Trồng răng giá rẻ là bao nhiêu tiền? Bảng giá từng loại

Trồng răng giá rẻ là lựa chọn của nhiều người khi cần phục hồi răng bị mất mà vẫn tối ưu chi phí. Mức giá có thể chênh lệch tùy theo phương pháp thực hiện, chất liệu răng giả và địa chỉ nha khoa. Lựa chọn đúng phương pháp và cơ sở uy tín giúp đảm bảo an toàn và độ bền của răng giả.

Lựa chọn đúng phương pháp và cơ sở trồng răng uy tín giúp đảm bảo an toàn và độ bền của răng giả
Lựa chọn đúng phương pháp và cơ sở trồng răng uy tín giúp đảm bảo an toàn và độ bền của răng giả

Các phương pháp trồng răng giả và bảng giá

Các loại trồng răng giả bao gồm: 

Giá trồng răng giả tháo lắp

Hàm giả tháo lắp là phương pháp phục hình răng phổ biến, đặc biệt phù hợp với những trường hợp mất nhiều răng hoặc mất răng toàn hàm. 

Cấu trúc của hàm giả tháo lắp bao gồm nền hàm mô phỏng mô nướu tự nhiên, được chế tác từ kim loại hoặc nhựa sinh học an toàn, không gây kích ứng. Trên nền hàm là các răng giả, được thiết kế để đảm bảo chức năng  nhai và tính thẩm mỹ. Quá trình trồng răng tương đối đơn giản, bệnh nhân chỉ cần từ 2 – 4 ngày để hoàn thành và có thể tự tháo lắp khi cần thiết.

Hàm giả tháo lắp là phương pháp phục hình răng phổ biến, đặc biệt phù hợp với những trường hợp mất nhiều răng hoặc mất răng toàn hàm
Hàm giả tháo lắp là phương pháp phục hình răng phổ biến, đặc biệt phù hợp với những trường hợp mất nhiều răng hoặc mất răng toàn hàm

Ưu điểm

  • Mức giá phải chăng

Phương pháp này có ưu điểm lớn về chi phí, được xem là giải pháp trồng răng giả kinh tế nhất hiện nay với mức giá dao động từ 1.500.000 – 10.000.000 đồng/hàm. 

  • Không cần phẫu thuật

Hàm giả tháo lắp phù hợp trồng răng người già hoặc người có sức khỏe răng miệng yếu.

Nhược điểm

  • Tuổi thọ ngắn

Tuổi thọ trung bình của hàm giả tháo lắp chỉ khoảng 3 – 5 năm, sau đó cần thay mới do hao mòn hoặc thay đổi cấu trúc xương hàm. 

  • Không ngăn được tiêu xương hàm

Do không có chân răng nhân tạo cố định, hàm giả tháo lắp không ngăn chặn được hiện tượng tiêu xương hàm, dẫn đến tình trạng hóp má, chảy xệ da mặt và lão hóa sớm. 

  • Vệ sinh khó

Việc tháo lắp thường xuyên khi vệ sinh cũng gây bất tiện, ảnh hưởng đến sự thoải mái của người sử dụng.

Chi phí

Chi phí trồng răng bằng hàm giả tháo lắp sẽ thay đổi tùy theo số lượng răng bị mất, tình trạng răng miệng và loại vật liệu được sử dụng cho khung hàm.

Loại hàm tháo lắp

Chi phí

Trồng 1 răng  300.000đ – 1.000.000đ/răng (tùy theo răng xương hay răng composite)
Hàm khung 2.000.000đ/hàm (không gồm răng)
Hàm nhựa dẻo Biosoft 3.500.000đ/hàm (không gồm răng)
Hàm liên kết 8.000.000 – 10.000.000đ/hàm (không gồm răng)

Giá trồng răng sứ

Cầu răng sứ (hay còn gọi là trồng răng sứ bắc cầu) là phương pháp phục hình răng mất bằng cách sử dụng các răng kế cận làm trụ đỡ. Quy trình thực hiện bao gồm việc mài nhỏ hai răng khỏe mạnh nằm sát vị trí mất răng để làm trụ, sau đó bác sĩ sẽ gắn một dãy mão sứ lên trên. Cấu trúc này bao gồm hai mão sứ chụp lên trụ răng và một thân răng sứ thay thế cho răng đã mất, nhằm khôi phục chức năng nhai cũng như tính thẩm mỹ.

