Răng đã chết tủy không còn đau dữ dội như giai đoạn viêm tủy nhưng lại gây ảnh hưởng lớn đến chức năng ăn nhai. Vì thế, răng chết tủy có nên nhổ không là vấn đề khiến nhiều người băn khoăn. Thực tế, quyết định nhổ hay giữ răng không thể áp dụng chung cho mọi trường hợp mà cần đánh giá kỹ dựa trên mức độ tổn thương và khả năng phục hồi của răng.
1. Răng chết tủy có nên nhổ không?
Bạn nên nhổ răng đã chết tủy trong trường hợp tổn thương vượt quá khả năng bảo tồn hoặc có biến chứng tái phát. Ngược lại, nếu răng vẫn còn đủ cấu trúc và có thể phục hồi bền vững thì bác sĩ nha khoa sẽ ưu tiên giữ răng. Để có quyết định chính xác, bạn nên thăm khám với bác sĩ nha khoa và nhận chỉ định cụ thể.

2. Khi nào răng chết tủy bắt buộc phải nhổ?
Răng chết tủy là tình trạng tủy răng, nơi chứa các mạch máu và dây thần kinh đã bị tổn thương nghiêm trọng và hoại tử. Do đó, những trường hợp răng chết tủy dưới đây, bác sĩ bắt buộc phải chỉ định nhổ nhằm loại bỏ ổ bệnh, bảo vệ sức khỏe răng miệng tổng thể và tránh biến chứng nguy hiểm.
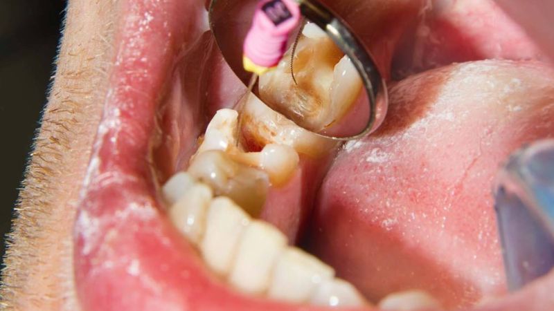
2.1 Răng vỡ lớn, không thể bọc sứ
Răng chết tủy dễ bị giòn, vỡ do đã mất nguồn nuôi dưỡng từ tủy răng. Khi đó, các mô răng thật đã mất đi rất nhiều, không còn đủ cấu trúc để tạo cùi và nâng đỡ mão sứ, việc phục hồi sẽ không đảm bảo độ bền lâu dài.
Với trường hợp này, dù có cố gắng điều trị tủy hay trám bít thì răng vẫn có nguy cơ gãy tiếp, gây đau và viêm nhiễm tái phát. Do đó, chỉ định nhổ răng là giải pháp cần thiết.
2.2 Viêm quanh chóp lan rộng, tái phát nhiều lần
Răng chết tủy không được điều trị triệt để có thể gây viêm quanh chóp. Nếu ổ viêm lan rộng, hình thành nang, áp xe hoặc tái phát nhiều lần dù đã điều trị tủy hay điều trị lại tủy, khả năng kiểm soát nhiễm trùng bằng phương pháp bảo tồn là rất thấp. Khi đó, việc nhổ răng nhằm loại bỏ hoàn toàn ổ viêm là bắt buộc để tránh ảnh hưởng đến xương hàm và các răng lân cận.
2.3 Lung lay độ 2 – 3, mất chức năng ăn nhai
Trong nhiều trường hợp, răng chết tủy đi kèm bệnh lý nha chu nặng, tiêu xương ổ răng khiến răng bị lung lay rõ rệt. Khi răng lung lay độ 2 – 3 (lung lay theo nhiều hướng), ảnh hưởng nghiêm trọng đến chức năng nhai và không thể làm trụ cho bất kỳ phương pháp phục hình nào. Việc giữ lại răng lúc này không mang lại lợi ích mà còn đau nhiều hơn, viêm và mất xương thêm, do đó nhổ răng là lựa chọn phù hợp.

