Răng bị bể lớn có bọc sứ được không? Giải pháp bảo tồn răng thật

Răng bị bể lớn là tình trạng nhiều người gặp phải do tai nạn, cắn vật cứng hoặc sâu răng lâu ngày làm suy yếu cấu trúc răng. Khi phần thân răng bị vỡ nhiều, không ít người lo lắng liệu răng bị bể lớn có bọc sứ được không hay bắt buộc phải nhổ bỏ. Thực tế, trong nhiều trường hợp, bọc răng sứ vẫn là giải pháp phục hình hiệu quả giúp bảo tồn răng thật, khôi phục thẩm mỹ và chức năng ăn nhai. Tuy nhiên, khả năng bọc sứ còn phụ thuộc vào mức độ tổn thương và tình trạng chân răng.

1. Răng bị bể như thế nào thì còn bọc sứ được?

Ths.Bs Hoàng Quỳnh Trang – Cố vấn chuyên môn nha khoa tại Top Nha Khoa chia sẻ , trong nha khoa phục hình, trước khi quyết định bọc sứ cho răng bể lớn, bác sĩ sẽ đánh giá kỹ lưỡng tình trạng răng thông qua thăm khám lâm sàng và chụp X-quang. Một chiếc răng chỉ có thể bọc sứ khi vẫn đảm bảo các điều kiện kỹ thuật quan trọng sau:

1.1 Hiệu ứng vòng đai

“Hiệu ứng vòng đai” là yếu tố then chốt giúp mão sứ bám chắc và chịu lực tốt. Điều này nghĩa là phần mô răng thật phía trên nướu cần còn tối thiểu khoảng 2mm chiều cao và 1mm độ dày. Phần mô răng này sẽ tạo thành điểm tựa cho mão sứ, giống như một vòng đai gia cố giúp răng không bị gãy khi chịu lực nhai. Nếu răng bị bể quá sát nướu và không còn đủ mô răng để tạo vòng đai, việc bọc sứ sẽ rất dễ thất bại.

1.2 Chân răng còn khỏe mạnh

Một điều kiện quan trọng khác là chân răng phải còn chắc khỏe. Bác sĩ sẽ kiểm tra trên phim X-quang để đảm bảo răng không gặp các vấn đề như:

  • Áp-xe quanh chân răng
  • Viêm quanh cuống
  • Nứt hoặc gãy dọc chân răng

Nếu chân răng bị tổn thương nghiêm trọng, việc bọc sứ sẽ không giúp duy trì răng lâu dài.

1.3 Đủ mô răng để tái tạo cùi răng

Với những răng bị bể lớn, bác sĩ thường cần thực hiện đóng chốt sợi vào trong ống tủy để tạo trụ nâng đỡ. Sau đó, phần cùi răng sẽ được tái tạo trước khi gắn mão sứ.

Điều này đòi hỏi phần mô răng còn lại phải đủ để bám dính vật liệu phục hình, nếu không mão sứ sẽ không thể giữ chắc trên răng.

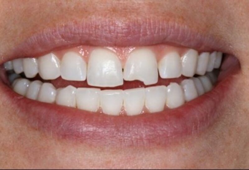
Răng bị bể lớn vẫn có thể bọc sứ nếu còn hiệu ứng vòng đai
Răng bị bể lớn vẫn có thể bọc sứ nếu còn hiệu ứng vòng đai

2. Răng bị bể lớn đến mức nào thì không nên bọc sứ?

Bác sĩ Hoàng Quỳnh Trang cho biết, dù bọc sứ là giải pháp bảo tồn răng hiệu quả, nhưng trong một số trường hợp, cố gắng bọc sứ có thể chỉ khiến người bệnh tốn kém thời gian và chi phí mà không mang lại kết quả lâu dài.

2.1 Bể sâu dưới nướu

Nếu vết bể ăn sâu xuống dưới nướu hoặc xương ổ răng, mão sứ sẽ không thể ôm sát thân răng. Điều này dễ dẫn đến tình trạng:

  • Viêm nướu kéo dài
  • Hôi miệng mãn tính
  • Thức ăn giắt vào kẽ răng

Trong trường hợp này, bác sĩ thường cân nhắc các phương pháp phục hình khác thay vì bọc sứ.

2.2 Chân răng quá ngắn hoặc bị lung lay

Một chiếc răng khỏe mạnh cần có tỷ lệ thân răng và chân răng cân đối để chịu được lực nhai. Nếu chân răng quá ngắn hoặc răng đã bị lung lay, việc bọc sứ sẽ tạo ra lực đòn bẩy khiến răng dễ gãy hoặc bật ra khỏi ổ răng.

2.3 Nứt dọc chân răng

Đây là tình trạng nghiêm trọng nhất. Khi chân răng bị nứt dọc, vết nứt sẽ lan dần theo thời gian và không có phương pháp phục hình nào có thể khắc phục triệt để. Trong trường hợp này, giải pháp duy nhất thường là nhổ răng và phục hình bằng Implant.

3. Răng bị bể lớn nên bọc sứ hay phải làm phương án khác?

Không phải tất cả răng bể lớn đều cần bọc sứ. Tùy theo mức độ mất mô răng, bác sĩ sẽ cân nhắc lựa chọn phương pháp phục hình phù hợp.

3.1 Inlay/Onlay sứ

Nếu răng chỉ bị bể ở mặt nhai nhưng các vách răng xung quanh vẫn còn chắc chắn, bác sĩ có thể sử dụng Inlay hoặc Onlay sứ. Đây là miếng sứ được chế tác riêng để lấp đầy phần răng bị mất, giúp phục hồi cấu trúc răng mà không cần bọc toàn bộ thân răng.

