Lỗ sau khi nhổ răng khôn có bình thường không? Giải đáp ngay

Sau khi nhổ răng khôn, việc xuất hiện một lỗ tại vị trí răng vừa nhổ là hoàn toàn bình thường. Đây là ổ răng đang trong quá trình lành thương nên chưa thể đầy lại ngay. Điều bạn cần quan tâm không phải chỉ là “có lỗ hay không”, mà là lỗ đó có đang thu nhỏ dần, đau giảm và không có mùi hôi hay dấu hiệu viêm hay không. Nếu đau tăng sau vài ngày hoặc nghi lộ xương, bạn nên đi khám sớm để kiểm tra ổ răng.

1. Sau khi nhổ răng khôn có lỗ là bình thường không?

Bác sĩ Trần Thanh Tùng – chuyên gia Răng Hàm Mặt, cố vấn tại Top Nha Khoa cho biết, việc xuất hiện lỗ hổng (huyệt ổ răng) sau khi nhổ răng khôn là hoàn toàn bình thường. Đây là khoảng trống tự nhiên do chân răng được lấy ra khỏi xương hàm. Lỗ này thường sẽ tự lấp đầy mô nướu và xương sau 1-3 tháng tùy cơ địa và kích thước răng.

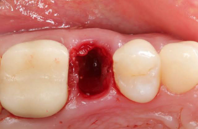
Việc xuất hiện lỗ hổng sau nhổ răng là hoàn toàn bình thường
Việc xuất hiện lỗ hổng sau nhổ răng là hoàn toàn bình thường

2. Lỗ hổng sau khi nhổ răng khôn bao lâu thì đầy lại?

Lỗ hổng sau khi nhổ răng khôn thường mất 1-3 tháng để mô mềm và xương lấp đầy và trong một số trường hợp có thể kéo dài tới 6 tháng. Tuy nhiên, quá trình này không diễn ra đồng thời mà chia thành nhiều giai đoạn khác nhau.

2.1 Vì sao lỗ sau nhổ răng không đầy ngay?

Sau khi nhổ răng, cơ thể không thể “lấp đầy” khoảng trống ngay lập tức như một vết thương ngoài da. Thay vào đó, ổ răng sẽ trải qua các bước lành thương sinh học tự nhiên:

  • Giai đoạn đầu: Hình thành cục máu đông để bảo vệ ổ răng
  • Giai đoạn tiếp theo: Mô mềm (nướu) bắt đầu phát triển bao phủ bề mặt
  • Giai đoạn cuối: Xương hàm bên dưới tái tạo và lấp đầy dần khoảng trống

Chính vì vậy, bạn vẫn có thể thấy lỗ hổng sau khi nhổ răng khôn trong một thời gian, dù bên trong đang hồi phục tốt. Đây là hiện tượng hoàn toàn bình thường.

2.2 Khi nào lỗ bắt đầu nhỏ dần?

Quá trình thu nhỏ lỗ sau nhổ răng diễn ra theo từng mốc thời gian khá rõ:

  • 1 – 2 tuần đầu: Nướu bắt đầu phát triển và se lại, giúp thu nhỏ miệng lỗ
  • Sau 2-4 tuần: Lỗ không còn sâu rõ như ban đầu, cảm giác vướng giảm dần
  • Từ 1 – 3 tháng: Mô bên trong tiếp tục lấp đầy, lỗ gần như biến mất
  • 3 – 6 tháng: Xương ổ răng tái tạo hoàn toàn (đặc biệt ở ca nhổ khó)

Lưu ý: Nếu bạn thấy lỗ vẫn còn nhưng không đau, không hôi, không sưng, thì đó vẫn có thể là tiến trình lành bình thường.

3. Lỗ sau khi nhổ răng khôn như thế nào là bình thường?

Không phải cứ còn lỗ là bất thường. Trên thực tế, nhiều trường hợp lỗ vẫn còn nhìn thấy khá rõ nhưng ổ răng vẫn đang lành đúng tiến trình. Điều cần đánh giá không chỉ là độ sâu của lỗ, mà là màu sắc mô bên trong, mức độ đau, mùi trong miệng và sự thay đổi của ổ răng theo thời gian.