Cầu răng sứ là phương pháp phục hình răng mất bằng cách sử dụng các răng kế cận làm trụ đỡ
Cầu răng sứ là phương pháp phục hình răng mất bằng cách sử dụng các răng kế cận làm trụ đỡ

Ưu điểm

  • Thời gian thực hiện nhanh

Thời gian thực hiện phương pháp chỉ từ 2 – 3 ngày. 

  • Tính thẩm mỹ cao

Cầu răng sứ mang lại hiệu quả thẩm mỹ cao, giúp khôi phục khả năng ăn nhai gần giống với răng thật. 

  • Mức chi phí hợp lý

Thấp hơn so với trồng răng Implant nhưng cao hơn so với hàm giả tháo lắp.

Nhược điểm

  • Ảnh hưởng đến răng thật

Việc mài răng để làm trụ có thể làm ảnh hưởng đến men răng và răng thật. 

  • Không ngăn chặn tiêu xương hàm

Cầu răng sứ không có chân răng thay thế phần răng đã mất, do đó không ngăn chặn được hiện tượng tiêu xương hàm, có thể dẫn đến tụt nướu và thay đổi cấu trúc khuôn mặt về lâu dài.

Chi phí

Chi phí trồng răng bằng cầu răng sứ sẽ phụ thuộc vào số lượng mão sứ được sử dụng và loại răng sứ mà người bệnh lựa chọn. Thông thường, để phục hình 1 răng mất, cần sử dụng 3 mão sứ (bao gồm hai mão sứ làm trụ và một mão sứ thay thế răng mất). Chi phí của hai loại răng sứ phổ biến:

  • Răng sứ kim loại: 1.000.000 – 3.500.000 VNĐ/răng
  • Răng toàn sứ: 4.500.000 – 14.000.000 VNĐ/răng

Mức chi phí cụ thể như sau:

Loại răng sứ

Thương hiệu

Chi phí

Răng kim loại Ceramco 3 (Mỹ)  1.000.000đ/răng
Chrome-Cobalt (Mỹ)  3.500.000đ/răng
Răng sứ toàn sứ Bio ESTHETIC (Đức) 3.600.000đ/răng
Multilayer DDBio (Đức) 5.500.000đ/răng
Multilayer CERCON HT (Đức) 5.200.000đ/răng
Răng sứ toàn sứ cao cấp Lava Plus (Đức) 8.000.000đ/răng
Nacera 9 MAX (Đức) 7.200.000đ/răng
Multilayer EVEREST Speed (Hàn Quốc) 12.000.000đ/răng
Multilayer LAVA Esthetic (Đức) 11.200.000đ/răng

Việc lựa chọn loại răng sứ phù hợp sẽ ảnh hưởng trực tiếp đến độ bền, tính thẩm mỹ và cảm giác khi ăn nhai. Do đó, bệnh nhân nên tham khảo ý kiến bác sĩ để đưa ra quyết định tối ưu nhất.

Giá cấy răng implant

Cấy ghép Implant là phương pháp trồng răng giả tiên tiến nhất hiện nay, giúp thay thế hoàn toàn cả chân răng và thân răng đã mất. Quá trình thực hiện bao gồm việc cấy một trụ Implant làm từ titanium vào xương hàm, đóng vai trò như chân răng thật. Sau khi trụ Implant tích hợp vững chắc với xương hàm (thường mất từ 3 – 6 tháng), bác sĩ sẽ gắn mão sứ lên trên thông qua khớp nối Abutment, hoàn thiện cấu trúc răng mới, đảm bảo cả về thẩm mỹ và chức năng ăn nhai.

