Hình ảnh viêm nha chu phản ánh rõ những thay đổi bất thường của nướu và mô nâng đỡ răng trong quá trình bệnh tiến triển. Thông qua việc quan sát và nhận biết các dấu hiệu của bệnh từ hình ảnh giúp bạn chủ động thăm khám nha khoa, can thiệp kịp thời và hạn chế nguy cơ tiêu xương, lung lay răng hay mất răng. Tham khảo ngay các hình ảnh chi tiết qua bài viết của Top Nha Khoa.
1. Phân biệt viêm nướu và viêm nha chu qua hình ảnh
Viêm nướu là giai đoạn sớm của bệnh nha chu, chủ yếu ảnh hưởng đến mô nướu xung quanh răng. Qua hình ảnh, viêm nướu có biểu hiện đặc trưng như nướu đỏ tươi, hơi sưng, bề mặt mềm và dễ chảy máu khi đánh răng hoặc chạm nhẹ, cấu trúc nâng đỡ răng như xương và dây chằng vẫn chưa bị tổn thương.
Khi viêm nướu không được điều trị kịp thời, bệnh có thể tiến triển thành viêm nha chu. Ở giai đoạn này, hình ảnh nhận biết là nướu tụt rõ rệt, chân răng lộ ra, khe hở giữa các răng tăng lên và có thể xuất hiện túi nha chu chứa dịch viêm hoặc mủ. Đồng thời, mô nâng đỡ và xương ổ răng bắt đầu bị phá hủy, làm răng yếu và dễ lung lay.

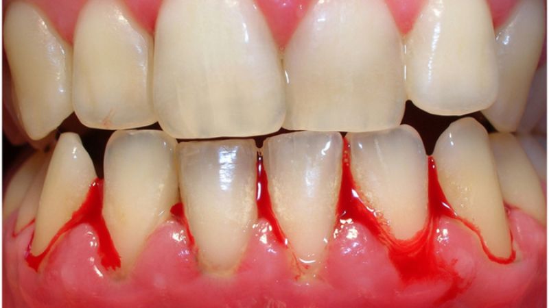
2. Hình ảnh viêm nha chu nhẹ
Hình ảnh viêm nha chu nhẹ thường cho thấy tổn thương còn khu trú ở mô nướu, chưa phá hủy nhiều đến xương ổ răng. Ở giai đoạn nhẹ, các dấu hiệu dễ nhận biết nhưng lại hay bị bỏ qua vì chưa gây đau rõ rệt.
- Nướu răng sưng nhẹ, đỏ hơn bình thường, ranh giới nướu, răng kém sắc nét.
- Chảy máu khi chải răng hoặc dùng chỉ nha khoa, dù lực tác động không mạnh.
- Mảng bám và cao răng xuất hiện quanh cổ răng, đặc biệt ở mặt trong răng cửa và răng hàm.
- Nướu chưa tụt rõ, chân răng vẫn được che phủ tương đối đầy đủ.
- Không có mủ, không lung lay răng, cấu trúc răng, xương vẫn ổn định.
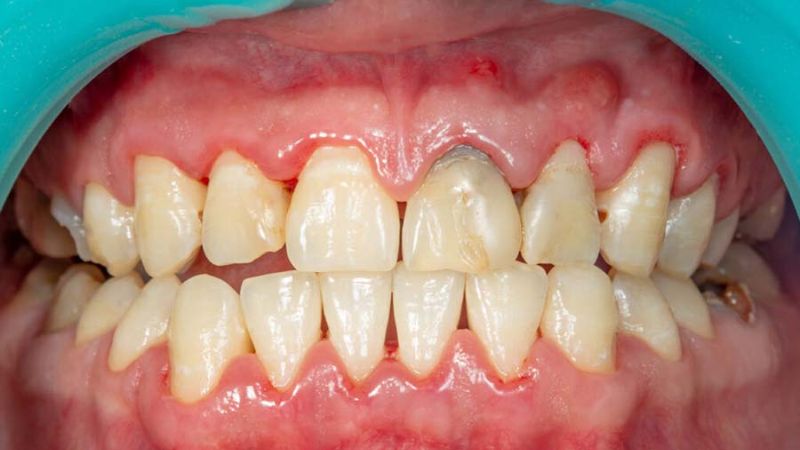
3. Hình ảnh viêm nha chu mãn tính
Khi bệnh tiến triển lâu ngày chuyển sang viêm nha chu chuyển sang giai đoạn mãn tính với tình trạng viêm kéo dài. Các biểu hiện thường gặp qua hình ảnh gồm:
- Nướu tụt sâu hơn, làm lộ rõ phần chân răng.
- Túi nha chu giãn rộng, có thể tích tụ dịch viêm hoặc mảng bám.
- Màu nướu chuyển sang đỏ sẫm hoặc tím nhạt do viêm kéo dài.
- Bề mặt răng bám nhiều cao răng, khó làm sạch.
- Thường đi kèm hơi thở hôi dai dẳng, ảnh hưởng đến sinh hoạt hằng ngày.
