Niềng răng hô là giải pháp được nha sĩ chỉ định để khắc phục tình trạng răng hô gây sai lệch khớp cắn. Phương pháp này sẽ phục hồi chức năng nhai của răng, cải thiện thẩm mỹ, mang đến nụ cười tự nhiên cho người bệnh.
Nguyên nhân và tác hại của răng hô
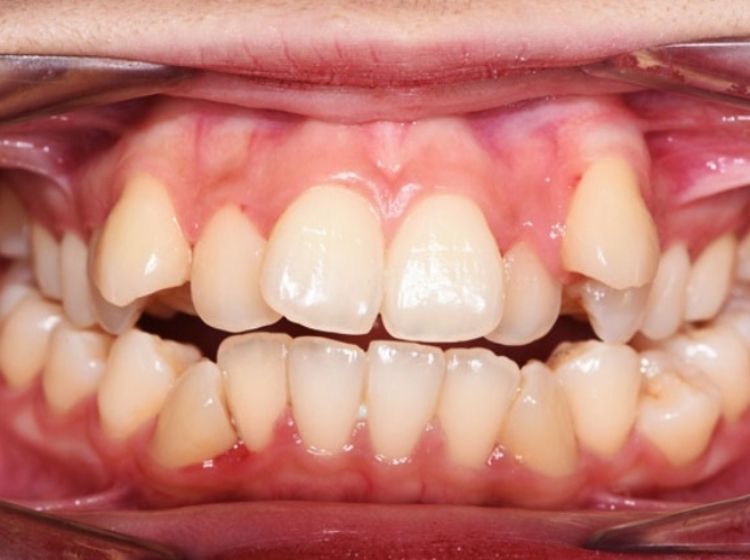
Răng hô là tình trạng sai khớp cắn phổ biến, ảnh hưởng đến chức năng ăn nhai và thẩm mỹ khuôn mặt.
Nguyên nhân gây răng hô
Răng hô có thể xuất phát từ nhiều nguyên nhân khác nhau, bao gồm cả di truyền, thói quen sinh hoạt và yếu tố khách quan khác:
Di truyền
Đa phần răng hô là do di truyền từ thành viên trong gia đình. Gen di truyền có thể ảnh hưởng đến kích thước, hình dạng xương hàm và vị trí mọc của răng. Vì thế, ba hoặc mẹ bị hô sẽ gia tăng khả năng con cái bị hô.
Thói quen xấu
Những thói quen tưởng chừng vô hại ở trẻ nhỏ lại ảnh hưởng lớn đến sự phát triển của răng và xương hàm về sau.
- Mút tay trong thời gian dài và thường xuyên sẽ đẩy răng cửa hàm trên ra phía trước, làm răng bị hô.
- Đẩy lưỡi vào mặt trong của răng hàm trên khi nuốt hoặc nghỉ ngơi nhiều lần sẽ làm răng chìa ra ngoài.
- Thở bằng miệng thường xuyên làm thay đổi sự phát triển của xương hàm và dẫn đến răng hô.
Cấu trúc xương hàm phát triển bất thường
Sự mất cân đối trong quá trình phát triển của xương hàm trên và xương hàm dưới cũng là một nguyên nhân quan trọng. Trường hợp, xương hàm trên phát triển quá mức hoặc xương hàm dưới kém phát triển đều có thể dẫn đến tình trạng hô.
Răng mọc lệch hoặc mất răng sớm
Mất răng sữa hoặc răng vĩnh viễn không được phục hình kịp thời có thể làm các răng còn lại dịch chuyển, lấp đầy khoảng trống, dẫn đến sai khớp cắn và gây hô. Ngoài ra, răng mọc chen chúc, sai vị trí cũng góp phần làm răng bị chìa ra ngoài.

