Chỉ còn chân răng có bọc sứ được không? Lưu ý khi bọc sứ

Ths.Bs Hoàng Quỳnh Trang – chuyên gia Răng Hàm Mặt, cố vấn tại Top Nha Khoa cho biết, răng chỉ còn chân vẫn có thể bọc sứ nếu phần chân răng còn chắc, mô quanh răng khỏe mạnh và đủ khả năng nâng đỡ mão sứ sau phục hình. Tuy nhiên đối với từng trường hợp cụ thể, bác sĩ sẽ đánh giá tổng quát tình trạng tủy, xương ổ răng và độ ổn định của chân răng qua phim X-quang để đưa ra chỉ định phù hợp. 

1. Khi nào chỉ còn chân răng vẫn bọc sứ được

Việc bọc răng sứ vẫn có thể thực hiện an toàn và mang lại hiệu quả ăn nhai lâu dài nếu đáp ứng được những điều kiện quan trọng dưới đây.

1.1 Chân răng còn chắc

Chân răng cần giữ được cấu trúc tương đối nguyên vẹn như chưa xuất hiện nứt dọc, gãy chân răng hoặc tiêu mô răng nghiêm trọng. Khi mô răng còn đủ chắc, chân răng vẫn đóng vai trò trụ nâng cho phục hình sứ, giúp răng sau bọc duy trì khả năng ăn nhai và độ ổn định cần thiết.

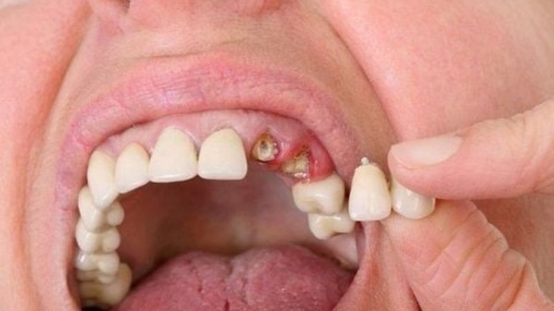
Chỉ còn chân răng bọc sứ được không? Nếu chân răng còn chắc thì vẫn có thể bọc sứ 
Nếu chân răng còn chắc thì vẫn có thể bọc sứ

1.2 Không viêm nhiễm

Điều kiện bắt buộc để bọc sứ là chân răng và mô quanh răng không còn tình trạng viêm nhiễm. Các vấn đề như viêm quanh chóp, áp xe răng hay viêm nha chu tiến triển cần được điều trị triệt để trước khi phục hình.

1.3 Đủ nâng đỡ mão sứ

Khả năng nâng đỡ mão sứ phụ thuộc vào chiều dài chân răng còn lại trong xương hàm và mức độ bám của hệ thống mô quanh răng. Khi các yếu tố này đạt yêu cầu, lực nhai được phân bố hợp lý, giúp mão sứ ổn định và duy trì hiệu quả sử dụng theo thời gian.

2. Trường hợp chỉ còn chân răng không thể bọc sứ

Trong một số trường hợp mặc dù còn chân răng nhưng vẫn không đủ điều kiện an toàn để phục hình, đó là:

2.1 Chân răng quá yếu, dễ gãy

Chân răng đã suy yếu nghiêm trọng thường không còn đủ độ bền để chịu lực ăn nhai lâu dài. Các tổn thương như nứt chân răng, mất mô răng nhiều hoặc gãy sâu dưới nướu khiến cấu trúc nâng đỡ bị phá vỡ. Trong trường hợp này, việc bọc sứ không đảm bảo độ ổn định và dễ dẫn đến gãy răng trong quá trình sử dụng.

2.2 Viêm tủy, viêm quanh răng nặng

Tình trạng viêm nhiễm nặng tại tủy răng hoặc mô quanh răng cho thấy chân răng đã mất đi sự ổn định sinh học. Viêm quanh chóp kéo dài, áp xe tái phát hoặc viêm nha chu mức độ nặng làm suy giảm khả năng tồn tại của chân răng trong xương hàm. Đây là những yếu tố khiến phục hình sứ không thể đạt hiệu quả lâu dài.

2.3 Tiêu xương nhiều, không đủ nâng đỡ

Tiêu xương ổ răng ở mức độ lớn làm giảm diện tích tiếp xúc giữa chân răng và xương hàm. Khi khả năng nâng đỡ bị suy giảm, chân răng không còn đủ vững chắc để giữ mão sứ ổn định. Việc bọc sứ lúc này không đảm bảo chức năng ăn nhai và dễ phát sinh biến chứng sau phục hình.

Trường hợp chỉ còn chân răng nhưng bị tiêu xương nhiều không đủ điều kiện bọc sứ
Trường hợp chỉ còn chân răng nhưng bị tiêu xương nhiều không đủ điều kiện bọc sứ

3. Giải pháp thay thế khi chân răng không đủ điều kiện bọc sứ

Khi chân răng không còn đáp ứng yêu cầu để bọc sứ, việc lựa chọn phương án phục hình phù hợp là cần thiết nhằm khôi phục chức năng ăn nhai và hạn chế các ảnh hưởng lâu dài đến răng miệng. Tùy vào tình trạng xương hàm, răng kế cận và nhu cầu sử dụng, bác sĩ sẽ chỉ định giải pháp tương ứng.

