Bọc răng sứ Lava là phương pháp phục hình răng thẩm mỹ được nhiều người ưa chuộng. Loại răng sứ này có khả năng cải thiện các khuyết điểm như răng sứt mẻ, xỉn màu, răng vỡ hoặc hình thể răng không đều. Bên cạnh yếu tố thẩm mỹ tự nhiên, răng sứ Lava còn nổi bật với độ bền chắc và chịu lực tốt.
1. Bác sĩ đánh giá răng sứ Lava có tốt không?
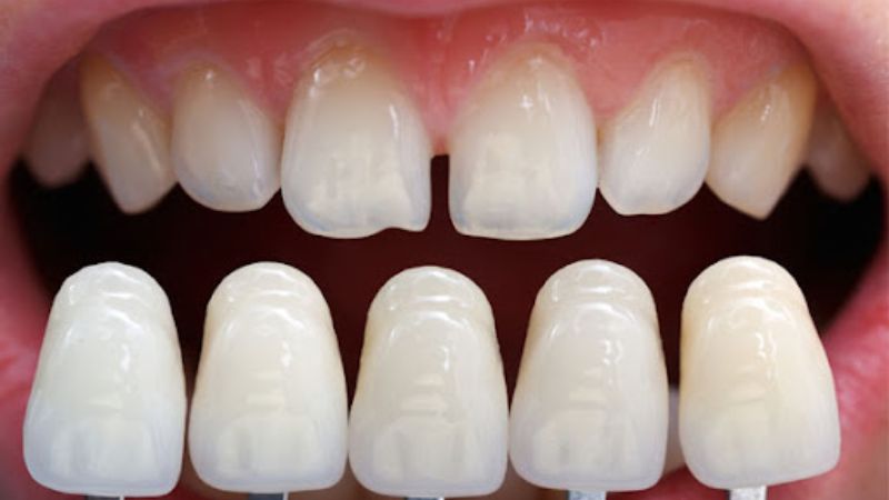
Theo đánh giá từ Thạc sĩ – Bác sĩ Vũ Thanh Xuân, răng sứ Lava là dòng răng toàn sứ cao cấp có chất lượng tốt. Đây là dòng răng sứ được sản xuất bởi tập đoàn 3M (Mỹ), cấu tạo từ vật liệu Zirconia kết hợp lớp men sứ bên ngoài giúp răng có màu sắc giống răng thật cùng mức độ chịu lực tốt.

2. Ưu và nhược điểm của bọc răng sứ Lava
Cũng giống nhiều phương pháp phục hình răng khác, bọc răng sứ Lava có những ưu và nhược điểm riêng mà mọi người cần biết:
Ưu điểm
- Tính thẩm mỹ cao: Răng sứ Lava có màu sắc khá tự nhiên, độ trong mờ tương tự men răng thật nên sau khi phục hình, hàm răng nhìn hài hòa và khó nhận ra là răng sứ.
- Độ bền và khả năng chịu lực tốt: Nhờ cấu tạo từ vật liệu Zirconia cao cấp, răng sứ Lava có độ cứng chắc cao, có thể chịu lực nhai lớn và phù hợp với cả vị trí răng hàm.
- Không gây đen viền nướu: Vì là răng toàn sứ nên Lava không chứa kim loại, giúp hạn chế tình trạng oxy hóa gây đen viền nướu sau thời gian dài sử dụng.
- Độ ổn định lâu dài: Nếu được phục hình đúng kỹ thuật và chăm sóc răng miệng tốt, răng sứ Lava có thể duy trì độ bền và tính thẩm mỹ trong nhiều năm.
Nhược điểm
- Chi phí tương đối cao: So với các loại răng sứ kim loại hoặc titan, răng sứ Lava thường có giá cao hơn do vật liệu và công nghệ chế tác hiện đại.
- Yêu cầu kỹ thuật phục hình cao: Quá trình bọc răng sứ Lava cần bác sĩ có chuyên môn và kinh nghiệm để đảm bảo mão sứ được thiết kế chính xác, tránh ảnh hưởng đến khớp cắn và răng thật.
- Cần mài răng thật trước khi bọc sứ: Tương tự các phương pháp bọc sứ khác, bác sĩ cần mài một phần men răng để tạo cùi răng, vì vậy cần được thực hiện đúng chỉ định để tránh ảnh hưởng đến răng thật.
3. Trường hợp nào nên bọc răng sứ Lava?
Bọc răng sứ Lava cần được chỉ định phù hợp để tăng tối đa tính thẩm mỹ và phục hồi chức năng ăn nhai. Dưới đây những trường hợp được cân nhắc bọc răng sứ Lava:
- Răng bị sứt mẻ, vỡ hoặc mòn men răng do chấn thương hoặc ăn nhai lâu ngày.
- Răng nhiễm màu nặng áp dụng các phương pháp tẩy trắng thông thường không có khả năng cải thiện.
- Răng thưa, răng hình thể nhỏ hoặc không đều, ảnh hưởng đến thẩm mỹ khi cười.
- Răng sâu lớn hoặc đã điều trị tủy, cần bọc mão sứ để bảo vệ cấu trúc răng thật.
- Răng bị mòn, yếu hoặc có nguy cơ gãy vỡ, cần phục hình để tăng độ chắc chắn.
- Phục hình răng cửa và răng hàm trong các trường hợp yêu cầu độ bền và tính thẩm mỹ cao.