3.2 Bọc răng sứ

Đây là phương án phổ biến nhất cho răng bị bể lớn. Sau khi tái tạo cùi răng và đóng chốt sợi gia cố, bác sĩ sẽ chụp mão sứ lên toàn bộ thân răng để bảo vệ răng khỏi nguy cơ gãy vỡ tiếp theo.

3.3 Cấy ghép Implant

Nếu răng bị bể quá nặng, gần như không còn đủ cấu trúc để phục hồi, việc cố gắng bọc sứ sẽ không mang lại hiệu quả. Lúc này, cấy ghép Implant thường là giải pháp bền vững nhất để thay thế răng đã mất.

Phục hình răng bể bằng Inlay Onlay sứ khi vách răng còn chắc
Phục hình răng bể bằng Inlay Onlay sứ khi vách răng còn chắc

4. Bọc sứ cho răng bị bể lớn có bền không?

Có, bọc sứ cho răng bị bể lớn vẫn có thể bền, nhưng điều quan trọng nhất là tình trạng răng thật bên dưới, không phải chỉ ở chất liệu sứ.

Nếu răng còn đủ mô răng để tạo vòng đai bảo vệ và được đóng chốt sợi gia cố đúng kỹ thuật, răng sứ có thể sử dụng 10–15 năm hoặc lâu hơn.

Ngược lại, nếu răng bể quá sát nướu mà vẫn cố bọc sứ, nền răng yếu sẽ khiến mão sứ dễ gặp vấn đề như súc mão, gãy cổ răng hoặc đau khi ăn nhai, thậm chí chỉ sau 1–2 năm sử dụng.

5. Răng bị bể có bọc sứ được không nếu đã điều trị tủy?

Có, răng bị bể vẫn có thể bọc sứ sau khi điều trị tủy và trong nhiều trường hợp đây gần như là bước phục hình bắt buộc để bảo vệ răng.

Sau khi lấy tủy, răng không còn nguồn nuôi dưỡng nên trở nên giòn và dễ gãy khi ăn nhai. Vì vậy, bác sĩ cần gia cố răng trước khi bọc sứ bằng quy trình chuẩn:

  • Đặt chốt sợi trong ống tủy để tạo trục chịu lực
  • Tái tạo cùi răng bằng vật liệu nha khoa
  • Bọc mão sứ bên ngoài để bảo vệ toàn bộ thân răng

Nhờ vậy, răng đã điều trị tủy vẫn có thể ăn nhai ổn định và tồn tại lâu dài trên cung hàm.

Răng sau khi lấy tủy cần bọc sứ để tăng độ bền khi ăn nhai
Răng sau khi lấy tủy cần bọc sứ để tăng độ bền khi ăn nhai

6. Một số lưu ý trước khi quyết định bọc sứ răng bị bể lớn

Để đảm bảo việc bọc sứ đạt hiệu quả cao và an toàn lâu dài, người bệnh nên lưu ý một số yếu tố quan trọng sau.

6.1 Chụp phim CT Cone Beam

Phim CT Cone Beam giúp bác sĩ phát hiện chính xác các tổn thương bên trong chân răng, đặc biệt là những vết nứt dọc mà mắt thường không thể nhìn thấy.

6.2 Lựa chọn chất liệu sứ phù hợp

Đối với răng chịu lực nhai lớn, nên ưu tiên răng toàn sứ cao cấp như Zirconia hoặc Cercon. Những loại sứ này có độ chịu lực cao, khoảng 900 – 1200 MPa, đồng thời có khả năng tương hợp sinh học tốt với nướu.

6.3 Kỹ thuật mài răng

Khi răng đã bị bể lớn, mỗi milimet mô răng còn lại đều rất quý giá. Vì vậy, bác sĩ cần mài răng chính xác và tối thiểu nhất có thể để bảo tồn cấu trúc răng thật.

6.4 Chế độ ăn uống sau khi bọc sứ

Sau khi bọc sứ cho răng bể lớn, người bệnh nên hạn chế:

  • Nhai xương hoặc đá lạnh
  • Cắn đồ quá cứng
  • Tập trung lực nhai vào một vị trí răng

Việc chăm sóc đúng cách sẽ giúp kéo dài tuổi thọ của răng sứ và bảo vệ chân răng thật.

Nhìn chung, răng bị bể lớn vẫn có thể bọc sứ nếu chân răng còn khỏe và phần mô răng còn lại đủ để nâng đỡ mão sứ. Việc thăm khám và chụp phim trước khi điều trị là bước quan trọng giúp bác sĩ đánh giá chính xác khả năng phục hồi của răng. Khi được thực hiện đúng kỹ thuật, bọc sứ không chỉ giúp bảo tồn răng thật mà còn mang lại khả năng ăn nhai ổn định và thẩm mỹ lâu dài.

Thạc sĩ - Bác sĩ Hoàng Quỳnh Trang
Tham vấn y khoa:

Thạc sĩ - Bác sĩ Hoàng Quỳnh Trang

Thạc sĩ - Bác sĩ Hoàng Quỳnh Trang có hơn 12 năm kinh nghiệm về phục hình răng sứ và chỉnh nha, trực tiếp điều trị hơn 10.000 khách hàng trong & ngoài nước.
Thạc sĩ - Bác sĩ Hoàng Quỳnh Trang
Thạc sĩ - Bác sĩ Hoàng Quỳnh Trang Nha khoa Quinn Dental
Gọi ngay 0912 011 683