Bọc răng sâu chỉ thực sự cần thiết khi răng bị tổn thương nặng, vỡ lớn hoặc đã điều trị tủy. Với những trường hợp răng sâu nhẹ, lỗ sâu nhỏ chưa ảnh hưởng đến tủy răng, trám răng vẫn là giải pháp tối ưu và bảo tồn răng thật tốt nhất. Việc lựa chọn đúng phương pháp điều trị ngay từ đầu giúp bảo vệ răng lâu dài, hạn chế mài răng không cần thiết và tránh nguy cơ phải nhổ răng về sau.
Theo bác sĩ chuyên khoa Răng Hàm Mặt, chỉ định bọc răng sứ cho răng sâu cần dựa vào mức độ tổn thương, tình trạng tủy và độ vững chắc của chân răng, không nên bọc sứ khi răng còn đủ khỏe để trám bảo tồn.
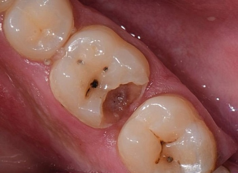
1. Khi nào răng sâu cần bọc răng sứ?
Răng sâu cần bọc răng sứ khi mô răng bị phá hủy nhiều, răng yếu hoặc đã điều trị tủy, không còn đủ mô răng khỏe để trám bền chắc. Lúc này, mão sứ giúp bảo vệ răng thật, phục hồi ăn nhai và hạn chế nguy cơ gãy vỡ về sau.
Các trường hợp răng sâu nên bọc răng sứ
- Răng đã điều trị tủy
Sau khi lấy tủy, răng không còn được nuôi dưỡng nên trở nên giòn, dễ nứt vỡ khi ăn nhai. Bọc răng sứ giúp bảo vệ cùi răng, hạn chế gãy vỡ và kéo dài tuổi thọ răng thật. - Răng sâu vỡ lớn, mất trên 1/2 thân răng
Lỗ sâu quá to khiến miếng trám khó bám chắc, dễ bong bật hoặc nứt gãy. Bọc sứ là giải pháp phù hợp để bảo tồn răng lâu dài. - Răng sâu bị mẻ, gãy góc cạnh
Tình trạng này ảnh hưởng trực tiếp đến khả năng ăn nhai và thẩm mỹ, đặc biệt với răng cửa. Mão sứ giúp phục hồi hình dáng răng gần như ban đầu. - Răng sâu trám nhiều lần nhưng vẫn ê buốt, bong tróc
Đây là dấu hiệu cho thấy cấu trúc răng đã yếu, cần giải pháp bảo vệ toàn diện hơn so với trám răng thông thường. - Răng cửa sâu nặng
Ngoài chức năng ăn nhai, răng cửa còn quyết định thẩm mỹ khuôn mặt. Bọc răng sứ giúp tái tạo hình dáng và màu sắc tự nhiên, đảm bảo yếu tố thẩm mỹ lâu dài.

2. Bọc răng sứ cho răng sâu khác gì trám răng?
Bọc răng sứ và trám răng khác nhau chủ yếu ở mức độ bảo vệ, độ bền và chỉ định điều trị. Trám răng phù hợp với răng sâu nhẹ, trong khi bọc răng sứ cho răng sâu là giải pháp lâu dài khi răng đã yếu, vỡ lớn hoặc đã điều trị tủy.
So sánh bọc răng sứ và trám răng sâu
| Tiêu chí | Trám răng | Bọc răng sứ cho răng sâu |
| Tình trạng răng phù hợp | Sâu nhẹ – trung bình, lỗ sâu nhỏ, chưa ảnh hưởng tủy | Sâu nặng, mất >1/3 thân răng, răng yếu hoặc đã chữa tủy |
| Phạm vi bảo vệ | Chỉ lấp đầy lỗ sâu | Bao phủ toàn bộ thân răng, bảo vệ răng thật tối đa |
| Kỹ thuật thực hiện | Trám Composite/Amalgam, hoàn tất trong 1 buổi | Mài cùi răng, lấy dấu và gắn mão sứ, 2–3 buổi |
| Độ bền – tuổi thọ | 3–5 năm, dễ bong hoặc đổi màu | 10–15 năm hoặc lâu hơn nếu chăm sóc tốt |
| Khả năng chịu lực | Trung bình | Rất tốt, phù hợp răng ăn nhai chính |
| Tính thẩm mỹ | Tương đối, dễ nhiễm màu | Thẩm mỹ cao, kháng màu, giữ trắng lâu dài |
| Chi phí | Thấp | Cao hơn, tùy loại sứ |
| Mục tiêu điều trị | Xử lý nhanh răng sâu nhẹ | Bảo tồn răng lâu dài, hạn chế gãy vỡ |
Trám răng phù hợp khi răng còn khỏe và sâu nhẹ, trong khi bọc răng sứ cho răng sâu là giải pháp bảo tồn lâu dài khi răng đã yếu hoặc tổn thương lớn.
3. Bọc răng sâu có đau không?
Bọc răng sứ cho răng sâu hầu như không gây đau trong quá trình thực hiện vì bác sĩ sẽ gây tê cục bộ trước khi mài răng. Người bệnh chỉ có thể cảm nhận ê nhẹ hoặc rung khi mài cùi răng (khoảng 1–1,5 mm), cảm giác này nằm trong ngưỡng chịu đựng và sẽ nhanh chóng biến mất.
Sau khi bọc răng sứ, răng có thể ê nhẹ trong 1–3 ngày đầu khi ăn nhai hoặc tiếp xúc nóng – lạnh. Đây là phản ứng bình thường của mô răng và sẽ ổn định khi mão sứ thích nghi hoàn toàn.
Nếu bọc sứ đúng chỉ định và đúng kỹ thuật, cảm giác ê buốt chỉ mang tính tạm thời và không ảnh hưởng lâu dài đến sức khỏe răng miệng.