4. Khi nào không nên chọn răng sứ Lava?
Bên cạnh những trường hợp phù hợp, răng sứ Lava cũng chống chỉ định với những đối tượng sau:
- Răng còn khỏe mạnh, chỉ có khiếm khuyết thẩm mỹ nhẹ có thể cải thiện bằng dán sứ veneer hoặc chỉnh nha.
- Răng bị sâu lớn, thân răng còn lại quá ít, không đủ điều kiện để làm cùi răng nâng đỡ mão sứ.
- Răng lung lay do viêm nha chu nặng, cần điều trị bệnh lý nha chu trước khi cân nhắc phục hình.
- Sai lệch khớp cắn nghiêm trọng, răng mọc lệch nhiều, trường hợp này thường phù hợp với chỉnh nha hơn.
- Người có thói quen nghiến răng mạnh, có nguy cơ làm tăng lực tác động lên mão sứ nếu chưa được kiểm soát.
- Người chưa điều trị dứt điểm các bệnh lý răng miệng như viêm nướu, sâu răng hoặc nhiễm trùng.
5. Bác sĩ lưu ý gì trước khi quyết định bọc răng sứ Lava?
Trước khi thực hiện bọc răng sứ Lava, bác sĩ Vũ Thanh Xuân đưa ra một số lưu ý quan trọng mà bạn cần ghi nhớ để hạn chế rủi ro và đảm bảo kết quả lâu dài.
- Kiểm tra tổng quát răng miệng và chụp phim nếu cần để đánh giá chính xác cấu trúc răng.
- Xử lý triệt để các vấn đề như sâu răng, viêm nướu hoặc viêm nha chu trước khi bọc sứ.
- Lựa chọn cơ sở nha khoa có hệ thống máy móc và phòng labo chế tác răng sứ đạt tiêu chuẩn.
- Tìm hiểu rõ về loại răng sứ Lava, vật liệu sử dụng và nguồn gốc mão sứ.
- Đảm bảo quy trình phục hình được thực hiện đúng kỹ thuật và phù hợp với khớp cắn.
- Tham khảo chi phí điều trị và chính sách bảo hành của nha khoa trước khi quyết định.
- Tuân thủ hướng dẫn chăm sóc răng miệng và tái khám định kỳ sau khi bọc sứ.

Tóm lại qua thông tin mà Top Nha Khoa cung cấp có thể thấy phương pháp bọc răng sứ Lava là giải pháp phục hình răng thẩm mỹ đáng để bạn cân nhắc và lựa chọn. Tuy nhiên, để đạt được hiệu quả lâu dài, việc lựa chọn đúng và thực hiện tại cơ sở nha khoa uy tín là yếu tố rất quan trọng. Tốt nhất, bạn nên thăm khám trực tiếp để được bác sĩ đánh giá tình trạng răng miệng và tư vấn phương án phục hình phù hợp.

Thạc sĩ - Bác sĩ Hoàng Quỳnh Trang