4. Hình ảnh cho thấy viêm nha chu đang trở nặng
Viêm nha chu bước sang giai đoạn nặng, hình ảnh quan sát được là tổn thương lan rộng và mức độ viêm nhiễm nghiêm trọng. Lúc này, mô nướu và xương ổ răng đã bị phá hủy đáng kể, làm giảm rõ rệt khả năng nâng đỡ răng. Cụ thể:
- Xuất hiện mủ chảy ra quanh chân răng, thể hiện tình trạng nhiễm trùng đang tiến triển.
- Nướu sưng to, đỏ sẫm hoặc tím, tụt sâu và để lộ nhiều chân răng.
- Hình ảnh tiêu xương ổ răng rõ rệt, khoảng trống quanh răng ngày càng lớn.

5. Hình ảnh viêm nha chu tụt lợi
Qua hình ảnh bệnh viêm nha chu tụt lợi, có thể thấy rõ tình trạng mô lợi co rút dần khỏi cổ răng do viêm nhiễm kéo dài. Đây là giai đoạn bệnh đã gây tổn thương không hồi phục cho mô nha chu, ảnh hưởng trực tiếp đến cả thẩm mỹ lẫn chức năng ăn nhai. Dấu hiệu nhận diện qua hình ảnh gồm:
- Chân răng lộ rõ, răng trông dài hơn bình thường so với răng bên cạnh.
- Viền lợi co rút, mất độ ôm sát răng, bề mặt chân răng ngả màu vàng sẫm.
- Khe hở kẽ răng rộng, dễ quan sát bằng mắt thường, thức ăn dễ mắc lại.
- Dấu hiệu viêm kèm theo như lợi đỏ, mỏng, dễ chảy máu khi chạm nhẹ.
6. Hình ảnh viêm nha chu hoại tử
Viêm nha chu hoại tử là dạng nặng và nguy hiểm nhất của bệnh nha chu, xảy ra khi mô nướu bị nhiễm trùng nghiêm trọng dẫn đến hoại tử. Biểu hiện qua hình ảnh như sau:
- Mô nướu bị hoại tử, chuyển sang màu xám, đen hoặc trắng bẩn, bề mặt loét.
- Nướu chảy máu nhiều, đau dữ dội khi chạm vào.
- Xuất hiện mủ trong khoang miệng.
- Viền nướu bị phá hủy, mất hình dạng tự nhiên quanh răng.
- Trên thực tế, nhiều trường hợp có thể kèm sưng mặt, mệt mỏi, sốt nhẹ trong trường nếu nhiễm trùng lan rộng.
7. Hướng xử lý an toàn theo mức độ viêm nha chu
Để đạt được hiệu quả điều trị và đảm bảo an toàn, bác sĩ sẽ dựa vào từng mức độ viêm nha chu, từ đó chỉ định phương pháp xử lý phù hợp.
- Viêm nha chu nhẹ: Ưu tiên làm sạch mảng bám và cao răng, hướng dẫn chải răng đúng kỹ thuật, sử dụng chỉ nha khoa và dung dịch súc miệng theo khuyến cáo. Theo dõi định kỳ để ngăn bệnh tiến triển.
- Viêm nha chu mãn tính: Cần điều trị chuyên sâu hơn bằng cạo vôi răng, làm sạch túi nha chu dưới nướu nhằm loại bỏ vi khuẩn gây viêm. Bác sĩ có thể chỉ định thêm thuốc hỗ trợ kiểm soát viêm trong thời gian ngắn.
- Viêm nha chu nặng: Khi đã có tiêu xương và túi nha chu sâu, phác đồ điều trị thường bao gồm nạo túi nha chu, điều trị bảo tồn mô nâng đỡ răng và theo dõi sát đáp ứng điều trị để hạn chế lung lay răng.
- Viêm nha chu tụt lợi: Ngoài kiểm soát viêm, bác sĩ sẽ đánh giá mức độ tụt lợi để chỉ định các biện pháp bảo vệ chân răng, giảm ê buốt và ngăn sâu chân răng tái phát.
- Viêm nha chu hoại tử: Đây là tình trạng cần xử trí y khoa sớm với phác đồ kiểm soát nhiễm trùng, loại bỏ mô hoại tử và theo dõi chặt chẽ để ngăn lan rộng và biến chứng nghiêm trọng.
Nếu viêm nha chu hoại tử, bác sĩ sẽ loại bỏ mô hoại tử và kiểm soát nhiễm trùng
Như vậy, Top Nha Khoa đã cung cấp cho bạn cách nhận diện bệnh thông các hình ảnh viêm nha chu theo từng mức độ và hướng xử lý an toàn. Nhận diện sớm những dấu hiệu bất thường sẽ giúp bạn lựa chọn thời điểm điều trị phù hợp và hạn chế tối đa nguy cơ suy giảm chức năng ăn nhai. Ngoài ra, duy trì thói quen thăm khám định kỳ và chăm sóc đúng cách cũng là yếu tố quan trọng để phòng ngừa viêm nha chu tái phát và bảo vệ nụ cười tươi tắn.