Có lỗ sâu nhẹ trong những ngày đầu: Đây là tình trạng bình thường, đặc biệt nếu nhổ răng khôn hàm dưới hoặc răng có chân lớn. Bên trong lỗ có thể thấy màu đỏ sẫm của cục máu đông hoặc màu trắng vàng nhạt của mô hạt đang lành thương.

Mô nướu dần khép miệng lỗ theo thời gian: Dấu hiệu tích cực nhất là phần nướu xung quanh ổ nhổ bắt đầu khép dần vào giữa. Bạn có thể không thấy khác biệt mỗi ngày, nhưng nếu theo dõi theo tuần, lỗ sẽ nhỏ và nông dần.

Có thể còn hơi vướng thức ăn nhưng không đau tăng rõ: Trong giai đoạn đầu, một ít thức ăn mềm mắc gần ổ răng là điều có thể gặp. Nếu không kèm đau tăng, hôi miệng rõ hoặc sưng thêm thì đây chưa phải dấu hiệu nguy hiểm.

Ổ răng sau nhổ răng khôn vẫn còn lỗ hở nhẹ là bình thường
Ổ răng sau nhổ răng khôn vẫn còn lỗ hở nhẹ là bình thường

4. Khi nào lỗ hổng sau khi nhổ răng là dấu hiệu bất thường?

Có lỗ là bình thường, nhưng nếu đi kèm đau tăng, mùi hôi kéo dài hoặc cảm giác đau nhói sâu trong ổ răng, đây có thể là dấu hiệu viêm ổ răng khô hoặc nhiễm trùng sau nhổ. Những biểu hiện này cần được theo dõi kỹ vì không còn thuộc diễn tiến hồi phục thông thường.

Đau tăng dần sau 2-5 ngày: Thông thường, đau sau nhổ răng sẽ giảm dần. Nếu sau vài ngày mà cơn đau tăng lên, đau sâu trong ổ răng và thuốc giảm đau chỉ đỡ ít, bạn nên đi kiểm tra sớm.

Mùi hôi hoặc vị khó chịu trong miệng: Đây có thể là dấu hiệu thức ăn đọng lâu ngày, viêm ổ răng hoặc nhiễm trùng tại vị trí nhổ.

Nghi lộ xương, đau nhói hoặc đau lan tai: Đây là nhóm triệu chứng khá điển hình của viêm ổ răng khô, thường khiến người bệnh đau nhức nhiều, khó chịu kéo dài và cảm thấy ổ răng “trống” bất thường.

Sưng nhiều hơn, sốt hoặc chảy dịch: Nếu sau vài ngày vùng má sưng to hơn, sốt, khó há miệng hoặc có dịch bất thường chảy ra từ ổ nhổ, bạn không nên tự theo dõi quá lâu.

Xem thêm: Dấu hiệu nhiễm trùng sau khi nhổ răng: Nhận biết và cách xử lý

5. Cách chăm sóc lỗ sau khi nhổ răng khôn để mau lành

Chăm sóc đúng sau nhổ răng khôn giúp ổ răng lành nhanh hơn, giảm nguy cơ viêm ổ răng khô và hạn chế tình trạng thức ăn mắc sâu vào huyệt ổ răng. Điều quan trọng là giữ vệ sinh tốt nhưng không tác động mạnh vào vùng đang hồi phục.

Không dùng lưỡi, tay hoặc tăm chọc vào lỗ: Đây là sai lầm rất phổ biến vì có thể làm bong cục máu đông và khiến ổ răng chậm lành hơn.

Ăn mềm, nhai bên đối diện: Trong vài ngày đầu, bạn nên ưu tiên cháo, súp, cơm mềm và tránh nhai trực tiếp bên vừa nhổ răng để giảm kích thích lên ổ răng.

Súc miệng đúng thời điểm và nhẹ nhàng theo hướng dẫn bác sĩ: Không nên súc quá mạnh hoặc khạc nhổ liên tục vì có thể ảnh hưởng đến quá trình lành thương.