2.4 Gây đau dai dẳng dù đã điều trị lại tủy
Một số răng chết tủy dù đã được điều trị lại tủy đúng kỹ thuật nhưng vẫn gây đau âm ỉ kéo dài, kèm cảm giác tức, khó chịu hoặc tái phát sưng nướu. Nguyên nhân có thể do nứt chân răng, ống tủy phụ không thể làm sạch hoàn toàn hoặc nhiễm trùng đã lan sâu vào mô quanh răng.
Nếu tiếp tục giữ răng trong trường hợp này chỉ khiến người bệnh đau nghiêm trọng và kéo dài, tiềm ẩn nguy cơ biến chứng. Vì thế, bác sĩ thường chỉ định nhổ răng để giải quyết dứt điểm.
3. Khi nào răng chết tủy không cần nhổ
Việc bảo tồn răng thật luôn là ưu tiên của các bác sĩ nha khoa, bởi răng tự nhiên vẫn mang lại cảm giác ăn nhai và độ bền sinh học tốt nhất. Vì thế, những trường hợp răng chết tủy sau không cần nhổ răng.
3.1 Răng còn thân răng đủ để phục hồi
Nếu răng chết tủy vẫn còn đủ mô răng lành phía trên nướu để tạo cùi và phục hồi, bác sĩ thường chỉ định điều trị tủy kết hợp tái tạo thân răng. Trong trường hợp này, răng vẫn có khả năng chịu lực ăn nhai sau khi được phục hình đúng kỹ thuật, giúp duy trì răng thật thay vì phải nhổ bỏ sớm.
3.2 Mô quanh răng ổn định, không nhiễm trùng
Một tiêu chí quan trọng để quyết định giữ răng chết tủy là tình trạng mô quanh chóp và nha chu vẫn ổn định. Khi không có dấu hiệu viêm quanh chóp, không áp xe, không tiêu xương tiến triển và nướu quanh răng khỏe mạnh, răng chết tủy hoàn toàn có khả năng điều trị bảo tồn. Việc giữ răng trong điều kiện mô quanh răng ổn định giúp hạn chế nguy cơ biến chứng và bảo vệ cấu trúc xương hàm tự nhiên.
3.3 Có thể bọc sứ để duy trì lâu dài
Với những người có răng chết tủy đủ điều kiện để bọc mão sứ thì không cần nhổ. Thay vào đó, bác sĩ có thể chỉ định bọc sứ để kéo dài tuổi thọ của răng. Mão sứ giúp phân bố lực nhai đều, hạn chế gãy vỡ và khôi phục thẩm mỹ, cho phép răng chết tủy tiếp tục hoạt động ổn định trong nhiều năm mà không cần nhổ.

4. Nguy cơ khi giữ răng chết tủy nhưng không điều trị đúng
Việc chủ quan giữ răng chết tủy nhưng không điều trị đúng cách có nguy cơ gây ra những hậu quả lâu dài cho xương hàm, chức năng ăn nhai và các răng xung quanh.
4.1 Viêm quanh chóp, áp xe tái phát
Khi tủy răng đã hoại tử, vi khuẩn có thể tồn tại trong hệ thống ống tủy và lan xuống vùng chóp chân răng. Lúc này, điều trị tủy răng đã hoại tử không triệt để hoặc phục hồi không kín khít, ổ viêm quanh chóp dễ tái phát, hình thành áp xe, gây sưng đau, chảy mủ và nguy cơ lan rộng sang xương hàm. Tình trạng viêm nhiễm tái diễn nhiều lần làm tiêu xương quanh chóp, khiến việc bảo tồn răng ngày càng khó khăn.
4.2 Mất răng sớm
Giữ răng chết tủy nhưng không điều trị đúng thời điểm hoặc đúng kỹ thuật sẽ khiến tổn thương tiến triển âm thầm. Theo thời gian, cấu trúc răng và xương nâng đỡ bị phá hủy, dẫn đến răng không còn khả năng phục hồi và buộc phải nhổ bỏ. So với việc can thiệp sớm, sự chậm trễ này thường khiến bệnh nhân mất răng sớm hơn và làm phức tạp kế hoạch phục hình về sau.
4.3 Ảnh hưởng ăn nhai và răng kế cận
Răng chết tủy kèm viêm nhiễm kéo dài có thể làm giảm khả năng ăn nhai, gây đau khi cắn hoặc khiến bệnh nhân phải nhai lệch sang bên còn lại. Lâu dần, lực nhai mất cân đối sẽ làm các răng kế cận và răng đối diện chịu áp lực bất thường, tăng nguy cơ mòn răng, xô lệch khớp cắn và suy giảm chức năng toàn bộ hàm.