Cấy ghép Implant là phương pháp trồng răng giả tiên tiến nhất hiện nay, giúp thay thế hoàn toàn cả chân răng và thân răng đã mất
Cấy ghép Implant là phương pháp trồng răng giả tiên tiến nhất hiện nay, giúp thay thế hoàn toàn cả chân răng và thân răng đã mất

Ưu điểm

So với các phương pháp khác, lợi ích của trồng răng implant có nhiều điểm vượt trội. 

  • Hạn chế tối đa tiêu xương hàm

Cấy ghép Implant giúp giải quyết vấn đề tiêu xương hàm nhờ cơ chế tích hợp sinh học giữa trụ Implant và xương hàm, kích thích sự phát triển của mô xương, ngăn chặn tiêu xương và hiện tượng lão hóa sớm.

  • Không ảnh hưởng đến các răng khác

Răng Implant được cấy độc lập vào vị trí răng mất mà không tác động đến các răng còn lại. Điều này giúp bảo tồn tối đa răng thật, hạn chế tình trạng ê buốt hay tổn thương răng kế cận, đồng thời duy trì sự ổn định lâu dài của toàn bộ hàm răng.

  • Vật liệu lành tính, có thể tồn tại vĩnh viễn

Trụ Implant được chế tạo từ titanium nguyên chất – một vật liệu an toàn, có khả năng tích hợp sinh học cao, không gây kích ứng cho cơ thể. Sau khi cấy ghép, trụ Implant liên kết vững chắc với xương hàm, đóng vai trò như một chân răng thật. Nếu được chăm sóc đúng cách, răng Implant có thể tồn tại suốt đời, đảm bảo sự ổn định và bền vững theo thời gian.

  • Khôi phục chức năng ăn nhai và đảm bảo tính thẩm mỹ tự nhiên

Nhờ trụ Implant được cố định chắc chắn trong xương hàm, răng phục hình có khả năng chịu lực tốt, giúp người sử dụng ăn nhai mà không lo lắng về độ bền, đặc biệt là ở vị trí cấy implant răng hàm. Đồng thời, mão răng sứ bên trên được thiết kế với hình dáng, kích thước và màu sắc tương tự răng tự nhiên, mang lại thẩm mỹ cao, giúp nụ cười trở nên hài hòa và tự tin hơn.

  • Cải thiện khả năng phát âm

Răng Implant lấp đầy khoảng trống trên cung hàm, hỗ trợ phát âm chính xác hơn, giúp người sử dụng giao tiếp một cách rõ ràng và tự nhiên.

Nhược điểm

  • Bác sĩ cần có trình độ cao

Cấy ghép Implant là một kỹ thuật phức tạp, bác sĩ cần có ít nhất 1,5 năm kinh nghiệm sau khi tốt nghiệp mới được phép thực hiện cấy ghép Implant. Vì vậy, bệnh nhân cần lựa chọn cơ sở nha khoa uy tín và tìm hiểu kỹ về trình độ chuyên môn của bác sĩ trước khi điều trị.

  • Yêu cầu độ tuổi từ 16 trở lên

Xương hàm của trẻ dưới 16 tuổi vẫn đang trong quá trình phát triển, mật độ xương chưa đủ ổn định để tích hợp trụ Implant, đồng thời có nguy cơ bị vùi Implant theo sự phát triển của xương. Tuy nhiên, độ tuổi chỉ mang tính chất tham chiếu, cần có đánh giá cụ thể từ bác sĩ chuyên khoa để đưa ra quyết định phù hợp.

  • Chi phí cao

Cấy ghép Implant có mức chi phí cao, dao động từ 13.000.000đ – 38.000.000đ tùy thuộc vào loại trụ, mão sứ và các thủ thuật đi kèm như nâng xoang, ghép xương hay phục hình thẩm mỹ. Đây là yếu tố quan trọng khiến nhiều bệnh nhân cân nhắc trước khi lựa chọn phương pháp này. Người bệnh không nên tin tưởng những quảng cáo cấy răng implant giá rẻ để tránh những hậu quả không mong muốn.

