Răng hàm dưới mọc lệch vào trong là tình trạng khá phổ biến, ảnh hưởng trực tiếp đến chức năng nhai, thẩm mỹ và sức khỏe răng miệng. Khi răng mọc lệch, thức ăn dễ mắc kẹt, vệ sinh khó khăn, đồng thời làm tăng nguy cơ sâu răng, viêm nướu và hôi miệng. Hiểu rõ nguyên nhân, tác hại và phương pháp khắc phục răng hàm dưới mọc lệch vào trong là bước quan trọng để bảo vệ sức khỏe răng miệng và ngăn ngừa các biến chứng lâu dài.
Thế nào là răng hàm dưới mọc lệch vào trong?
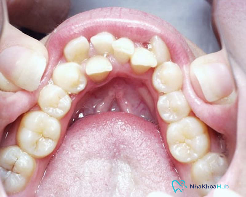
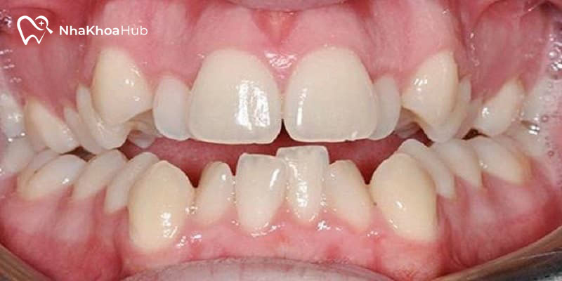
Răng hàm dưới mọc lệch vào trong là tình trạng răng mọc hướng về phía trong của hàm thay vì thẳng hàng, gây cản trở chức năng ăn nhai và ảnh hưởng thẩm mỹ tổng thể. Đây là một vấn đề phổ biến ở cả trẻ em và người lớn, thường gặp ở răng cối nhỏ hoặc răng khôn. Khi răng mọc lệch, thức ăn dễ bị mắc kẹt, vệ sinh khó khăn, đồng thời gây áp lực không đều lên xương hàm và các răng lân cận.

Răng hàm mọc lệch ảnh hưởng gì tới sức khỏe?
Răng mọc lệch không chỉ ảnh hưởng đến ngoại hình mà còn tác động xấu đến sức khỏe toàn diện.
Ảnh hưởng đến sức khỏe răng miệng
Răng mọc lệch tạo khe hở khó vệ sinh, dễ tích tụ mảng bám và cao răng, từ đó làm tăng nguy cơ sâu răng, viêm nướu và hôi miệng. Nếu không can thiệp sớm, tình trạng viêm có thể lan rộng, ảnh hưởng tới các răng lân cận và nướu.
Ảnh hưởng đến hệ tiêu hóa
Răng lệch khiến việc nhai thức ăn không hiệu quả, thức ăn không được nghiền nhỏ kỹ, làm tăng áp lực lên dạ dày và ruột, gây khó tiêu, đầy bụng và lâu dài có thể dẫn đến rối loạn tiêu hóa.
Ảnh hưởng tâm lý
Ngoại hình của răng lệch khiến nhiều người thiếu tự tin khi cười, hạn chế giao tiếp và tham gia các hoạt động xã hội. Ở trẻ em, răng lệch còn có thể tạo áp lực tâm lý, gây tự ti và lo lắng về ngoại hình.
Nguyên nhân răng hàm dưới mọc lệch vào trong
Răng mọc lệch thường xuất phát từ nhiều nguyên nhân kết hợp, bao gồm yếu tố di truyền, không gian hàm hạn chế, thói quen xấu và sai khớp cắn.
Thiếu khoảng trống trên cung hàm
Khi cung hàm quá nhỏ, răng không có đủ chỗ mọc thẳng, dẫn đến hiện tượng chen chúc và đẩy lệch vào trong. Đây là nguyên nhân phổ biến ở trẻ em và thanh thiếu niên.
Răng mọc sai hướng bẩm sinh
Yếu tố di truyền có thể khiến răng mọc lệch ngay từ khi hình thành, đặc biệt là răng vĩnh viễn ở trẻ có tiền sử răng mọc lệch trong gia đình.
Răng sữa rụng sớm hoặc rụng muộn
Răng sữa không rụng đúng thời điểm làm răng vĩnh viễn mọc lệch hướng, dễ dẫn đến khớp cắn sai và chen chúc trên cung hàm.
Thói quen đẩy lưỡi – mút môi dưới
Thói quen xấu như đẩy lưỡi hoặc mút môi dưới tạo lực đẩy răng vào trong, gây sai khớp cắn và làm răng hàm lệch.
Sai khớp cắn
Khớp cắn không đều khiến răng hàm dưới mọc lệch, làm tăng nguy cơ mài mòn răng, đau khớp thái dương và giảm hiệu quả nhai.