Các loại răng hô
Dựa vào nguyên nhân gây hô, có thể chia răng hô thành 3 loại cơ bản:
- Hô do răng: Đây là trường hợp xương hàm có kích thước và vị trí bình thường nhưng răng lại chìa ra phía trước rõ rệt.
- Hô do xương hàm: Sự mất cân đối trong cấu trúc khiến xương hàm trên phát triển quá mức so với hàm dưới hoặc xương hàm dưới kém phát triển tạo cảm giác hàm trên bị hô ra.
- Hô do cả răng và xương hàm: Xương hàm phát triển quá mức và răng mọc chìa ra ngoài khiến răng hô nặng, gây mất thẩm mỹ nghiêm trọng.
Tác hại của răng hô
Răng hô ảnh hưởng đến tinh thần, sức khỏe và chất lượng cuộc sống của người bệnh như sau:
- Ảnh hưởng đến nét đẹp của khuôn mặt: Răng hô khiến khuôn mặt không hài hòa do cấu trúc xương hàm khác biệt. Vì thế, người bị hô thường ngại cười và tự ti khi giao tiếp. Hàm trên nhô ra, môi khó khép kín khiến gương mặt không cân đối.
- Gây khó khăn trong ăn nhai: Khớp cắn không chuẩn làm giảm hiệu quả nhai thức ăn, gây áp lực lên hệ tiêu hóa và dẫn đến các vấn đề về tiêu hóa.
- Phát âm không rõ ràng: Khoảng cách giữa hai hàm răng và vị trí lưỡi không chuẩn khi nói khiến phát âm bị ngọng, khó nghe, đặc biệt là các âm gió.
- Tăng nguy cơ viêm nha chu, sâu răng do vệ sinh khó khăn: Răng hô thường tạo ra các khe hở, ngóc ngách khó tiếp cận khi vệ sinh răng miệng. Điều này làm thức ăn dễ bị mắc kẹt, tạo điều kiện cho vi khuẩn phát triển, tăng nguy cơ mắc các bệnh như viêm nha chu, sâu răng.
- Gây mỏi hàm, đau khớp thái dương ở hàm: Khớp cắn sai lệch do răng hô có thể gây áp lực lên khớp thái dương hàm (khớp nối giữa hàm dưới và xương sọ), dẫn đến đau khớp, khó khăn khi há miệng, tiếng kêu lục cục khi nhai và cảm giác mỏi hàm liên tục.
Các phương pháp niềng răng hô
Để khắc phục tình trạng răng hô, có thể lựa chọn một trong những phương pháp niềng răng dưới đây:
Niềng răng mắc cài kim loại
Niềng răng mắc cài kim loại là giải pháp khắc phục hô hàm răng hiệu quả, được nhiều người lựa chọn. Khi niềng răng bằng cách này, bác sĩ sẽ sử dụng dây cung định hình kết hợp với mắc cài được làm từ titanium hoặc hợp kim. Nếu người bệnh không có nhiều chi phí niềng răng hô thì nên tham khảo phương pháp này.

Tương tự mắc cài kim loại, niềng răng mắc cài sứ cũng kết hợp dây cung định hình với mắc cài để chỉnh răng về vị trí phù hợp. Tuy nhiên, mắc cài dùng trong trường hợp này được làm bằng sứ nên có tính thẩm mỹ cao hơn.

Niềng răng trong suốt
Niềng răng trong suốt là phương pháp được nhiều người lựa chọn trong những năm gần đây, nhất là những người hô hàm nhẹ. Trong quá trình niềng răng trong suốt, người bệnh sẽ dùng khoảng 25 – 40 khay hoặc hơn tùy vào từng trường hợp.

Phẫu thuật hàm kết hợp niềng răng hô
Niềng răng kết hợp phẫu thuật hàm là phương án được nha sĩ đưa ra khi người bệnh hô nặng và không thể khắc phục bằng cách niềng thông thường. Quá trình điều trị sẽ tốn nhiều thời gian, chi phí hơn các trường hợp trên.