  • Thời gian điều trị kéo dài

Quá trình cấy ghép Implant có thể kéo dài từ 3 đến 6 tháng, tùy thuộc vào tình trạng xương hàm và khả năng tích hợp của trụ Implant. Mặc dù có kỹ thuật cấy ghép Implant tức thì giúp rút ngắn thời gian điều trị, nhưng không phải bệnh nhân nào cũng đủ điều kiện để áp dụng phương pháp này. So với cầu răng sứ hoặc hàm giả tháo lắp, Implant yêu cầu nhiều lần tái khám và có quy trình điều trị phức tạp hơn.

  • Không dành cho mọi đối tượng

Người có thể sử dụng phương pháp này cần những điều kiện nhất định. Một số trường hợp cần phải thực hiện các thủ thuật bổ trợ như nâng xoang, ghép xương để đảm bảo điều kiện cấy ghép. Ngoài ra, bệnh nhân phải có sức khỏe răng miệng tốt, không mắc các bệnh lý như tiểu đường không kiểm soát, loãng xương nặng hoặc các bệnh lý làm giảm khả năng lành vết thương. Việc tuân thủ kế hoạch điều trị cũng rất quan trọng để đảm bảo kết quả tối ưu.

  • Tuổi thọ phụ thuộc vào chất lượng trồng răng và chăm sóc

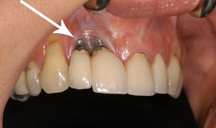
Mặc dù Implant có tuổi thọ cao, thậm chí có thể tồn tại suốt đời, nhưng điều này còn phụ thuộc vào nhiều yếu tố như chất lượng trụ Implant, tay nghề bác sĩ, tình trạng xương hàm và chế độ chăm sóc sau khi phục hình. Một số biến chứng có thể xảy ra như lỏng vít, đào thải trụ, nứt hoặc mẻ mão sứ. Khi gặp các vấn đề này, bệnh nhân cần nhanh chóng đến nha khoa để được xử lý kịp thời, tránh ảnh hưởng đến răng Implant và sức khỏe răng miệng tổng thể.

 Một số biến chứng có thể xảy ra như lỏng vít, đào thải trụ, nứt hoặc mẻ mão sứ
Một số biến chứng có thể xảy ra như lỏng vít, đào thải trụ, nứt hoặc mẻ mão sứ

Chi phí

Chi phí trồng răng Implant phụ thuộc vào loại trụ Implant, mão sứ phục hình và khớp nối Abutment. Giá làm một răng Implant đơn lẻ dao động từ 13.000.000đ – 35.000.000đ/răng, trong khi chi phí trồng răng toàn hàm có thể lên đến 400.000.000đ tùy theo phương án điều trị.

Chi phí cụ thể như sau:

Loại Implant

Chi phí

DiO – Hàn Quốc 13.000.000đ/răng
DENTIUM – Hàn Quốc 17.000.000đ/răng
Dentium USA Superline – Mỹ 21.000.000đ/răng
Tekka Global D – Pháp 25.000.000đ/răng
Mis C1 – Đức/Israel  26.000.000đ/răng
SIC – Thụy sĩ/Đức  26.000.000đ/răng
NOBEL Biocare – Thụy Điển/Mỹ 30.000.000đ/răng
Straumann SLActive – Thụy sĩ 35.000.000đ/răng

Những yếu tố ảnh hưởng đến chi phí trồng răng

Chi phí phục hình răng giả có sự biến động đáng kể tùy thuộc vào nhiều yếu tố.

Phương pháp phục hình răng

Mỗi kỹ thuật phục hình răng có mức chi phí khác nhau, phản ánh trực tiếp độ bền và hiệu quả lâu dài. Chi phí của hàm tháo lắp và cầu răng sứ thấp hơn nhưng tuổi thọ hạn chế, bệnh nhân phải thay thế nhiều lần trong suốt cuộc đời. 

Trong khi đó, cấy ghép Implant có chi phí đầu tư ban đầu cao hơn, song phương pháp này cho phép duy trì răng lâu dài (thậm chí trọn đời) nhờ khả năng tương thích sinh học cao với xương hàm. Do đó, xét về tổng chi phí điều trị trong dài hạn, Implant có thể là giải pháp tiết kiệm hơn so với các phương pháp truyền thống.

