Có phải đeo hàm duy trì cả đời không là câu hỏi được nhiều người quan tâm sau khi hoàn thành quá trình niềng răng. Chuyên gia nha khoa cho biết việc sử dụng khí cụ duy trì đúng cách đóng vai trò then chốt trong việc giữ ổn định kết quả chỉnh nha.

Tại sao phải đeo hàm duy trì niềng răng?
Hàm duy trì sau niềng răng là khí cụ được sử dụng ngay sau khi tháo dây cung và mắc cài, nhằm giữ ổn định vị trí răng đã chỉnh. Loại khí cụ này có thể được thiết kế dưới dạng khay nhựa trong suốt, dây kim loại, khung cố định ở mặt trong răng và được chế tạo riêng dựa trên khuôn răng của từng người, nhằm đảm bảo độ vừa khít tối đa.
Dù đã được điều chỉnh về vị trí mong muốn, răng vẫn chưa giữ vững hoàn toàn trong xương hàm. Lúc này, mô nướu và dây chằng nha chu xung quanh chân răng cần thời gian để thích nghi với vị trí mới. Nếu niềng răng xong không đeo hàm duy trì, răng rất dễ xô lệch hoặc trở lại vị trí cũ do tác động từ lực ăn nhai và tính đàn hồi tự nhiên của dây chằng nha chu.
Hơn nữa sau khi chỉnh nha, xương hàm và khớp cắn thường nhạy cảm hơn. Khi ăn uống, lực tác động lên răng có thể khiến chúng dịch chuyển nếu không được cố định đúng cách. Vì vậy, việc đeo khí cụ duy trì trong giai đoạn hậu niềng là cực kỳ quan trọng để duy trì kết quả điều trị.
Loại hàm duy trì nào tốt nhất hiện nay
Hiện nay có nhiều loại hàm duy trì khác nhau, mỗi loại mang ưu, nhược điểm và chi phí riêng, bao gồm:
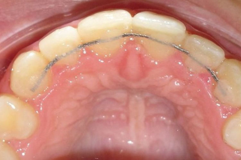
Hàm duy trì cố định mặt trong
Hàm duy trì mặt trong là loại khí cụ cố định được gắn trực tiếp vào mặt trong của răng bằng dây kim loại chuyên dụng. Loại này thường được sử dụng sau khi hoàn tất quá trình niềng răng để duy trì kết quả chỉnh nha.

Ưu điểm:
- Không thể tháo ra nên không cần lo lắng về việc quên đeo hàm.
- Đảm bảo răng không sai lệch, duy trì kết quả điều trị và giữ cho răng không bị xô lệch.
- Kín đáo, không ảnh hưởng đến tính thẩm mỹ bên ngoài.
Nhược điểm:
- Gây khó khăn trong việc vệ sinh răng miệng, cần chăm sóc kỹ để tránh viêm nướu và sâu răng.
- Có thể gây cảm giác cộm, cấn nhẹ nếu không được gắn chuẩn xác.
- Cần đến nha khoa xử lý sớm khi bị hỏng để tránh ảnh hưởng đến răng và nướu.
Giá thành tham khảo: Khoảng 2.000.000 – 5.000.000 VNĐ cho mỗi hàm, tùy theo vật liệu và phòng khám.
Hàm duy trì trong suốt
Đây là loại khí cụ duy trì tháo lắp được thiết kế dưới dạng khay nhựa trong suốt, ôm sát khít theo cung răng của từng người, tương tự như khay niềng Invisalign.

Ưu điểm:
- Tính thẩm mỹ cao, gần như không thể phát hiện khi đeo hàm.
- Khí cụ hậu chỉnh nha trong suốt dễ tháo lắp khi ăn uống hoặc vệ sinh răng miệng.
- Thoải mái khi sử dụng, ít gây kích ứng.
Nhược điểm:
- Dễ thất lạc hoặc quên đeo nếu không có thói quen sử dụng đều đặn.
- Kết quả duy trì phụ thuộc lớn vào tính tuân thủ của người đeo.
Giá thành tham khảo: Khoảng 1.500.000 – 3.000.000 VNĐ mỗi khay, tùy thuộc vào vật liệu và thời điểm thay mới (thường từ 6 đến 12 tháng).
Hàm duy trì tháo lắp
Hàm duy trì tháo lắp sử dụng dây kim loại kết hợp với nền nhựa, có thể tháo rời dễ dàng. Đây là loại phổ biến và được sử dụng từ lâu trong chỉnh nha.