So sánh các phương pháp niềng răng hô phổ biến nhất
Mỗi phương pháp đều có ưu và nhược điểm riêng. Việc lựa chọn phụ thuộc vào ngân sách và nhu cầu thẩm mỹ của bạn.
| Tiêu chí | Mắc cài kim loại | Mắc cài sứ thẩm mỹ | Niềng răng Invisalign |
| Hiệu quả kéo hô | Rất mạnh, ổn định | Khá cao | Cao (với ca trung bình) |
| Thẩm mỹ | Thấp (lộ mắc cài) | Cao (màu gần giống răng) | Vô hình (gần như không lộ) |
| Sự thoải mái | Dễ gây trầy xước môi | Khá êm ái | Rất thoải mái, tháo lắp được |
| Chi phí | 25 – 40 Triệu | 40 – 55 Triệu | 60 – 120 Triệu |
Quy trình niềng răng hô
Một ca niềng răng thành công phải trải qua quy trình nghiêm ngặt để đảm bảo răng dịch chuyển an toàn, không làm hỏng chân răng.
- Giai đoạn 1: Khám và Lập phác đồ (Tuần 1-2): Chụp phim X-quang, lấy dấu răng và xem mô phỏng kết quả.
- Giai đoạn 2: Điều trị nền (Tuần 3-4): Trám răng sâu, lấy cao răng, nhổ răng (nếu có).
- Giai đoạn 3: Dàn đều răng (Tháng 1 – Tháng 6): Răng bắt đầu di chuyển vào hàng lối, lúc này bạn sẽ thấy răng hơi chìa thêm một chút hoặc có kẽ thưa.
- Giai đoạn 4: Đóng khoảng (Tháng 7 – Tháng 18): Đây là giai đoạn quan trọng nhất. Bác sĩ dùng các khí cụ như Minivis, thun liên hàm để kéo toàn bộ khối răng cửa lùi về phía sau.
- Giai đoạn 5: Hoàn thiện và Duy trì (Tháng 19 – Tháng 24): Căn chỉnh khớp cắn lần cuối, tháo niềng và đeo hàm duy trì.

Những lưu ý “sống còn” để niềng răng hô không bị tái phát
Nhiều người sau khi tháo niềng một thời gian răng lại bị hô trở lại. Lý do chính là do không tuân thủ việc đeo hàm duy trì.
- Hàm duy trì: Răng sau khi niềng vẫn còn “nhạy cảm”, xương hàm chưa kịp cứng lại để giữ răng ở vị trí mới. Bạn cần đeo hàm duy trì ít nhất 20h/ngày trong 6 tháng đầu.
- Chế độ ăn uống: Tránh cắn đồ cứng bằng răng cửa (như gặm chân gà, bắp ngô) vì áp lực mạnh có thể làm răng bị đẩy ngược ra ngoài.
- Vệ sinh: Sử dụng máy tăm nước và bàn chải kẽ là bắt buộc để tránh tình trạng viêm lợi gây tụt nướu trong khi niềng.

Các câu hỏi thường gặp về niềng răng hô
30 tuổi còn niềng răng hô được không?
Hoàn toàn được. Tuy nhiên, thời gian có thể lâu hơn một chút do xương hàm đã cứng ổn định. Kết quả thẩm mỹ vẫn đạt tới 90-95% so với tuổi trẻ.
Niềng răng hô xong môi có mỏng lại không?
Niềng răng không làm môi mỏng đi, nhưng do răng được kéo lùi vào nên môi sẽ không bị đẩy ra ngoài, tạo cảm giác khuôn miệng gọn gàng và cánh mũi trông có vẻ cao hơn.
Tại sao có người niềng răng xong vẫn bị hô?
Có thể do bác sĩ chẩn đoán sai (hô do xương nhưng chỉ niềng răng) hoặc do bệnh nhân không đeo hàm duy trì sau niềng.
Niềng răng hô là hành trình cần sự kiên trì và hợp tác giữa người niềng và nha sĩ. Bằng cách hiểu rõ quy trình và tuân thủ các lưu ý trên, người bệnh sẽ sớm sở hữu một hàm răng đẹp và nụ cười tự tin như mong muốn.
