Niềng răng trẻ em đang trở thành xu hướng chăm sóc răng miệng sớm được nhiều bố mẹ quan tâm. Đây là biện pháp giúp chỉnh lại những sai lệch về răng và hàm nhằm đạt độ thẳng đều, khớp cắn đúng chuẩn giúp trẻ tự tin và đảm bảo chức năng nhai về sau.
1. Khi nào nên niềng răng cho trẻ?
Bác sĩ CKI Vũ Văn Yên – chuyên gia Răng Hàm Mặt, cố vấn tại Top Nha Khoa cho biết, bố mẹ nên đưa trẻ đi khám chỉnh nha lần đầu khi trẻ tròn 7 tuổi. Đây là giai đoạn răng sữa và răng vĩnh viễn cùng tồn tại giúp bác sĩ sớm nhận diện những bất thường và lên phác đồ can thiệp hợp lý.
Việc phát hiện sớm giúp quá trình niềng răng ở trẻ em hiệu quả hơn, tránh ảnh hưởng lâu dài đến phát âm, ăn nhai và thẩm mỹ khuôn mặt. Nếu nghi ngờ, phụ huynh nên cho trẻ đi khám ngày từ khi 6–7 tuổi, thời điểm xương hàm đang phát triển mạnh và dễ điều chỉnh.

2. Dấu hiệu trẻ cần niềng răng
Phát hiện sớm các dấu hiệu bất thường sau bố mẹ nên đưa trẻ đi khám chỉnh nha sớm:
- Răng mọc chen chúc, lệch lạc: Khi răng không mọc thẳng hàng, chồng chéo hoặc khít quá mức khiến trẻ khó vệ sinh răng miệng, dễ sâu răng, viêm nướu.
- Sai khớp cắn như:
Cắn hô: Răng hàm trên đưa ra trước quá mức.
Cắn sâu: Răng hàm trên phủ quá nhiều lên răng hàm dưới.
Cắn ngược (móm): Hàm dưới chìa ra trước so với hàm trên.
Cắn chéo, cắn hở: Hai hàm không khớp nhau khi cắn lại. - Răng thưa: Khe hở giữa các răng quá lớn, gây mất thẩm mỹ, khiến trẻ mất tự tin khi cười và nói. Niềng răng thưa cho trẻ em giúp cải thiện điều này.
- Thói quen xấu ảnh hưởng đến cấu trúc hàm mặt: Mút tay, đẩy lưỡi, thở miệng kéo dài có thể làm răng mọc lệch, hàm phát triển sai lệch.
- Yếu tố di truyền: Trẻ có bố mẹ hoặc người thân bị lệch răng, răng hô, móm, cằm lệch… nên được kiểm tra sớm vì nguy cơ cao gặp tình trạng tương tự.

3. Các phương pháp niềng răng cho trẻ em
Tùy theo độ tuổi, tình trạng răng miệng và nhu cầu thẩm mỹ, trẻ sẽ được chỉ định một trong các phương pháp chỉnh nha sau:
Tiền chỉnh nha (đeo hàm tháo lắp)
Đây là bước can thiệp sớm dành cho trẻ từ 6 đến 11 tuổi – thời điểm xương hàm còn mềm và đang phát triển. Mục tiêu là hướng dẫn sự phát triển xương hàm, tạo chỗ cho răng vĩnh viễn mọc đúng vị trí. Cùng với đó hạn chế những sai lệch lớn về sau, có thể rút ngắn hoặc đơn giản hóa giai đoạn niềng răng cố định về sau.
Các khí cụ thường dùng trong tiền chỉnh nha gồm:
- Trainer (khí cụ tiền chỉnh nha mềm)
Chất liệu: Silicone y tế mềm, đàn hồi.
Công dụng: Tạo lực nhẹ lên răng để hướng răng về đúng vị trí. Đồng thời, điều chỉnh các thói quen xấu như đẩy lưỡi, mút tay, thở miệng – nguyên nhân gây lệch răng và sai khớp cắn. Trainer cũng hướng dẫn lưỡi nằm đúng vị trí và hỗ trợ phát âm.
Cách sử dụng: Đeo vào ban đêm hoặc 1–2 tiếng ban ngày (tùy chỉ định bác sĩ).
Ưu điểm: Dễ sử dụng, giá thành thấp, phù hợp cho trẻ nhỏ bắt đầu can thiệp chỉnh nha.

