Theo các chuyên gia phục hình răng sứ thẩm mỹ, tuổi thọ của răng sứ dao động từ 5 đến 25 năm. Cụ thể, răng sứ kim loại có độ bền thấp nhất (5-7 năm) do dễ bị oxy hóa gây đen viền nướu. Ngược lại, các dòng răng toàn sứ cao cấp như Zirconia, Cercon hay Emax có độ bền trung bình từ 15-20 năm. Đặc biệt, nếu được phục hình chuẩn khớp cắn bởi bác sĩ giàu kinh nghiệm và kết hợp chăm sóc vệ sinh đúng cách, răng toàn sứ hoàn toàn có thể duy trì độ bền gần n
1. 5 Yếu tố “vàng” quyết định tuổi thọ răng sứ
Nhiều người lầm tưởng rằng chỉ cần chọn loại răng sứ đắt nhất là sẽ bền nhất. Tuy nhiên, thực tế y khoa cho thấy tuổi thọ răng sứ là kết quả của một “phương trình” nhiều biến số:
1.1 Chất liệu phôi sứ
Đây là nền tảng ban đầu. Các dòng sứ có khung sườn kim loại dễ bị môi trường axit trong khoang miệng ăn mòn, dẫn đến đen viền lợi sau vài năm. Trong khi đó, răng toàn sứ có tính tương thích sinh học tuyệt vời, không đổi màu và chịu lực lớn hơn cả răng thật.
1.2 Tay nghề bác sĩ & Kỹ thuật mài cùi
Kỹ thuật của bác sĩ quyết định 80% độ bền.
- Mài răng đúng tỷ lệ: nếu mài quá nhiều sẽ xâm lấn tủy, gây đau nhức; mài quá ít sẽ khiến mão sứ dày, dễ cộm và bong tuột.
- Đường hoàn tất: Phải cực kỳ sát khít. Chỉ cần một khe hở nhỏ bằng sợi tóc, vi khuẩn sẽ chui vào gây sâu răng trụ và hôi miệng, làm hỏng răng từ bên trong.
1.3 Công nghệ chế tác (CAD/CAM 3D)
Răng sứ được chế tác thủ công thường có sai số lớn. Hiện nay, các nha khoa uy tín ứng dụng công nghệ CAD/CAM 3D giúp cắt phôi sứ chính xác đến từng micromet, đảm bảo độ sát khít tuyệt đối với cùi răng thật.
1.4 Tình trạng răng trụ và khớp cắn
Răng sứ chỉ là lớp “áo khoác”. Nếu răng trụ bên trong đã lấy tủy hoặc bị viêm chu kỳ, nền móng sẽ yếu. Ngoài ra, những người có khớp cắn lệch hoặc thói quen nghiến răng sẽ tạo áp lực cực lớn lên mão sứ, làm giảm tuổi thọ đáng kể.
1.5 Chế độ chăm sóc hậu phẫu
Răng sứ không bị sâu nhưng nướu xung quanh răng sứ thì có. Nếu không vệ sinh kỹ, viêm lợi sẽ làm tụt nướu, lộ đường viền sứ, bắt buộc phải làm lại dù mão sứ vẫn còn tốt.

2. So sánh tuổi thọ các dòng răng sứ phổ biến nhất
Dưới đây là bảng tổng hợp giúp bạn có cái nhìn tổng quan để đưa ra lựa chọn phù hợp nhất với ngân sách:
|
Loại răng sứ |
Thành phần cấu tạo | Tuổi thọ trung bình | Ưu điểm |
Nhược điểm |
| Sứ Kim loại | Ni-Cr hoặc Co-Cr | 5 – 7 năm | Chi phí rẻ | Đen viền nướu, dễ bị oxy hóa |
| Sứ Titan | Khung hợp kim Titan | 7 – 10 năm | Lành tính, cứng chắc | Vẫn có bóng mờ kim loại |
| Sứ Zirconia | 100% sứ Zirconia | 15 – 20 năm | Bền, chịu lực 1200MPa | Màu hơi đục so với răng thật |
| Sứ Cercon HT | Sứ cao cấp Đức | 20 năm+ | Thẩm mỹ rất cao | Giá thành cao |
| Sứ Emax/Lava | Sứ thủy tinh/cao cấp | Trọn đời | Trong bóng tự nhiên | Đòi hỏi kỹ thuật mài cực chuẩn |