3.1 Cấy Implant thay răng mất

Cấy ghép Implant là phương pháp thay thế răng đã mất bằng cách đặt trụ Implant vào xương hàm, đóng vai trò thay thế chân răng thật. Giải pháp này giúp phục hồi răng độc lập, không tác động đến các răng bên cạnh và mang lại cảm giác ăn nhai gần như răng tự nhiên. Implant được đánh giá cao về độ ổn định và tính lâu dài nếu đủ điều kiện thực hiện.

3.2 Làm cầu răng sứ trên răng lân cận

Cầu răng sứ là phương pháp phục hình sử dụng các răng kế cận làm trụ nâng để nâng đỡ mão sứ thay thế răng đã mất. Đây là giải pháp giúp phục hồi tương đối tốt chức năng ăn nhai và thẩm mỹ trong thời gian ngắn. Tuy nhiên, hiệu quả lâu dài phụ thuộc nhiều vào tình trạng và khả năng chịu lực của các răng trụ xung quanh.

3.3 Phục hình bán phần hoặc tháo lắp tạm thời

Phục hình bán phần hoặc hàm tháo lắp thường được áp dụng trong những trường hợp chưa thể thực hiện các phương án cố định. Phương pháp này chủ yếu hỗ trợ chức năng ăn nhai cơ bản và cải thiện thẩm mỹ tạm thời. Mặc dù tính ổn định không cao bằng các phương pháp cố định nhưng đây vẫn là lựa chọn phù hợp trong một số giai đoạn điều trị nhất định.

Phục hình bán phần là giải pháp thay thế hiệu quả khi chân răng không thể bọc sứ
Phục hình bán phần là giải pháp thay thế hiệu quả khi chân răng không thể bọc sứ

4. Bọc sứ răng chỉ còn chân có bền không?

Theo chia sẻ từ bác sĩ Hoàng Quỳnh Trang, bọc răng sứ chỉ còn chân có thể duy trì độ bền trong nhiều năm với điều kiện chân răng vẫn giữ được độ ổn định cần thiết, mô nâng đỡ xung quanh khỏe mạnh và việc bọc sứ được thực hiện đúng chỉ định nha khoa. 

Trên thực tế, độ bền của răng bọc sứ khi chỉ còn chân phụ thuộc vào khả năng nâng đỡ của chân răng trong xương hàm, mức độ phân bố lực nhai và độ chính xác của phục hình. Khi các yếu tố này được đảm bảo, răng bọc sứ vẫn có thể ăn nhai ổn định và sử dụng lâu dài, gần tương đương các trường hợp phục hình thông thường.

5. Lưu ý quan trọng khi bọc sứ răng còn chân

Bọc sứ cho răng chỉ còn chân là giải pháp phục hình đòi hỏi kiểm soát chặt chẽ từ khâu thăm khám đến quá trình theo dõi sau điều trị. Tuân thủ đúng các lưu ý chuyên môn sẽ giúp duy trì độ ổn định của răng trụ và kéo dài tuổi thọ của mão sứ.

5.1 Khám và đánh giá kỹ lưỡng trước khi bọc

Trước khi bọc sứ, bác sĩ cần kiểm tra toàn diện tình trạng chân răng, mô nha chu và xương ổ răng thông qua thăm khám lâm sàng kết hợp hình ảnh X-quang. Việc đánh giá chính xác giúp xác định khả năng chịu lực của chân răng và hạn chế rủi ro trong quá trình phục hình.

5.2 Tuân thủ hướng dẫn sau bọc sứ

Sau khi bọc sứ, người bệnh cần tuân thủ hướng dẫn chăm sóc răng miệng và ăn nhai phù hợp. Giữ vệ sinh đúng cách và sử dụng răng đúng chức năng sẽ giảm áp lực lên chân răng, từ đó duy trì sự ổn định của răng bọc sứ theo thời gian.

5.3 Theo dõi định kỳ để tránh hỏng răng trụ

Tái khám định kỳ giúp bác sĩ kiểm tra tình trạng mão sứ, mô quanh răng và khớp cắn. Nhờ đó, các dấu hiệu bất thường có thể được phát hiện sớm và xử lý kịp thời, góp phần bảo vệ chân răng trụ và kéo dài tuổi thọ phục hình.

Theo dõi định kỳ với bác sĩ để đảm bảo an toàn khi bọc sứ răng còn chân
Theo dõi định kỳ với bác sĩ để đảm bảo an toàn khi bọc sứ răng còn chân

Tóm lại, thắc mắc chỉ còn chân răng bọc sứ được không của nhiều người đã được Top Nha Khoa giải đáp chi tiết. Để có kết quả ổn định lâu dài, trước khi quyết định bọc răng sứ bạn cần thăm khám và nhận đánh giá từ bác sĩ có chuyên môn tại nha khoa uy tín.

Thạc sĩ - Bác sĩ Hoàng Quỳnh Trang
Tham vấn y khoa:

Thạc sĩ - Bác sĩ Hoàng Quỳnh Trang

Thạc sĩ - Bác sĩ Hoàng Quỳnh Trang có hơn 12 năm kinh nghiệm về phục hình răng sứ và chỉnh nha, trực tiếp điều trị hơn 10.000 khách hàng trong & ngoài nước.
Thạc sĩ - Bác sĩ Hoàng Quỳnh Trang
Thạc sĩ - Bác sĩ Hoàng Quỳnh Trang Nha khoa Quinn Dental
Gọi ngay 0912 011 683