Giá điều trị viêm nha chu bao nhiêu tiền? Cách tiết kiệm chi phí

Giá điều trị viêm nha chu tại các cơ sở nha khoa hiện nay đang dao động từ 500.000 – 8.000.000 VNĐ. Mức giá cụ thể được áp dụng dựa trên từng mức độ viêm nha chu ở từng trường hợp khác nhau. Để tiết kiệm tối đa chi phí, người bệnh nên thăm khám sớm khi bệnh còn nhẹ, tuân thủ phác đồ điều trị, duy trì vệ sinh răng miệng và tái khám định kỳ. 

1. Bảng giá điều trị viêm nha chu theo mức độ

Chi phí điều trị viêm nha chu thường được xây dựng dựa trên mức độ tổn thương mô nướu và xương ổ răng. Dưới đây là bảng giá tham khảo phổ biến trên thị trường hiện nay:

Mức độ viêm nha chu Bảng giá (VNĐ)
Viêm nha chu nhẹ 500.000 – 1.200.000 
Viêm nha chu trung bình 1.000.000 – 6.000.000 
Viêm nha chu nặng 6.000.000 – 8.000.000
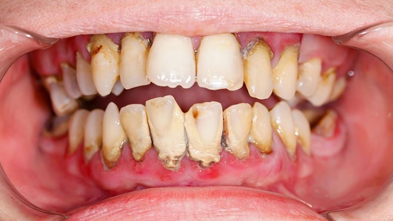
Giá điều trị viêm nha chu được áp dụng theo từng mức độ khác nhau
Giá điều trị viêm nha chu được áp dụng theo từng mức độ khác nhau

2. Vì sao mỗi người điều trị viêm nha chu lại có giá khác nhau?

Trên thực tế, điều trị viêm nha chu hết bao nhiêu tiền sẽ không có một mức cố định cho tất cả mọi người. Sự chênh lệch giá phụ thuộc vào nhiều yếu tố liên quan đến tình trạng bệnh và kế hoạch điều trị cụ thể.

  • Mức độ viêm nha chu: Giai đoạn nhẹ chỉ cần làm sạch và kiểm soát vi khuẩn; giai đoạn nặng có túi nha chu sâu, tiêu xương hoặc răng lung lay sẽ cần can thiệp chuyên sâu nên chi phí cao hơn.
  • Số lượng răng/vùng điều trị: Điều trị khu trú 1 – 2 vùng sẽ ít tốn kém hơn so với trường hợp phải xử lý toàn hàm hoặc nhiều quadrant.
  • Phương pháp được chỉ định: Kỹ thuật không phẫu thuật (cạo vôi, làm sạch gốc răng) thường có giá thấp hơn so với phẫu thuật lật vạt, ghép mô hoặc tái tạo xương.
  • Tình trạng răng miệng đi kèm: Nếu có sâu răng, viêm tủy, áp-xe hoặc cần nhổ răng, bác sĩ phải điều trị bổ sung, làm tăng tổng chi phí.
  • Tay nghề bác sĩ và cơ sở nha khoa: Đơn vị có bác sĩ chuyên sâu nha chu, trang thiết bị hiện đại và quy trình vô trùng nghiêm ngặt thường có mức phí cao hơn nhưng đảm bảo hiệu quả và an toàn.
  • Số lần hẹn và kế hoạch theo dõi: Viêm nha chu cần tái khám định kỳ; phác đồ kéo dài hoặc nhiều lần điều trị sẽ ảnh hưởng đến chi phí tổng thể.
Mức độ viêm nha chu là một trong những yếu tố quyết định đến giá dịch vụ
Mức độ viêm nha chu là một trong những yếu tố quyết định đến giá dịch vụ

3. Bác sĩ tư vấn cách tiết kiệm chi phí khi điều trị viêm nha chu

Để hạn chế chi phí và đạt hiệu quả lâu dài, bác sĩ nha khoa tư vấn cho người bệnh áp dụng các nguyên tắc sau:

3.1 Điều trị sớm khi viêm nha chu còn nhẹ

Khi mới xuất hiện dấu hiệu như chảy máu chân răng, nướu sưng đỏ hoặc hơi thở có mùi, việc xử lý thường chỉ dừng ở làm sạch cao răng và kiểm soát viêm. Nếu trì hoãn, bệnh tiến triển đến tiêu xương hoặc hình thành túi nha chu sâu sẽ cần điều trị phức tạp hơn, làm tăng đáng kể chi phí.

3.2 Tuân thủ phác đồ điều trị, không bỏ dở giữa chừng

Viêm nha chu là bệnh lý mạn tính, cần thực hiện đúng liệu trình mà bác sĩ chỉ định. Việc ngưng điều trị sớm có thể khiến vi khuẩn tái phát, tổn thương nặng hơn và phải điều trị lại từ đầu, gây tốn kém thời gian và tiền bạc.

3.3 Duy trì vệ sinh và tái khám định kỳ sau điều trị

Sau khi kiểm soát bệnh, người bệnh cần đánh răng đúng cách, sử dụng chỉ nha khoa hoặc tăm nước và lấy cao răng định kỳ 3 – 6 tháng/lần. Tái khám đúng hẹn giúp phát hiện sớm dấu hiệu tái phát, tránh phải can thiệp chuyên sâu trong tương lai.

4. Một số lưu ý trước khi quyết định điều trị viêm nha chu

Trước khi bắt đầu điều trị, người bệnh nên cân nhắc kỹ lưỡng để đảm bảo hiệu quả lâu dài và tối ưu chi phí:

  • Thăm khám và chụp phim đầy đủ: Đánh giá chính xác mức độ tiêu xương, độ sâu túi nha chu và tình trạng răng liên quan giúp xây dựng phác đồ phù hợp, tránh điều trị thiếu hoặc thừa.
  • Yêu cầu tư vấn rõ ràng về kế hoạch và chi phí: Hỏi cụ thể các bước thực hiện, số lần hẹn, chi phí từng giai đoạn và khoản phát sinh (thuốc, tái khám…) để chủ động tài chính.
  • Ưu tiên cơ sở có bác sĩ chuyên khoa răng hàm mặt: Điều trị đúng kỹ thuật ngay từ đầu giúp hạn chế tái phát và tránh phải can thiệp lại nhiều lần.
  • Không lựa chọn chỉ vì giá rẻ: Chi phí thấp nhưng không đảm bảo vô trùng hoặc tay nghề có thể khiến bệnh tái phát nhanh, tốn kém hơn về sau.
  • Chuẩn bị tâm lý điều trị theo dõi lâu dài: Viêm nha chu là bệnh mạn tính, cần tái khám định kỳ để duy trì kết quả, không phải chỉ điều trị một lần là khỏi hoàn toàn.
Thăm khám viêm nha chu trước khi quyết định điều trị
Thăm khám viêm nha chu trước khi quyết định điều trị

Tóm lại, mức giá điều trị viêm nha chu đã được Top Nha Khoa cung cấp qua bài viết trên đây. Tóm lại, mức giá điều trị viêm nha chu đã được Top Nha Khoa cung cấp qua bài viết trên đây. Tuy nhiên, đây chỉ là khoảng chi phí tham khảo, bởi mỗi người sẽ có tình trạng răng miệng và nhu cầu điều trị khác nhau. Để biết chính xác cần chi trả bao nhiêu, việc thăm khám trực tiếp và chụp phim đánh giá là bước không thể bỏ qua.

phone-icon