- Twin Block (khí cụ hai hàm tháo lắp)
Cấu tạo: Gồm hai khối hàm lắp vào răng hàm trên và dưới. Khi cắn lại, hai khối này sẽ tạo lực hướng hàm dưới ra trước.
Công dụng: Sử dụng trong các trường hợp sai khớp cắn loại II (hàm trên nhô ra, hàm dưới thụt vào – cắn hô), hỗ trợ thúc đẩy sự phát triển của hàm dưới, đưa khớp cắn về đúng vị trí.
Cách sử dụng: Đeo thường xuyên, đặc biệt khi ngủ. Cần theo dõi định kỳ để điều chỉnh phù hợp với sự phát triển.
Ưu điểm: Hiệu quả cao với các trường hợp lệch hàm sớm, dễ tháo lắp, dễ vệ sinh.

- Hàm nong rộng (khí cụ nong hàm)
Công dụng: Nới rộng cung hàm trên trong các trường hợp hàm hẹp, răng mọc chen chúc, lệch khớp cắn chéo. Song song với đó tạo khoảng trống để răng vĩnh viễn mọc đúng hướng.
Phân loại: Hàm nong cố định (được gắn cố định trên răng hàm); Hàm nong tháo lắp (có thể tháo ra khi ăn hoặc vệ sinh).
Cách sử dụng: Tùy mức độ, bác sĩ sẽ hướng dẫn phụ huynh vặn vít mở rộng khí cụ theo lịch trình cụ thể.
Ưu điểm: Can thiệp kịp thời những bất cân xứng cung hàm, tránh phải nhổ răng sau này.

- Face Mask (khí cụ kéo mặt ngoài)
Chỉ định sử dụng: Áp dụng cho trẻ bị sai khớp cắn loại III (cắn ngược) – tức hàm dưới phát triển quá mức, còn hàm trên kém phát triển.
Cấu tạo: Gồm khung kim loại đặt bên ngoài mặt, có đệm ở trán và cằm. Khung được nối với khí cụ gắn trong miệng (như hàm nong hoặc mắc cài mini) bằng dây thun hoặc thanh kéo đàn hồi.
Công dụng: Tạo lực kéo hàm trên ra trước, hỗ trợ định hướng phát triển xương hàm trên đúng vị trí. Nếu can thiệp đúng thời điểm, có thể ngăn ngừa biến dạng khuôn mặt và tránh phẫu thuật hàm về sau.
Cách sử dụng: Đeo khoảng 12–14 tiếng/ngày, tốt nhất vào buổi tối và khi ngủ. Thời gian điều trị thường từ 6–12 tháng, tùy mức độ lệch và sự hợp tác của trẻ.
Ưu điểm: Hiệu quả cao với sai lệch xương hàm trên nếu điều trị sớm. Có thể kết hợp với hàm nong hoặc mắc cài để tăng hiệu quả chỉnh nha.