Tình trạng của bệnh nhân

Tình trạng mất răng và sức khỏe răng miệng đóng vai trò quan trọng trong việc xác định chi phí trồng răng. Trước khi tiến hành điều trị, bác sĩ sẽ thực hiện thăm khám và đánh giá kỹ lưỡng để đưa ra phương án phù hợp. Một số bệnh nhân có thể cần thực hiện các thủ thuật bổ trợ như ghép xương, nâng xoang hoặc điều trị viêm nha chu trước khi cấy ghép Implant, điều này có thể làm tăng tổng chi phí phục hình.

Trước khi tiến hành điều trị, bác sĩ sẽ thực hiện thăm khám và đánh giá kỹ lưỡng để đưa ra phương án phù hợp
Trước khi tiến hành điều trị, bác sĩ sẽ thực hiện thăm khám và đánh giá kỹ lưỡng để đưa ra phương án phù hợp

Chất liệu phục hình

Ngay cả khi áp dụng cùng một phương pháp điều trị, chi phí vẫn có thể khác nhau tùy thuộc vào loại vật liệu được lựa chọn. Ví dụ, đối với cấy ghép Implant, chi phí sẽ thay đổi tùy theo loại trụ Implant (Titanium tiêu chuẩn hoặc cao cấp). Sự khác biệt về vật liệu không chỉ ảnh hưởng đến chi phí mà còn tác động đến độ bền và tính thẩm mỹ của răng sau phục hình.

Cơ sở nha khoa thực hiện

Mỗi phòng khám có mức giá khác nhau do sự khác biệt về cơ sở vật chất, trang thiết bị và trình độ chuyên môn của bác sĩ. Những nha khoa uy tín, được trang bị công nghệ tiên tiến và có đội ngũ bác sĩ giàu kinh nghiệm thường có mức chi phí cao hơn nhưng bệnh nhân sẽ được đảm bảo chất lượng điều trị. Ngoài ra, giá dịch vụ còn có thể thay đổi tùy theo các chương trình ưu đãi hoặc chính sách hỗ trợ của từng cơ sở nha khoa vào từng thời điểm.

Để tìm các địa chỉ nha khoa uy tín, hãy truy cập vào website NhaKhoaHub – nền tảng review nha khoa uy tín để tham khảo các đánh giá từ những khách hàng đã từng trải nghiệm.

Việc lựa chọn phương pháp trồng răng phù hợp cần cân nhắc các yếu tố về sức khỏe, độ bền và hiệu quả lâu dài. Để có báo giá chính xác và kế hoạch điều trị phù hợp, bệnh nhân nên tham khảo ý kiến bác sĩ chuyên khoa tại các cơ sở nha khoa uy tín.

Các câu hỏi thường gặp về trồng răng giả

Độ tuổi nào có thể trồng răng giả?

Đối với các phương pháp phục hình không xâm lấn như hàm giả tháo lắp hoặc cầu răng sứ, bệnh nhân ở mọi độ tuổi đều có thể áp dụng. Tuy nhiên, trồng răng giả cho trẻ em dưới 16 tuổi là điều không được khuyến khích. 

Với cấy ghép Implant, bệnh nhân cần đủ 16 tuổi trở lên – khi xương hàm đã phát triển ổn định – để đảm bảo quá trình tích hợp trụ Implant diễn ra hiệu quả. Bệnh nhân nên đến nha khoa để được bác sĩ thăm khám và tư vấn chi tiết để xác định phương pháp phù hợp với tình trạng răng miệng của từng cá nhân

Thời gian sử dụng của răng giả là bao lâu?

Tuổi thọ của răng giả phụ thuộc vào phương pháp phục hình:

  • Hàm giả tháo lắp: So với trồng răng sứ và implant, thời gian sử dụng trung bình của phương pháp này là thấp nhất, từ 3 – 5 năm do sự hao mòn của vật liệu và tình trạng tiêu xương hàm theo thời gian.
  • Cầu răng sứ: Độ bền cao hơn, dao động trong khoảng 7 – 10 năm, tùy thuộc vào chất liệu mão sứ và chế độ chăm sóc răng miệng.
  • Cấy ghép Implant: Là phương pháp duy nhất có thể thay thế hoàn toàn cả chân răng và thân răng, mang lại khả năng ăn nhai chắc chắn và tuổi thọ lâu dài, thậm chí duy trì trọn đời nếu được chăm sóc đúng cách.