3. Những dấu hiệu “báo động” cần phải thay răng sứ mới ngay
Đừng đợi đến khi răng sứ bị vỡ mới đi khám. Hãy lưu ý các dấu hiệu xuống cấp sau đây để bảo vệ răng thật bên trong:
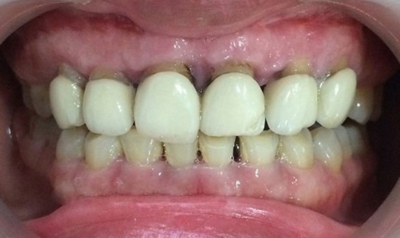
- Đen viền nướu: Thường gặp ở sứ kim loại, gây mất thẩm mỹ trầm trọng.
- Hôi miệng dai dẳng: Dấu hiệu của việc mão sứ bị hở, thức ăn dắt vào bên trong gây thối rữa và sâu răng trụ.
- Ê buốt khi ăn đồ nóng/lạnh: Chứng tỏ mão sứ không còn ôm khít, ngà răng thật bị lộ ra ngoài.
- Viêm lợi, sưng đau: Do kỹ thuật bọc sứ sai cách xâm phạm khoảng sinh học của nướu.
- Răng sứ bị mòn hoặc mẻ: Làm mất khớp cắn chuẩn, gây mỏi hàm và khó khăn khi ăn nhai.
- Cảnh báo từ chuyên gia: Việc cố chấp sử dụng răng sứ đã hỏng có thể dẫn đến mất răng thật vĩnh viễn do viêm nhiễm lan rộng xuống xương hàm.

5. Làm sao để kéo dài tuổi thọ răng sứ an toàn, hiệu quả?
Dựa trên kinh nghiệm điều trị hàng nghìn ca phục hình, đây là lộ trình chăm sóc giúp bạn chỉ cần “làm một lần, dùng một đời”:
5.1 Quy tắc “3 không” trong ăn uống
Không cắn đồ quá cứng: Đá lạnh, nắp chai, xương hay các loại hạt khô cứng có thể làm mẻ sứ nhanh chóng.
Không thức ăn quá nóng/lạnh đột ngột: Sự thay đổi nhiệt độ đột ngột có thể làm giãn nở vật liệu, gây nứt vỡ mão sứ.
Không lạm dụng thực phẩm màu: Dù răng toàn sứ không nhiễm màu nhưng các mảng bám cà phê, thuốc lá có thể bám vào khe lợi gây viêm nướu.
5.2 Nâng cấp quy trình vệ sinh răng miệng
Hãy coi răng sứ như răng thật, thậm chí cần nâng niu hơn:
- Sử dụng bàn chải lông mềm hoặc bàn chải điện để tránh làm mòn nướu.
- Máy tăm nước: Đây là “vũ khí” bí mật để làm sạch sâu kẽ răng sứ mà chỉ nha khoa không chạm tới được.
- Dùng kem đánh răng chứa Fluor để bảo vệ men răng thật bên dưới mão sứ.
5.3 Khám định kỳ “bảo trì” răng sứ
6 Tháng/lần là mốc thời gian quan trọng. Bác sĩ sẽ kiểm tra độ khít sát của răng sứ và xử lý ngay các vết nứt nhỏ hoặc tình trạng viêm lợi mới chớm.

Tuổi thọ răng sứ phụ thuộc vào sự lựa chọn thông minh của bạn ngay từ đầu. Nếu ngân sách cho phép, Răng toàn sứ (Zirconia, Cercon, Lava) luôn là sự đầu tư xứng đáng nhất vì độ bền vượt trội và tính thẩm mỹ không đổi theo thời gian. Tuy nhiên, điều quan trọng nhất không phải là chọn loại răng sứ đắt nhất, mà là chọn được đội ngũ bác sĩ tận tâm và nha khoa có công nghệ hiện đại để đảm bảo quy trình phục hình chuẩn xác ngay từ bước mài răng đầu tiên.
