Dấu hiệu viêm nha chu phản ánh mức độ tổn thương của mô quanh răng và có sự thay đổi rõ rệt theo từng giai đoạn tiến triển của bệnh. Việc nhận diện đúng các biểu hiện này giúp người bệnh đánh giá mức độ nghiêm trọng và lựa chọn thời điểm can thiệp nha khoa phù hợp, hạn chế nguy cơ biến chứng và mất răng về sau. Tham khảo bài viết sau đây của Top Nha Khoa để nắm được các thông tin chi tiết.
1. Viêm nha chu nhẹ có dấu hiệu gì?
Ở giai đoạn nhẹ, các dấu hiệu viêm nha chu thường xuất hiện âm thầm và dễ bị bỏ qua vì khá giống viêm lợi thông thường. Một số dấu hiệu điển hình giúp nhận biết gồm:
- Lợi đỏ hơn bình thường, dễ kích ứng.
- Chảy máu trong lúc chải răng hoặc khi sử dụng chỉ nha khoa.
- Hơi thở có mùi nhẹ dù vệ sinh răng miệng đều.
- Lợi hơi sưng nhưng chưa đau rõ rệt.

2. Dấu hiệu viêm nha chu mãn tính thường gặp
Nếu để bệnh tiến triển kéo dài mà không điều trị, viêm nha chu sẽ chuyển sang giai đoạn mãn tính với các biểu hiện rõ ràng hơn:
- Lợi sưng nề kéo dài, đổi màu tím sẫm.
- Chảy máu lợi xảy ra thường xuyên, kể cả khi không đánh răng.
- Hơi thở có mùi kéo dài, khó khắc phục dứt điểm.
- Xuất hiện mảng bám, cao răng cứng bám sâu dưới nướu.
- Cảm giác cộm, tức vùng lợi, nhất là khi nhai.
3. Dấu hiệu cho thấy viêm nha chu đang trở nặng
Khi viêm nha chu không được kiểm soát kịp thời, tình trạng viêm sẽ lan sâu xuống mô nâng đỡ răng và xương ổ răng, khiến bệnh tiến triển nhanh và nghiêm trọng hơn. Lúc này, các triệu chứng không chỉ dừng ở viêm lợi mà đã xuất hiện những dấu hiệu cảnh báo nguy cơ
viêm nha chu không được kiểm soát kịp thời, tình trạng viêm sẽ lan rộng và gây tổn thương nghiêm trọng đến mô nâng đỡ răng. Lúc này, các dấu hiệu bệnh xuất hiện rõ rệt và khó chịu hơn so với giai đoạn đầu.
- Răng lung lay, đau nhức âm ỉ.
- Tụt nướu sâu hơn, làm lộ nhiều chân răng.
- Nhiễm trùng lan rộng, có thể gây sưng mặt, sưng hạch ở cổ.
- Xuất hiện áp xe nướu hoặc mủ quanh răng.
- Khe hở giữa các răng có xu hướng giãn rộng dần theo thời gian.
- Khớp cắn thay đổi, nhai không còn chắc.
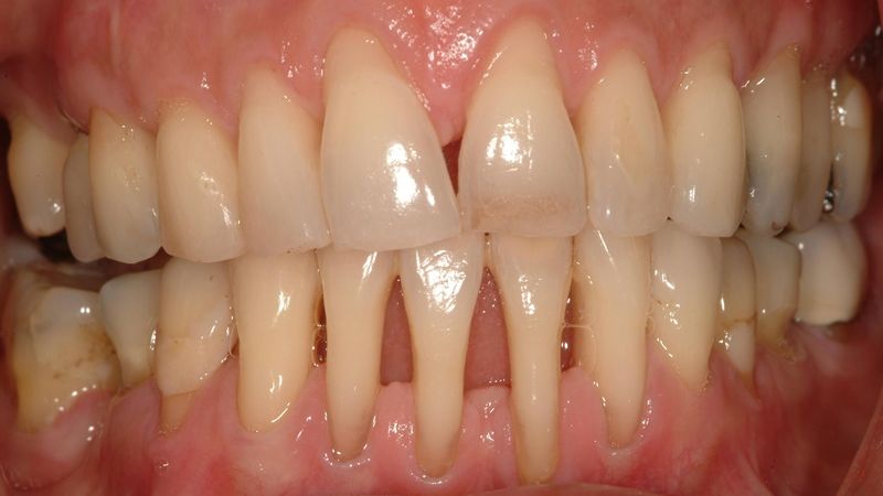
4. Dấu hiệu viêm nha chu tụt lợi
Tụt lợi là một trong những dấu hiệu điển hình cho thấy viêm nha chu đã gây tổn thương đến mô nâng đỡ quanh răng. Do đó, bạn cần nhận biết sớm qua các dấu hiệu sau để kịp thời có những xử lý phù hợp.
- Chân răng lộ rõ, răng trông dài hơn so với bình thường.
- Cảm giác ê buốt xuất hiện khi ăn uống thực phẩm nóng, lạnh, chua hoặc ngọt.
- Lợi co rút, mất đường viền ôm sát cổ răng.
- Dễ bị giắt thức ăn vào kẽ răng, việc vệ sinh răng miệng gặp khó khăn hơn.
- Nguy cơ sâu chân răng và viêm tái phát tăng cao nếu không điều trị kịp thời.