Bao lâu sau khi nhổ răng có thể cấy ghép Implant?

Cấy ghép Implant có thể được thực hiện ngay sau khi nhổ răng hoặc sau một khoảng thời gian chờ đợi, tùy thuộc vào tình trạng xương hàm và mô nướu của bệnh nhân. Thời điểm bạn có thể thực hiện bao gồm:

  • Cấy Implant tức thì: Được thực hiện ngay tại thời điểm nhổ răng nếu xương hàm đủ điều kiện về mật độ và thể tích, giúp giảm thiểu số lần phẫu thuật và thời gian điều trị.
  • Cấy Implant sau 1 – 2 tháng: Áp dụng cho trường hợp xương hàm cần thời gian hồi phục ban đầu hoặc có nguy cơ biến chứng nếu thực hiện ngay.
  • Cấy Implant sau 3 – 4 tháng: Khi huyệt ổ răng đã được lấp đầy một phần bởi mô xương mới, tạo điều kiện thuận lợi cho quá trình đặt trụ.
  • Cấy Implant sau 4 – 12 tháng: Đây là thời điểm tối ưu khi xương hàm đã hồi phục hoàn toàn, đảm bảo sự ổn định của trụ Implant ngay từ giai đoạn đầu.

Việc lựa chọn thời điểm phù hợp để cấy ghép Implant cần dựa trên đánh giá chuyên môn của bác sĩ nha khoa nhằm đảm bảo an toàn và hiệu quả phục hình tối ưu.

Cấy ghép Implant có nguy hiểm không?

Cấy ghép Implant là phương pháp phục hình răng hiện đại, an toàn và được khuyến nghị cho bệnh nhân mất răng vĩnh viễn. Kỹ thuật này không chỉ giúp khôi phục chức năng ăn nhai như răng thật mà còn mang lại tính thẩm mỹ cao và ngăn ngừa tình trạng tiêu xương hàm.

Cấy răng implant không chỉ giúp khôi phục chức năng ăn nhai như răng thật mà còn mang lại tính thẩm mỹ cao và ngăn ngừa tình trạng tiêu xương hàm
Cấy răng implant không chỉ giúp khôi phục chức năng ăn nhai như răng thật mà còn mang lại tính thẩm mỹ cao và ngăn ngừa tình trạng tiêu xương hàm

Tuy nhiên, cũng như bất kỳ thủ thuật y khoa nào, cấy implant vẫn tồn tại rủi ro nếu:

  • Bác sĩ thực hiện không có đủ kinh nghiệm hoặc không tuân thủ quy trình vô trùng nghiêm ngặt.
  • Trụ Implant không tương thích tốt với xương hàm, dẫn đến tình trạng đào thải.
  • Bệnh nhân không tuân thủ hướng dẫn chăm sóc sau cấy ghép.

Để đảm bảo cấy ghép răng implant an toàn, bệnh nhân nên lựa chọn các cơ sở nha khoa uy tín.

Trồng răng giá rẻ có thể là lựa chọn hấp dẫn nhưng bệnh nhân cần cân nhắc kỹ về chất lượng vật liệu, tay nghề bác sĩ và quy trình thực hiện để đảm bảo hiệu quả lâu dài. Một ca phục hình răng thành công không chỉ giúp khôi phục chức năng ăn nhai mà còn bảo vệ sức khỏe răng miệng, tránh các biến chứng về sau. Vì vậy, thay vì chỉ tập trung vào chi phí, hãy ưu tiên lựa chọn nha khoa uy tín và phương pháp phù hợp để có kết quả bền vững và an toàn.

Để lại một bình luận

Email của bạn sẽ không được hiển thị công khai. Các trường bắt buộc được đánh dấu *

phone-icon