Khi nào cần can thiệp răng hàm dưới mọc lệch
Can thiệp cần thiết khi răng lệch ảnh hưởng tới chức năng nhai, thẩm mỹ hoặc kéo dài tới răng vĩnh viễn.
Gây cắn ngược hoặc khớp cắn lệch
Nếu răng hàm dưới cắn ngược răng hàm trên, cần điều chỉnh sớm để tránh biến chứng khớp thái dương, đau hàm và mài mòn răng.
Bé ăn nhai khó hoặc đau
Răng lệch gây khó nhai, đau nhức và ảnh hưởng đến sức khỏe, dinh dưỡng, đặc biệt với trẻ nhỏ đang trong giai đoạn phát triển.
Lệch kéo dài tới tuổi mọc răng vĩnh viễn
Nếu không điều chỉnh sớm, răng lệch sẽ ảnh hưởng thẩm mỹ và chức năng ăn nhai lâu dài, khiến việc niềng răng hoặc phẫu thuật sau này phức tạp hơn.
Phương pháp cải thiện răng hàm mọc lệch
Tùy vào mức độ lệch và nhu cầu thẩm mỹ, có nhiều phương pháp điều chỉnh răng hàm dưới mọc lệch như niềng răng, bọc răng sứ, dán veneer, phẫu thuật chỉnh hàm.
Niềng răng
Sử dụng mắc cài hoặc khay trong suốt để dịch chuyển răng về đúng vị trí. Đây là giải pháp hiệu quả cho răng lệch nhẹ đến trung bình, đồng thời điều chỉnh khớp cắn.
Bọc răng sứ
Dùng mão sứ che phủ răng mọc lệch, cải thiện thẩm mỹ nhanh chóng. Thích hợp cho răng ít lệch, giúp phục hồi chức năng nhai mà không cần niềng lâu dài.
Dán veneer
Dán mặt sứ mỏng vào răng, mang lại hiệu quả thẩm mỹ cao, hạn chế mài răng. Phù hợp với răng lệch nhẹ hoặc khuyết điểm thẩm mỹ.
Phẫu thuật chỉnh hàm
Dành cho răng lệch nặng hoặc khớp cắn sai. Phẫu thuật giúp tái lập cấu trúc hàm, định hướng răng mọc đúng và cải thiện thẩm mỹ lẫn chức năng nhai.
Cách phòng ngừa răng mọc lệch vào trong
Việc phòng ngừa hạn chế tình trạng răng hàm dưới mọc lệch vào trong để có hàm răng đều, không bị sai khớp cắn, thẩm mỹ cần:
Lưu ý cho trẻ nhỏ
Chăm sóc sớm và đúng cách giúp giảm nguy cơ răng hàm dưới mọc lệch.
Lưu ý cho trẻ nhỏ: Giám sát thói quen xấu như đẩy lưỡi, mút môi. Đảm bảo răng sữa rụng đúng thời điểm, vệ sinh răng miệng tốt và đưa trẻ khám nha khoa định kỳ.
Kiểm tra định kỳ tại nha khoa: Khám răng định kỳ giúp phát hiện sớm răng mọc lệch, từ đó can thiệp kịp thời bằng niềng răng, bọc sứ hoặc các biện pháp khác để tránh biến chứng lâu dài.

Như vậy, răng hàm dưới mọc lệch vào trong không chỉ ảnh hưởng thẩm mỹ mà còn tác động tiêu cực đến chức năng nhai, hệ tiêu hóa và tâm lý người bệnh. Việc phát hiện sớm, kiểm tra định kỳ tại nha khoa và lựa chọn phương pháp điều chỉnh phù hợp sẽ giúp cải thiện chức năng răng, bảo vệ sức khỏe lâu dài và tăng sự tự tin khi giao tiếp.
