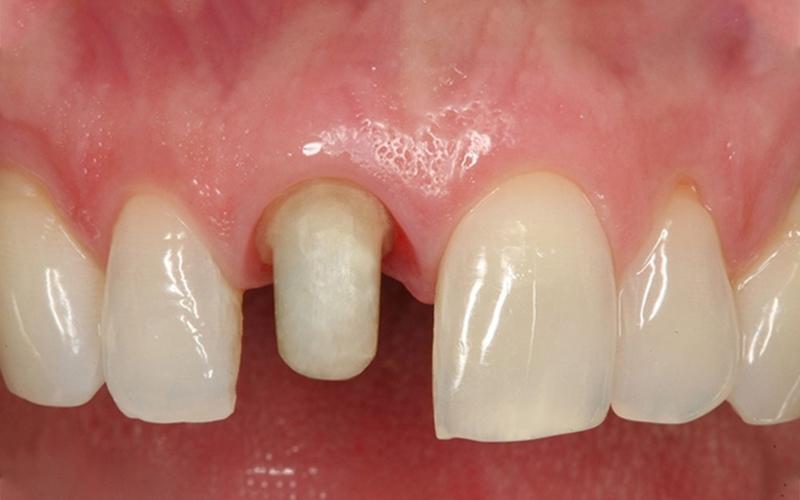
Mài răng bọc sứ có ảnh hưởng gì không là băn khoăn thường gặp trước khi làm răng sứ. Thực tế, mài răng là bước bắt buộc để mão sứ ôm sát và đảm bảo ăn nhai. Khi được chỉ định đúng và mài trong giới hạn sinh học an toàn, phương pháp này không gây nguy hiểm và còn giúp bảo vệ răng thật lâu dài.
1. Mài răng bọc sứ có ảnh hưởng gì không?
Ths.Bs Hoàng Quỳnh Trang – chuyên gia Răng Hàm Mặt, cố vấn tại Top Nha Khoa cho biết, mài răng bọc sứ có thể gây ê buốt hoặc ảnh hưởng tủy răng khi bác sĩ mài sai kỹ thuật hoặc mài quá sâu. Ngược lại, khi mài đúng chỉ định, đúng giới hạn sinh học (dưới 2mm) và được thực hiện bởi bác sĩ chuyên môn cao, răng thật không bị yếu đi, vẫn đảm bảo ăn nhai và còn được mão sứ bảo vệ tốt hơn về lâu dài.

2. Những ảnh hưởng có thể xảy ra khi mài răng bọc sứ
Khi mài răng bọc sứ tại cơ sở không uy tín hoặc quy trình kỹ thuật không đạt chuẩn, người bệnh có thể gặp một số ảnh hưởng sau:
2.1 Ê buốt tạm thời sau khi mài răng
Sau khi mài, lớp men răng mỏng hơn khiến các ống ngà nhạy cảm hơn. Điều này có thể gây ê buốt nhẹ trong vài ngày đầu, đặc biệt khi ăn đồ nóng hoặc lạnh. Đây là phản ứng sinh lý thường gặp và sẽ giảm dần khi răng được che phủ bằng răng tạm hoặc mão sứ chuẩn khít.
2.2 Răng nhạy cảm hơn với nóng lạnh
Khác với ê buốt sinh lý ngắn hạn, răng nhạy cảm nóng lạnh thường xảy ra khi mài răng quá sâu hoặc sai kỹ thuật làm lộ ngà răng. Nếu không được bảo vệ kịp thời, tình trạng này gây khó chịu khi ăn uống hàng ngày.
2.3 Nguy cơ ảnh hưởng đến tủy răng
Ảnh hưởng tủy chỉ xảy ra khi mài răng vượt giới hạn an toàn, xâm lấn gần buồng tủy hoặc răng đã có bệnh lý tiềm ẩn chưa được phát hiện. Với quy trình thăm khám đầy đủ và mài đúng giới hạn sinh học, nguy cơ tổn thương tủy là rất thấp.
2.4 Cảm giác cộm khi ăn nhai
Một số trường hợp cảm thấy cộm hoặc chưa quen khi ăn nhai sau mài răng. Nguyên nhân thường do khớp cắn chưa thích nghi hoàn toàn, không phải do mài răng làm hỏng cấu trúc răng thật. Cảm giác này sẽ giảm dần sau khi được điều chỉnh.
3. Trường hợp nào mài răng bọc sứ dễ gây tác hại?
Mài răng bọc sứ dễ gây ảnh hưởng khi rơi vào các trường hợp sau:
- Răng có bệnh lý tiềm ẩn chưa điều trị: sâu răng, viêm tủy nhẹ, nha chu, tụt nướu. Việc mài răng lúc này làm tăng nguy cơ đau nhức và biến chứng.
- Mài vượt giới hạn sinh học: mài quá sâu khiến ngà răng lộ nhiều, tủy dễ bị kích thích hoặc tổn thương.
- Không kiểm soát nhiệt khi mài: nhiệt sinh ra trong quá trình mài nếu không được làm mát đúng cách có thể gây tổn thương mô tủy.
- Bác sĩ thiếu kinh nghiệm hoặc quy trình không chuẩn: đánh giá sai khớp cắn, mài không đều, thiếu công nghệ hỗ trợ làm tăng nguy cơ ê buốt kéo dài.