5. Giải pháp hiệu quả sau khi nhổ răng chết tủy
Sau khi nhổ răng chết tủy, việc phục hồi răng mất rất quan trọng nhằm đảm bảo chức năng ăn nhai, hạn chế tiêu xương hàm và ngăn ngừa xô lệch răng. Tùy vào tình trạng xương hàm, sức khỏe răng miệng tổng thể và nhu cầu cá nhân, bác sĩ sẽ tư vấn phương pháp phục hình phù hợp dưới đây nhằm mang lại hiệu quả lâu dài.
5.1 Trồng implant
Trồng implant là phương pháp được nhiều bác sĩ nha khoa lựa chọn và đánh giá cao trong việc phục hình răng đã mất do nhiều nguyên nhân khác nhau. Với phương pháp này, bác sĩ sẽ cấy một trụ titanium vào xương hàm để thay thế chân răng đã mất, sau đó gắn mão sứ lên trên.
Trồng implant giúp khôi phục tối đa chức năng ăn nhai và tính thẩm mỹ. Ngoài ra, phương pháp này còn hạn chế tiêu xương hàm, không xâm lấn các răng kế cận và có tuổi thọ lâu dài khi được chăm sóc đúng cách.
5.2 Cầu răng sứ
Một trong những phương pháp phục hình răng chết tủy hiệu quả hiện nay chính là cầu răng sứ. Phương pháp thực hiện bằng cách mài hai răng thật kế cận làm trụ, sau đó gắn dãy mão sứ để thay thế răng đã nhổ.
Giải pháp này giúp phục hồi khả năng ăn nhai tương đối tốt và cải thiện thẩm mỹ trong thời gian ngắn. Cầu răng sứ phù hợp với những trường hợp răng bên cạnh còn khỏe mạnh và xương hàm chưa tiêu nhiều, tuy nhiên cần cân nhắc vì phải tác động lên răng thật.
5.3 Hàm tháo lắp
Đây là phương pháp phục hình truyền thống, sử dụng khung hàm và răng giả để thay thế răng đã mất. Ưu điểm của hàm tháo lắp là chi phí thấp, thời gian thực hiện nhanh và dễ tháo ra để vệ sinh.
Tuy nhiên, so với 2 phương pháp hiện đại kể trên, hiệu quả ăn nhai và độ ổn định khi sử dụng hàm tháo lắp thường kém hơn so. Vì thế, phương pháp này chỉ phù hợp hơn với người lớn tuổi hoặc trường hợp mất nhiều răng và cần giải pháp tiết kiệm.

Tóm lại, thắc mắc răng chết tủy có nên nhổ không đã được giải đáp chi tiết trong bài viết trên đây. Để đảm bảo chức năng ăn nhai và thẩm mỹ, bạn hãy kiểm tra sớm tình trạng răng miệng của mình và nhận tư vấn trực tiếp từ bác sĩ nếu đang có chiếc răng chết tủy.
Bài viết liên quan:
Nhổ răng chết tủy có đau không? Bao lâu thì hết đau?
