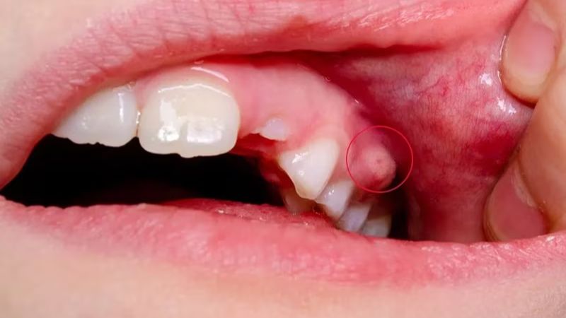
Áp xe răng sữa gây sưng đau và ảnh hưởng trực tiếp đến ăn uống của trẻ. Khi gặp trường hợp này, nhiều phụ huynh lo lắng, áp xe răng sữa có nên nhổ răng không? Thực tế, những trường hợp răng sữa đã hư nặng, gây đau nhiều và đã chuyển sang nhiễm trùng lan rộng thì nên nhổ bỏ để tránh các biến chứng xảy ra.
1. Áp xe răng sữa có nên nhổ răng không?
Câu trả lời là CÓ. Bác sĩ Trần Thanh Tùng – chuyên gia Răng Hàm Mặt, cố vấn tại Top Nha Khoa cho biết, quyết định nhổ hay giữ răng sữa cần dựa vào từng trường hợp cụ thể. Đối với những trẻ bị áp xe răng sữa được bác sĩ nha khoa chỉ định nhổ, cha mẹ cần tuân thủ điều trị, giúp trẻ xóa tan cơn đau. Đồng thời kiểm soát tốt nhiễm trùng và tạo điều kiện thuận lợi cho mầm răng vĩnh viễn phát triển sau này.

2. Khi nào áp xe răng sữa cần nhổ?
Theo chia sẻ từ bác sĩ Tùng, áp xe răng sữa bắt buộc phải nhổ trong những trường hợp sau đây để bảo vệ sức khỏe răng miệng cho trẻ.
2.1 Răng sữa hư nặng, không thể phục hồi
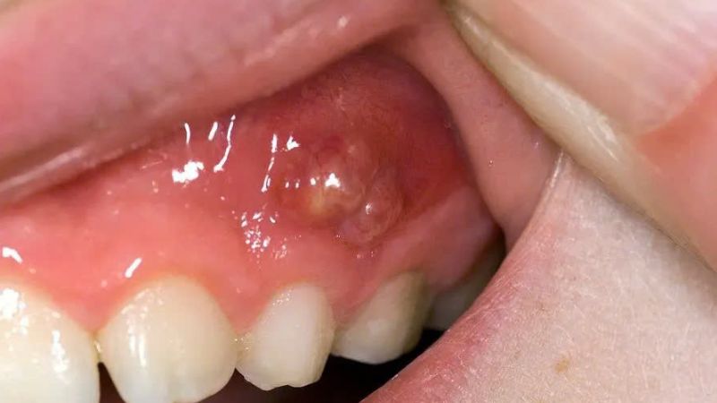
Nếu răng sữa đã hư hại nghiêm trọng, tủy viêm nặng, cấu trúc răng và chân răng bị phá hủy thì việc điều trị bảo tồn không còn khả thi. Với trường hợp này, nhổ răng sữa là cần thiết giúp loại bỏ ổ viêm và ngăn ngừa nhiễm trùng lan sang các răng kế cận.
2.2 Gây sưng đau nhiều, ảnh hưởng ăn nhai
Áp xe răng sữa có thể gây sưng lợi, viêm nhiễm và đau liên tục, khiến trẻ khó ăn nhai. Kèm theo đó là tình trạng sốt, hôi miệng và biếng ăn. Lúc này nhổ răng có tác dụng giảm đau và bảo vệ sức khỏe tổng thể.
2.3 Nhiễm trùng lan rộng, ảnh hưởng răng vĩnh viễn
Khi tình trạng nhiễm trùng từ răng sữa đã lan sang xương ổ răng, mô mềm và ảnh hưởng tới mầm răng vĩnh viễn đang hình thành, nhổ răng sữa là giải pháp an toàn. Nhổ bỏ răng rất hữu ích trong việc ngăn ngừa biến chứng nghiêm trọng xảy ra và đảm bảo sự phát triển bình thường của răng vĩnh viễn.

2.4 Không thể thực hiện các phương pháp bảo tồn răng
Trường hợp răng sữa bị áp xe và không thể thực hiện các phương pháp bảo tồn răng như điều trị tủy hoặc trám bít không thể thực hiện được thì lựa chọn tối ưu nhất chính là nhổ chúng đi.
3. Khi nào không vội nhổ răng sữa bị áp xe?
Không phải tất cả các trường hợp áp xe răng sữa đều phải nhổ. Đối với những trường hợp sau đây, cha mẹ chớ vội nhổ răng sữa của con.
3.1 Răng sữa còn chức năng, có thể điều trị tủy
Nếu răng sữa vẫn còn cấu trúc tương đối nguyên vẹn, chân răng và xương ổ răng tốt, bác sĩ có thể cân nhắc điều trị tủy để bảo tồn răng. Việc để lại răng sữa giúp “giữ chỗ” cho răng vĩnh viễn mọc đúng vị trí, hạn chế lệch cung hàm và hỗ trợ chức năng nhai, phát âm của trẻ.
3.2 Áp xe nhẹ, khu trú tại chóp răng
Những trẻ bị áp xe răng sữa mức độ nhẹ, chỉ khu trú tại chóp răng mà chưa lan rộng sang các mô xung quanh thì điều trị tủy kết hợp theo dõi sát sao nên được ưu tiên thay vì nhổ bỏ. Giải pháp này giúp trẻ giữ răng sữa lâu hơn, đồng thời ngăn ngừa nguy cơ nhiễm trùng lan rộng.
3.3 Trẻ đang viêm cấp, sốt
Khi trẻ đang trong giai đoạn viêm cấp, có sốt hoặc sưng nặng nên trì hoãn việc nhổ răng để hạn chế rủi ro. Đối với trường hợp này, bác sĩ thường ưu tiên xử lý viêm trước bằng kháng sinh, giảm sưng. Sau khi sức khỏe của trẻ ổn định, tình trạng viêm được kiểm soát, bác sĩ mới đưa ra quyết định nhổ răng.