Ưu điểm:
- Ổn định cung răng tốt nếu sử dụng đúng hướng dẫn.
- Dễ dàng điều chỉnh hàm hoặc sửa chữa khi cần.
- Chi phí thấp hơn so với các loại khí cụ duy trì hiện đại.
Nhược điểm:
- Kém thẩm mỹ do phần kim loại lộ ra khi nói hoặc cười.
- Khí cụ tháo lắp bằng kim loại có thể gây vướng víu, khó chịu khi đeo.
- Dễ quên hoặc mất nếu không bảo quản cẩn thận.
Giá thành tham khảo: Khoảng 800.000 – 2.000.000 VNĐ mỗi hàm.
Thực tế không có loại hàm duy trì nào là tốt nhất một cách tuyệt đối, mỗi loại sẽ phù hợp với nhu cầu và tình trạng răng cụ thể của từng người. Chẳng hạn như dụng cụ cố định răng mặt trong thường phù hợp với người có răng từng sai lệch nhiều, nguy cơ tái xô lệch cao hoặc người không có thói quen đeo khí cụ đều đặn. Hàm duy trì trong suốt lý tưởng cho người đề cao tính thẩm mỹ, cần giao tiếp nhiều và có khả năng tuân thủ lịch đeo. Còn khí cụ duy trì tháo lắp bằng kim loại phù hợp với những người ưu tiên chi phí, ít đặt nặng yếu tố thẩm mỹ nhưng vẫn mong muốn kết quả duy trì tốt.
Những lưu ý cần biết khi đeo hàm duy trì
Để hàm duy trì niềng răng phát huy tác dụng tốt nhất, người điều trị cần lưu ý một số điểm sau:
Vệ sinh hàm duy trì đúng cách
Giữ khí cụ hậu chỉnh nha sạch sẽ là yếu tố quan trọng để ngăn ngừa viêm nướu, sâu răng và tích tụ mảng bám.
- Với hàm duy trì tháo lắp, nên vệ sinh bằng bàn chải mềm và nước sạch hoặc dung dịch chuyên dụng, tránh dùng nước nóng vì có thể làm biến dạng khay nhựa.
- Với hàm duy trì cố định, cần sử dụng chỉ nha khoa, bàn chải kẽ hoặc máy tăm nước để làm sạch vùng xung quanh dây giữ, đặc biệt ở khu vực mặt trong răng.
Sử dụng đúng cách
Người dùng cần tuân thủ nghiêm túc hướng dẫn đeo hàm duy trì của bác sĩ. Tuyệt đối không nên tự ý điều chỉnh, bẻ cong hoặc cắt khí cụ, vì có thể làm giảm hiệu quả cố định và gây sai lệch vị trí răng.
Sử dụng đều đặn, tránh quên hoặc làm mất
Nếu làm mất hàm duy trì hoặc không đeo hàm đều đặn có thể khiến răng dịch chuyển trở lại vị trí cũ, làm giảm hiệu quả của toàn bộ quá trình chỉnh nha. Đặc biệt với hàm tháo lắp, người dùng nên trang bị hộp đựng chuyên dụng và tạo thói quen bảo quản cẩn thận sau mỗi lần tháo ra.
Nếu phát hiện khí cụ bị nứt, biến dạng hoặc đeo không còn vừa, người dùng nên liên hệ với nha sĩ càng sớm càng tốt để điều chỉnh hoặc thay mới.
Tái khám và tuân thủ chỉ dẫn của bác sĩ
Khám định kỳ theo lịch hẹn là cần thiết để bác sĩ theo dõi sự ổn định của răng và tình trạng khí cụ. Ở mỗi lần tái khám, bác sĩ sẽ kiểm tra xem có cần điều chỉnh thời gian đeo, thay mới khí cụ hay xử lý các vấn đề phát sinh.

Câu hỏi thường gặp về hàm duy trì niềng răng
Thời gian đeo hàm duy trì là bao lâu?
Thời gian đeo hàm duy trì phụ thuộc vào tình trạng răng của từng người, nhưng thông thường sẽ đeo liên tục từ 6 – 12 tháng, sau đó duy trì vào ban đêm trong vài năm hoặc lâu hơn.
Nếu không đeo hàm duy trì đủ thời gian, răng có thể bị xô lệch và trở lại vị trí cũ do lực tác động từ cơ hàm, môi và lưỡi. Một số trường hợp có nguy cơ tái lệch cao, bác sĩ có thể chỉ định đeo khí cụ duy trì lâu dài hoặc vĩnh viễn để đảm bảo kết quả chỉnh nha bền vững.
Đeo hàm duy trì có ăn được không?
Đeo hàm duy trì vẫn có thể ăn uống bình thường, tuy nhiên điều này còn tùy thuộc vào loại khí cụ sử dụng. Với hàm tháo lắp, người dùng nên tháo ra khi ăn để tránh làm biến dạng hoặc hư hỏng khí cụ. Trong khi đó, hàm cố định được gắn phía trong răng nên có thể ăn uống như bình thường, nhưng cần tránh thực phẩm quá cứng hoặc dai để không gây bung, lỏng dây cố định.
Câu hỏi có phải đeo hàm duy trì cả đời không, thực tế không có một đáp án cố định cho mọi trường hợp, bởi kế hoạch duy trì sẽ được cá nhân hóa theo tình trạng răng của từng người. Dù thời gian đeo dài hay ngắn, việc tuân thủ đúng chỉ định của bác sĩ sẽ duy trì kết quả điều trị và đảm bảo nụ cười đều đẹp.