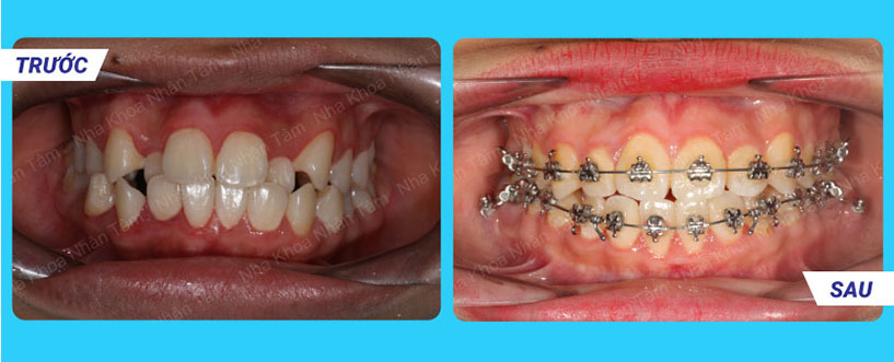
Niềng răng cố định (niềng mắc cài)
Áp dụng khi trẻ đã có nhiều răng vĩnh viễn, thường từ khoảng 10-12 tuổi trở đi:
- Mắc cài kim loại: Phổ biến nhất, có hiệu quả cao trong điều chỉnh răng phức tạp. Tuy nhiên dễ nhận biết nên một số trẻ sẽ thấy ngại khi giao tiếp.
- Mắc cài sứ: Có màu giống răng thật nên tính thẩm mỹ cao hơn. Phù hợp với trẻ lớn đã có ý thức giữ gìn về ngoại hình.
- Thời gian điều trị thường từ 18 – 24 tháng.

Niềng răng trong suốt cho trẻ em (như Invisalign First)
Là phương pháp hiện đại sử dụng khay trong suốt để dịch chuyển răng dần dần. Đặc điểm nổi bật:
- Phù hợp với trẻ em đã có đủ răng vĩnh viễn cần điều chỉnh.
- Dễ tháo lắp khi ăn uống, vệ sinh thuận tiện, không gây khó chịu như mắc cài.
- Tính thẩm mỹ cao, giúp trẻ tự tin khi giao tiếp, không ảnh hưởng đến sinh hoạt thường ngày.
- Giá cao hơn các phương pháp truyền thống.

4. Giá niềng răng cho trẻ em
Dưới đây là bảng giá các phương pháp niềng răng cho trẻ kèm độ tuổi để bạn tham khảo:

Các yếu tố ảnh hưởng đến chi phí niềng răng
- Tình trạng răng miệng: Những người bị bệnh lý răng miệng như viêm nha chu, sâu răng, viêm nướu… cần điều trị trước khi niềng răng nên sẽ tốn nhiều chi phí hơn.
- Phương pháp niềng: Mỗi phương pháp niềng răng sẽ có mức chi trả khác nhau. Phương pháp càng hiện đại thì giá thành càng cao. Hiện tại niềng răng trong suốt có mức chi phí cao hơn nhiều lần so với chỉnh nha truyền thống.
- Thời điểm bắt đầu: Niềng răng cho trẻ từ sớm có thể giảm chi phí do thời gian niềng ngắn hơn.
- Địa chỉ nha khoa: Cơ sở uy tín thường có bác sĩ giỏi, thiết bị đầy đủ và chính sách hỗ trợ trả góp, ưu đãi hấp dẫn nên sẽ tối ưu đáng kể chi phí niềng.
5. Những lưu ý khi niềng răng cho trẻ
- Chuẩn bị tâm lý cho bé trước khi niềng
Phần lớn trẻ sẽ cảm thấy lo lắng hoặc sợ hãi khi đến nha khoa, đặc biệt là khi phải đeo khí cụ trong thời gian dài và tái khám thường xuyên. Do đó, ba mẹ nên nhẹ nhàng giải thích cho con hiểu lý do vì sao cần niềng răng, lợi ích sau khi hoàn thành và giúp con làm quen dần với nha sĩ. - Chăm sóc răng miệng đúng cách trong quá trình niềng
Vệ sinh răng miệng khi niềng là yếu tố cực kỳ quan trọng giúp tránh viêm nướu, sâu răng hay hôi miệng. Ba mẹ nên hướng dẫn trẻ:
- Dùng bàn chải kẽ, bàn chải lông mềm để làm sạch răng.
- Sử dụng chỉ nha khoa hoặc máy tăm nước để loại bỏ thức ăn thừa kẹt trong khe răng.
- Dùng nước súc miệng chuyên dụng để sát khuẩn, giảm nguy cơ viêm nhiễm.
Chăm sóc đúng cách không chỉ bảo vệ răng thật mà còn giúp rút ngắn thời gian điều trị và mang lại hiệu quả chỉnh nha tốt nhất.
- Điều chỉnh chế độ ăn uống phù hợp
Trẻ khi niềng răng nên ăn các thực phẩm mềm, dễ nhai như súp, cháo, rau củ luộc, trái cây cắt nhỏ. Hạn chế thức ăn cứng (kẹo, đá viên), dai (kẹo kéo, bánh dẻo) và dính (kẹo cao su, caramel) vì có thể làm bung mắc cài hoặc gây đau nhức. Ngoài ra, nên tránh thức ăn quá ngọt để hạn chế sâu răng khi đeo khí cụ. - Tuân thủ lịch tái khám định kỳ
Ba mẹ cần đưa trẻ đến nha khoa đúng lịch hẹn (thường từ 3–6 tuần/lần) để bác sĩ điều chỉnh lực kéo, kiểm tra tình trạng răng và xử lý kịp thời nếu có vấn đề phát sinh. Việc bỏ qua các buổi tái khám có thể làm chậm quá trình niềng, tăng nguy cơ sai lệch hoặc đau nhức kéo dài.