Top Nha Khoa
Để lại thông tin, đội ngũ Top Nha Khoa sẽ tư vấn miễn phí và giúp bạn tìm nha khoa phù hợp nhất.
4. Nguy cơ khi không xử lý áp xe răng sữa kịp thời
Không xử lý áp xe răng sữa kịp thời sẽ tiềm ẩn rất nhiều rủi ro ảnh hưởng lâu dài tới sức khỏe răng miệng và sự phát triển hàm răng của trẻ. Cụ thể:
4.1 Mất răng sữa sớm, lệch cung hàm
Răng sữa bị hư hỏng và rụng sớm do áp xe, trẻ sẽ mất “vị trí giữ chỗ” cho răng vĩnh viễn. Hậu quả, răng vĩnh viễn có thể mọc lệch, chen chúc, hô hoặc mọc lệch hàm, gây ảnh hưởng tới thẩm mỹ và chức năng nhai.
4.2 Ảnh hưởng mầm răng vĩnh viễn
Nhiễm trùng từ răng sữa có thể lan tới mô xương và khu vực mầm răng vĩnh viễn, gây tổn thương trực tiếp đến sự phát triển của loại răng này. Hơn nữa, tình trạng nhiễm trùng còn làm mầm răng phát triển bất thường, thậm chí tổn thương vĩnh viễn nếu không được xử lý đúng cách.
4.3 Nhiễm trùng lan rộng
Áp xe răng sữa không được điều trị kịp thời có nguy cơ lan rộng sang các mô xung quanh, ảnh hưởng tới xương hàm, nướu và mô mềm. Nghiêm trọng hơn, nhiễm trùng lan tới các cơ quan khác như hệ hô hấp hay tim mạch, đặc biệt nguy hiểm ở trẻ nhỏ, đòi hỏi can thiệp y tế khẩn cấp.
4.4 Ảnh hưởng chức năng nhai và phát âm
Răng sữa bị áp xe hoặc mất sớm không chỉ làm suy giảm khả năng nhai và ảnh hưởng đến dinh dưỡng mà còn tác động tới phát âm của trẻ. Đặc biệt nếu răng cửa hoặc các răng quan trọng trong phát âm bị mất.

5. Quy trình xử lý an toàn khi răng sữa bị áp xe
Quy trình xử lý răng sữa cần được thực hiện bài bản bởi các bác sĩ nha khoa có chuyên môn để đảm bảo an toàn cho trẻ. Dưới đây là các bước thực hiện chính:
5.1 Khám, chụp phim đánh giá mức độ tổn thương
Bước đầu tiên là khám lâm sàng và chụp X‑quang nếu cần để xác định mức độ tổn thương của răng, tủy, chân răng, xương hàm và vị trí mầm răng vĩnh viễn. Việc này giúp bác sĩ đánh giá chính xác tình trạng áp xe và đưa ra quyết định nhổ răng hay điều trị bảo tồn.
5.2 Giảm viêm – kiểm soát đau trước khi can thiệp
Nếu trẻ đang trong giai đoạn viêm cấp, sưng đau, sốt hoặc khó ăn uống, bác sĩ sẽ ưu tiên kiểm soát viêm, giảm đau và ổn định sức khỏe. Các biện pháp bao gồm dùng kháng sinh, rạch ổ áp xe nếu cần, hạ sốt và hướng dẫn chăm sóc tại nhà để tránh nhiễm trùng lan rộng.
5.3 Điều trị tủy hoặc nhổ tùy mức độ bảo tồn được răng
Tùy theo mức độ tổn thương của răng sữa, bác sĩ sẽ lựa chọn phương án xử lý phù hợp. Với những răng còn đủ cấu trúc và chân răng khỏe, có thể thực hiện điều trị bảo tồn bằng cách làm sạch ổ viêm và trám bít ống tủy để giữ răng sữa.
Ngược lại, nếu răng bị hư hại nặng, nhiễm trùng lan rộng hoặc chân răng đã tiêu nhiều, nhổ răng sữa sẽ là lựa chọn an toàn để loại bỏ ổ viêm và bảo vệ răng vĩnh viễn.
5.4 Chăm sóc sau điều trị cho trẻ
Sau khi điều trị, cha mẹ cần theo dõi vết thương, đồng thời hướng dẫn trẻ vệ sinh răng miệng đúng cách, ăn thức ăn mềm và tái khám định kỳ. Điều này giúp ngăn ngừa tái phát áp xe, bảo vệ răng vĩnh viễn và đảm bảo trẻ phục hồi nhanh chóng.

Như vậy, băn khoăn của cha mẹ về tình trạng áp xe răng sữa có nên nhổ răng không đã sáng tỏa. Khi trẻ gặp tình trạng này, cha mẹ không nên tự ý xử lý tại nhà mà hãy cho con thăm khám với bác sĩ nha khoa để nhận tư vấn phương pháp điều trị thích hợp, đảm bảo an toàn sức khỏe răng miệng của bé yêu.
Bài viết liên quan:
Nhổ răng sữa sớm có ảnh hưởng gì không? Khi nào nên nhổ?

