốc.
- Vệ sinh răng miệng kém
Việc không đánh răng đều đặn 2 lần mỗi ngày hoặc bỏ qua bước làm sạch các kẽ răng, vi khuẩn và mảng bám sẽ tích tụ ngày càng nhiều. Những cặn bẩn này nếu không loại bỏ kịp thời sẽ cứng lại, bám chặt quanh chân răng và dưới nướu, lâu dần chuyển sang màu sẫm.
- Vi khuẩn sinh lưu huỳnh
Một số loại vi khuẩn trong khoang miệng có khả năng sinh ra hợp chất chứa lưu huỳnh do phân hủy protein từ thực phẩm. Các hợp chất này có thể phản ứng với khoáng chất trong cặn bám, tạo thành những chất có màu đen, khiến cao răng chuyển màu rõ rệt.
- Do bệnh lý răng miệng
Các bệnh lý như viêm nha chu, viêm nướu hoặc sâu răng có thể khiến cao răng chuyển màu. Khi lợi bị viêm, máu có thể thấm vào lớp cao răng, làm cao răng chuyển sang màu đỏ sẫm hoặc đen theo thời gian.
Ngoài ra, sâu răng cũng có thể tạo nên các đốm đen trên bề mặt men răng, khiến khu vực đó dễ tích tụ thêm vi khuẩn và hình thành cao răng đen.

Tác hại của cao răng màu đen
Nếu cao răng vàng chỉ là vấn đề thẩm mỹ, thì cao răng đen là một “ổ bệnh” thực sự.
Hôi miệng kinh niên
Cao răng đen có cấu trúc rỗng xốp, là “nhà kho” lý tưởng cho vi khuẩn sinh sôi. Các hợp chất lưu huỳnh dễ bay hơi được giải phóng khiến hơi thở có mùi hôi nồng nặc, dù bạn có đánh răng nhiều lần trong ngày cũng không thể hết.
Viêm nha chu và tiêu xương ổ răng
Vi khuẩn từ cao răng đen tiết ra độc tố làm phá hủy các sợi liên kết giữa răng và nướu.
Hậu quả: Nướu tụt xuống (tụt lợi), xương ổ răng bị tiêu biến, răng dài ra và bắt đầu lung lay.
Nguy cơ bệnh tim mạch và tiểu đường
Nhiều nghiên cứu khoa học chỉ ra rằng vi khuẩn từ ổ viêm nha chu (do cao răng đen) có thể theo đường máu đi khắp cơ thể, làm tăng nguy cơ đột quỵ, bệnh tim mạch và khó kiểm soát đường huyết ở người tiểu đường.

Bảng so sánh cao răng thường với cao răng màu đen
| Đặc điểm | Cao răng vàng/trắng |
Cao răng màu đen |
| Độ cứng | Cứng vừa phải | Cực kỳ cứng, bám chặt như đá |
| Vị trí phổ biến | Mặt trong răng cửa dưới, mặt ngoài răng hàm | Dưới nướu, túi nha chu, kẽ răng |
| Triệu chứng đi kèm | Hơi thở có mùi nhẹ | Chảy máu nướu, hôi miệng nặng, sưng lợi |
| Thời gian hình thành | 1 – 3 tháng | 6 tháng trở lên (tích tụ lâu ngày) |
| Cách xử lý | Cạo vôi răng cơ bản | Cần lấy cao răng sâu |
Cách khắc phục cao răng có màu đen
- Lấy cao răng tại nha khoa
Cạo vôi răng bị đen tại phòng khám là phương pháp hiệu quả và an toàn nhất. Bác sĩ sử dụng thiết bị siêu âm chuyên dụng để làm sạch toàn bộ mảng bám cứng ở thân răng và dưới lợi. Sau khi làm sạch, bác sĩ tiến hành đánh bóng răng để hạn chế cặn bám mới hình thành.
Nên lấy cao răng đều đặn 3–6 tháng/lần để phòng tránh vôi răng đen tái phát.
- Chăm sóc răng miệng đúng cách
Đánh răng ít nhất 2 lần mỗi ngày bằng kem đánh răng có chứa fluor giúp làm sạch cặn bẩn và ngăn ngừa hình thành cao răng. Kết hợp dùng chỉ nha khoa hoặc máy tăm nước để làm sạch vùng bàn chải khó tiếp cận như kẽ răng.
Súc miệng bằng nước muối sinh lý hoặc nước súc miệng kháng khuẩn giúp tiêu diệt vi khuẩn còn sót lại trong khoang miệng, đồng thời hỗ trợ ngăn ngừa viêm lợi.
- Hạn chế các tác nhân gây cao răng đen
Cần giảm thiểu việc tiêu thụ thực phẩm và đồ uống có màu đậm như cà phê, trà đen, rượu vang đỏ, nước ngọt có gas và các món ăn chứa nhiều phẩm màu. Hút thuốc lá cũng là một trong những nguyên nhân hàng đầu khiến cao răng nhanh chóng chuyển màu đen.
Nếu khó loại bỏ hoàn toàn, nên giảm tần suất sử dụng và uống nhiều nước sau khi dùng các thực phẩm, đồ uống có màu để làm sạch bề mặt răng.
- Khám răng định kỳ
Thăm khám nha khoa 3 – 6 tháng/lần để phát hiện sớm các dấu hiệu vôi răng đen và những bệnh lý răng miệng liên quan. Bác sĩ sẽ kiểm tra tổng quát răng và nướu, đồng thời lấy vôi răng và tư vấn cách chăm sóc phù hợp. Việc kiểm tra đều đặn giúp ngăn ngừa các biến chứng nghiêm trọng như viêm nha chu, sâu răng hay mất răng.
Giải đáp thắc mắc về cao răng đen
Lấy cao răng đen có bị chảy máu không?
Với cao răng đen huyết thanh nằm dưới nướu, việc chảy máu nhẹ là phản ứng bình thường do nướu đang bị viêm. Sau khi loại bỏ “vật thể lạ”, nướu sẽ lành thương và săn chắc lại sau 3-5 ngày.
Lấy cao răng đen có làm răng trắng lên không?
Lấy cao răng giúp loại bỏ mảng bám xỉn màu, trả lại màu sắc tự nhiên cho răng. Tuy nhiên, nếu muốn răng trắng sáng bật tông, bạn nên kết hợp thêm phương pháp tẩy trắng răng chuyên nghiệp.
Bao lâu thì cao răng đen quay trở lại?
Nếu không vệ sinh tốt, mảng bám sẽ vôi hóa sau 24-48 giờ. Tuy nhiên, để cao răng chuyển sang màu đen thường mất từ 3-6 tháng. Do đó, định kỳ 6 tháng đi nha khoa một lần là “thời điểm vàng”.
Cao răng màu đen là hiện tượng phổ biến nhưng không thể xem nhẹ. Việc nhận thức đúng và duy trì thói quen vệ sinh khoa học chính là cách tốt nhất để bảo vệ sức khỏe răng miệng.