4. Mài răng bọc sứ có làm yếu răng thật về lâu dài không?
Theo chia sẻ từ bác sĩ Hoàng Quỳnh Trang, mài răng bọc sứ không làm răng yếu đi về lâu dài khi được thực hiện đúng tỷ lệ và mão sứ được thiết kế chuẩn khớp cắn. Ngược lại, răng thật còn được bảo vệ tốt hơn khỏi lực nhai mạnh và tác động của vi khuẩn.
Khi mài đúng kỹ thuật:
- Răng thật vẫn giữ được cấu trúc nâng đỡ chính
- Mão sứ hoạt động như “lớp áo giáp”, bảo vệ răng khỏi lực nhai và vi khuẩn
- Chức năng ăn nhai và độ bền răng được duy trì ổn định nhiều năm
Răng chỉ yếu đi khi:
- Mài quá sâu, xâm lấn gần hoặc vào buồng tủy
- Mão sứ không sát khít gây hở và viêm nhiễm
- Khớp cắn sai làm lực nhai dồn bất thường lên răng
5. Làm sao để mài răng bọc sứ an toàn, hạn chế tối đa ảnh hưởng?
Để mài răng bọc sứ an toàn, cần tuân thủ quy trình chuẩn y khoa:
- Khám và chẩn đoán kỹ trước khi mài: chụp X-quang, đánh giá độ dày men, tình trạng tủy và khớp cắn.
- Mài răng bảo tồn mô răng tối đa: chỉ mài phần cần thiết để mão sứ ôm sát.
- Kiểm soát nhiệt và lực mài: sử dụng hệ thống làm mát, thao tác chuẩn xác.
- Răng tạm và mão sứ chuẩn khít: răng tạm giúp giảm ê buốt, mão sứ chính xác giúp bảo vệ răng lâu dài.
- Tay nghề bác sĩ: yếu tố quyết định trực tiếp đến độ an toàn và tuổi thọ răng sứ.

6. Lời khuyên bác sĩ khi nào nên và không nên mài răng bọc sứ
Bác sĩ Hoàng Quỳnh Trang chỉ định mài răng bọc sứ khi răng cần phục hình thẩm mỹ hoặc chức năng và cấu trúc răng còn đủ khỏe. Trường hợp răng yếu, viêm tủy hoặc có thể bảo tồn bằng phương pháp khác, mài răng không phải lựa chọn ưu tiên.
Nên mài răng bọc sứ khi:
- Răng vỡ lớn, mòn nhiều
- Răng đổi màu nặng không thể tẩy trắng
- Răng đã điều trị tủy cần phục hồi
- Răng sai hình thể ảnh hưởng ăn nhai
Không nên mài răng bọc sứ khi:
- Răng còn khỏe, chỉ lệch nhẹ
Có thể cải thiện bằng niềng răng, veneer, trám thẩm mỹ - Chỉ bọc sứ theo xu hướng, không có chỉ định y khoa
Mài răng bọc sứ có ảnh hưởng gì không phụ thuộc gần như hoàn toàn vào chẩn đoán, kỹ thuật và tay nghề bác sĩ. Khi được thực hiện đúng chuẩn y khoa, đây là giải pháp phục hình an toàn, hiệu quả và bền vững, không gây hại răng thật mà còn cải thiện rõ rệt thẩm mỹ và chức năng ăn nhai lâu dài.

Thạc sĩ - Bác sĩ Hoàng Quỳnh Trang