Giữ sạch vùng miệng nhưng không làm bong cục máu đông: Bạn vẫn cần chải răng đều, nhưng nên thao tác nhẹ nhàng ở vùng gần ổ nhổ.

Không nên dùng tăm chọc vào lỗ sau nhổ răng khôn
Không nên dùng tăm chọc vào lỗ sau nhổ răng khôn

Xem thêm: Hướng dẫn vệ sinh răng miệng sau khi nhổ răng khôn đúng cách

6. Nếu thức ăn mắc vào lỗ sau khi nhổ răng thì phải làm sao?

Đây là tình huống rất thường gặp, nhất là khi lỗ còn sâu.

6.1 Khi nào chưa cần quá lo

Nếu chỉ là ít thức ăn mềm mắc nhẹ, không đau tăng, không sưng, không hôi rõ thì bạn chưa cần hoảng. Nhiều trường hợp mô nướu sẽ tiếp tục khép dần và phần vụn nhỏ có thể tự bong ra khi vệ sinh đúng cách.

6.2 Khi nào chỉ cần súc nhẹ và theo dõi

Nếu thấy hơi vướng sau ăn, bạn có thể súc miệng nhẹ theo hướng dẫn của bác sĩ. Không nên cố moi ra bằng tăm hay vật cứng. Sau đó theo dõi thêm xem cảm giác vướng có giảm hay không.

6.3 Khi nào nên quay lại nha khoa để được làm sạch an toàn

Nếu thức ăn mắc sâu, bạn thấy hôi miệng hơn, đau tăng, khó chịu kéo dài hoặc không biết xử lý thế nào cho an toàn, hãy quay lại nha khoa. Bác sĩ sẽ làm sạch đúng cách mà không gây tổn thương ổ răng.

7. Khi nào cần đi khám lại sau nhổ răng khôn?

Không phải trường hợp nào cũng cần tái khám gấp, nhưng có một số dấu hiệu bạn không nên bỏ qua.

  • Đau không giảm mà tăng dần: Cơn đau kéo dài, dữ dội hơn theo ngày là lý do phổ biến nhất để cần kiểm tra ổ răng.
  • Hôi miệng rõ, nghi viêm ổ răng khô: Nếu đi kèm mùi hôi, vị khó chịu và đau sâu trong ổ răng, khả năng viêm ổ răng khô cần được loại trừ sớm.
  • Sưng đau kéo dài, sốt hoặc khó há miệng: Đây là dấu hiệu có thể liên quan đến nhiễm trùng vùng nhổ răng.
  • Lỗ không cải thiện và luôn kèm khó chịu bất thường: Nếu lỗ không nhỏ dần theo thời gian và luôn khiến bạn vướng, đau hoặc lo lắng vì cảm giác bất thường kéo dài, nên để bác sĩ kiểm tra trực tiếp thay vì tự suy đoán.

Sau khi nhổ răng khôn, có lỗ tại vị trí nhổ là hiện tượng bình thường. Điều quan trọng không nằm ở việc còn lỗ hay không, mà nằm ở việc ổ răng có đang lành đúng tiến trình hay không. Nếu lỗ thu nhỏ dần, đau giảm, không hôi và không có dấu hiệu viêm, bạn chỉ cần tiếp tục chăm sóc đúng cách và theo dõi thêm. Ngược lại, nếu đau tăng sau vài ngày, có mùi hôi, nghi lộ xương hoặc sưng sốt kéo dài, bạn nên đi khám sớm để bác sĩ kiểm tra và xử lý kịp thời.

Bác sĩ Trần Thanh Tùng
Tham vấn y khoa:

Bác sĩ Trần Thanh Tùng

Bác sĩ Trần Thanh Tùng có hơn 11 năm kinh nghiệm, trực tiếp điều trị thành công hơn 7000 ca bao gồm cả bệnh lý răng miệng đến Implant, chỉnh nha, nhổ răng.
Bác sĩ Trần Thanh Tùng
Bác sĩ Trần Thanh Tùng Nha Khoa Quốc tế Việt Pháp
Gọi ngay 0912 011 683