4. Bọc răng sâu giá bao nhiêu?
Chi phí bọc răng sâu hiện nay dao động khoảng 1.000.000 – 14.000.000 VNĐ/răng, chưa bao gồm chi phí điều trị tủy (nếu có). Mức giá cụ thể phụ thuộc vào loại răng sứ, mức độ tổn thương răng và tiêu chuẩn dịch vụ của cơ sở nha khoa.
Chi tiết bảng giá bọc răng sứ cho răng sâu:
| Loại răng sứ | Chi phí |
| Răng sứ kim loại / Titan | 1.000.000 – 3.500.000 VNĐ/răng |
| Răng toàn sứ phổ thông (Zirconia, Katana) | 3.500.000 – 6.000.000 VNĐ/răng |
| Răng toàn sứ cao cấp (Cercon HT, Lava Plus, Emax) | 6.000.000 – 14.000.000 VNĐ/răng |
| Chi phí chữa tủy (nếu có) | ~100.000 – 1.000.000+ VNĐ/răng |
Lưu ý: Mức giá trên mang tính tham khảo và có thể thay đổi tùy tình trạng răng thực tế. Tại các bệnh viện nha khoa chuẩn y khoa, chi phí bọc răng sứ thường đi kèm thăm khám, chụp X-quang, bảo hành mão sứ và theo dõi hậu điều trị.
5. Quy trình bọc răng sứ cho răng sâu diễn ra như thế nào?
Quy trình bọc răng sứ cho răng sâu được thực hiện theo các bước chuẩn y khoa nhằm bảo tồn răng thật tối đa, đảm bảo mão sứ sát khít và ăn nhai bền chắc lâu dài. Thông thường, quá trình diễn ra trong 2–3 lần hẹn.
Bước 1: Thăm khám và chụp X-quang
Bác sĩ kiểm tra mức độ sâu răng, chụp X-quang hoặc CT Cone Beam (khi cần) để đánh giá tình trạng tủy, chân răng và xương hàm.
- Răng sâu nhẹ: có thể bọc sứ ngay.
- Răng sâu vào tủy: cần điều trị tủy triệt để trước khi bọc sứ.
Bước 2: Vệ sinh và gây tê
Loại bỏ mô răng sâu, cao răng và vi khuẩn. Sau đó gây tê cục bộ giúp người bệnh không đau trong suốt quá trình.
Bước 3: Mài cùi răng và lấy dấu
Răng được mài theo tỷ lệ an toàn (khoảng 1–1,5 mm). Bác sĩ lấy dấu bằng vật liệu chuyên dụng hoặc quét dấu 3D CAD/CAM để đảm bảo mão sứ chính xác tuyệt đối.
Bước 4: Gắn răng sứ tạm
Răng tạm giúp bảo vệ cùi răng, duy trì thẩm mỹ và hỗ trợ ăn nhai trong thời gian chờ mão sứ hoàn thiện.
Bước 5: Gắn răng sứ cố định
Bác sĩ kiểm tra độ sát khít, màu sắc, hình dáng và khớp cắn. Khi đạt yêu cầu, mão sứ được gắn cố định bằng keo nha khoa chuyên dụng.
Bước 6: Kiểm tra, hướng dẫn chăm sóc
Hoàn tất quy trình, bác sĩ hướng dẫn cách vệ sinh và chế độ ăn uống để răng sứ bền đẹp lâu dài.

6. Khi nào răng sâu không nên bọc sứ mà cần nhổ?
Không phải mọi trường hợp răng sâu nào cũng có thể bọc sứ. Bọc răng sứ không được khuyến khích trong các trường hợp sau:
- Chỉ còn chân răng, không đủ trụ nâng mão sứ
- Tiêu xương nặng, răng lung lay
- Áp xe lan rộng, nhiễm trùng mạn tính
Trong những trường hợp này, bác sĩ thường chỉ định nhổ răng và phục hình thay thế như trồng implant hoặc làm cầu răng để đảm bảo an toàn và chức năng ăn nhai.
7. Nên bọc răng sứ hay chọn phương pháp khác khi răng bị sâu?
Việc lựa chọn phương pháp điều trị răng sâu phụ thuộc vào mức độ tổn thương răng và khả năng bảo tồn răng thật:
- Răng sâu nhẹ: Ưu tiên trám răng để bảo tồn tối đa mô răng khỏe.
- Răng sâu mức độ vừa: Có thể trám nâng cao hoặc phục hồi bằng inlay/onlay để tăng độ bền.
- Răng sâu nặng, răng yếu hoặc đã điều trị tủy: Bọc răng sứ giúp bảo vệ răng thật và kéo dài tuổi thọ răng.
- Răng không thể phục hồi: Cần nhổ răng và phục hình thay thế như trồng implant hoặc làm cầu răng.
Để biết răng sâu của bạn có cần bọc sứ hay không, bác sĩ cần thăm khám trực tiếp và chụp phim đánh giá tình trạng răng. Việc điều trị sớm và đúng chỉ định giúp bảo tồn răng thật tối đa, tiết kiệm chi phí và hạn chế các can thiệp phức tạp về sau.