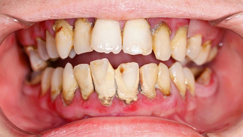
5. Viêm nha chu hoại tử có biểu hiện như thế nào?
Viêm nha chu hoại tử là thể bệnh nặng, tiến triển nhanh và có nguy cơ gây biến chứng toàn thân. Bệnh thường khởi phát đột ngột với các biểu hiện rầm rộ và dễ nhận biết.
- Đau dữ dội vùng lợi, đau tăng khi chạm hoặc ăn nhai.
- Lợi loét, hoại tử, có màu xám hoặc đen.
- Chảy máu lợi nhiều, khó kiểm soát.
- Hơi thở hôi rất nặng, mùi khó chịu đặc trưng.
- Có thể kèm sốt, mệt mỏi, hạch cổ sưng đau.
6. Khi nào cần đi khám bác sĩ nha khoa vì viêm nha chu?
Bạn nên sớm đặt lịch thăm khám bác sĩ nha khoa để đánh giá mức độ tổn thương, điều trị kịp thời và giảm nguy cơ mất răng về lâu dài nếu thuộc các trường hợp sau:
- Chảy máu lợi kéo dài trên 1 – 2 tuần, tái diễn nhiều lần.
- Lợi sưng, đau, đổi màu hoặc có dấu hiệu tụt lợi.
- Răng lung lay, cảm giác nhai không chắc.
- Xuất hiện mủ ở khe lợi hoặc túi nha chu.
- Đau nhức khi ăn nhai hoặc ê buốt kéo dài.
7. Cách xử lý an toàn theo mức độ viêm nha chu
Viêm nha chu cần được xử lý theo đúng mức độ tiến triển, tránh tự điều trị sai cách khiến tổn thương nặng hơn. Dưới đây là hướng xử lý an toàn, khoa học, được bác sĩ áp dụng phổ biến:
- Giai đoạn đầu nhẹ: Tăng cường chăm sóc răng miệng, làm sạch mảng bám, sử dụng chỉ nha khoa, súc miệng theo hướng dẫn.
- Viêm nhiễm rõ rệt: Bác sĩ có thể tiến hành cạo vôi răng – làm sạch túi nha chu để loại bỏ mảng bám và cao răng là nguyên nhân chính.
- Tổn thương mô sâu: Phác đồ điều trị tùy theo mức độ, có thể bao gồm nạo túi nha chu, kháng sinh tại chỗ hoặc toàn thân theo chỉ định.
- Biến chứng nặng (áp xe, hoại tử): Cần can thiệp điều trị chuyên sâu dưới sự theo dõi của bác sĩ để kiểm soát viêm và bảo tồn răng nếu có thể.

Như vậy, thông tin trong bài viết của Top Nha Khoa đã cung cấp cho bạn chi tiết các dấu hiệu viêm nha chu tương ứng với từng mức độ. Việc theo dõi sát các biểu hiện bất thường ở lợi và răng giúp bạn phát hiện sớm tổn thương, từ đó can thiệp kịp thời trước khi viêm lan rộng và gây biến chứng khó hồi phục. Chủ động thăm khám nha khoa định kỳ vẫn là giải pháp hiệu quả nhất để bảo vệ sức khỏe răng miệng và duy trì răng thật lâu dài.