6. Câu hỏi thường gặp về niềng răng trẻ em
- Niềng răng cho trẻ em có đau không?
Cảm giác đau nhức khi niềng là khó tránh khỏi khi các khí cụ đang làm tốt chức năng của mình. Điều này cũng cho thấy quá trình niềng đang phát huy tác dụng hiệu quả. Cơn đau thường xuất hiện trong thời gian đầu sau khi đeo mắc cài hoặc mỗi lần nha sĩ tăng lực siết nhưng sẽ nhanh giảm và biến mất sau vài ngày. Cha mẹ không cần quá lo lắng mà cố gắng động viên, khích lệ trẻ quên đi cảm giác khó chịu này.
- Thời gian niềng răng mất bao lâu?
Thời gian niềng răng ở trẻ em thường kéo dài từ 12 đến 24 tháng, tùy vào mức độ lệch lạc của răng và sự hợp tác trong quá trình điều trị. Nếu răng sai lệch nhẹ, quá trình chỉnh nha có thể hoàn thành nhanh hơn. Ngược lại, những trường hợp răng mọc lệch nặng, chen chúc hoặc có sai khớp cắn phức tạp, thời gian sẽ kéo dài hơn. Bên cạnh đó, việc tái khám đúng hẹn, chăm sóc răng miệng tốt và tuân thủ hướng dẫn từ bác sĩ giúp rút ngắn thời gian điều trị và mang lại kết quả tối ưu.
- Có nên niềng răng sớm cho trẻ không?
Việc can thiệp chỉnh nha sớm cho trẻ không chỉ giúp định hướng răng mọc đúng vị trí mà còn hạn chế được những sai lệch nặng nề về sau. Trong giai đoạn răng đang phát triển và xương hàm còn mềm, bác sĩ có thể dễ dàng điều chỉnh cấu trúc hàm và răng mà không cần can thiệp phức tạp. Ngoài ra, niềng răng sớm còn giúp trẻ cải thiện phát âm, tăng thẩm mỹ và sự tự tin trong giao tiếp. Đặc biệt, nếu phát hiện và xử lý sớm các thói quen xấu như đẩy lưỡi, mút tay hay thở miệng, phụ huynh sẽ giảm được nguy cơ trẻ gặp các vấn đề về khớp cắn và phải điều trị lâu dài khi lớn lên.
Việc niềng răng trẻ em không chỉ giúp cải thiện thẩm mỹ mà còn bảo vệ sức khỏe răng miệng trong dài hạn. Bố mẹ nên lựa chọn đúng thời điểm, phương pháp và nha khoa uy tín để đạt kết quả tối ưu và giúp trẻ có được nụ cười khỏe đẹp lâu dài.
Bài viết liên quan:
Thời gian và độ tuổi phù hợp để niềng răng trong suốt trẻ em

