Nhật ký niềng răng là tài liệu ghi lại toàn bộ quá trình điều trị, từ bước khởi đầu đến các lần điều chỉnh tiếp theo. Với vai trò quan trọng trong việc hỗ trợ bác sĩ đưa ra các quyết định kịp thời và chính xác, loại hồ sơ này cần được thực hiện bởi nha sĩ chuyên môn tại các cơ sở nha khoa uy tín.
Nhật ký niềng răng là gì?
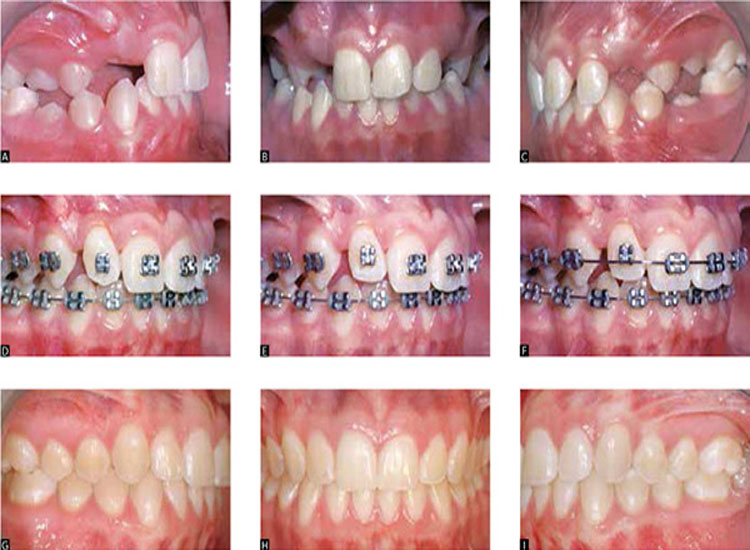
Nhật ký niềng răng là hồ sơ chuyên môn, ghi lại toàn bộ hành trình chỉnh nha của khách hàng và theo dõi cung răng thay đổi qua từng mốc thời gian can thiệp nha khoa.
Dựa trên các dữ liệu như hình ảnh, thông số kỹ thuật và đánh giá lâm sàng định kỳ, bác sĩ có thể phân tích mức độ dịch chuyển của răng và kịp thời thay đổi kế hoạch niềng cho phù hợp. Việc lập nhật ký thường được thực hiện tại các cơ sở nha khoa uy tín nhằm đảm bảo tính chính xác trong việc theo dõi và tối ưu hóa kết quả.

Nhật ký mang lại những lợi ích gì cho người niềng răng và nha sĩ
Nhật ký chỉnh nha đóng vai trò quan trọng và mang lại nhiều lợi ích thiết thực cho cả khách hàng và bác sĩ:
– Đối với khách hàng: Nhật ký giúp theo dõi quá trình răng thay đổi qua từng bước, từ đó tạo động lực và sự yên tâm khi thấy được tiến triển cụ thể. Ngoài ra, khách hàng có thể hiểu được lý do của từng đợt can thiệp nha khoa, hiểu rõ về lộ trình cũng như kết quả kỳ vọng.
– Đối với nha sĩ: Nhật ký là công cụ quan trọng để đánh giá kết quả của từng bước can thiệp nha khoa, so sánh các chỉ số trước và sau mỗi lần tái khám, đồng thời xác định thời điểm cần thay đổi lực kéo hoặc thay đổi phương án điều trị. Nhờ có nhật ký, nha sĩ có thể cá nhân hóa kế hoạch chỉnh nha, đảm bảo mang lại kết quả tối ưu và đúng tiến độ.

Nhìn chung, nhật ký chỉnh nha giúp bác sĩ kiểm soát chuyên môn và nâng cao trải nghiệm điều trị cho khách hàng.
Hành trình niềng răng gồm bao nhiêu giai đoạn
Lộ trình niềng răng không diễn ra trong một bước mà được chia thành nhiều giai đoạn kế tiếp nhau, mỗi mốc thời gian đều có vai trò quan trọng trong việc đảm bảo hiệu quả. Dưới đây là các mốc cơ bản trong hành trình niềng răng của một khách hàng:
Giai đoạn 1: Thăm khám và lập kế hoạch chỉnh nha
Khách hàng sẽ được kiểm tra tổng quát, chụp phim X-quang, chụp hình ngoài mặt, trong miệng và lấy dấu mẫu hàm. Những dữ liệu này giúp nha sĩ đánh giá chính xác tình trạng răng, hàm và khuôn mặt, từ đó xây dựng phương án chỉnh nha cá nhân hóa phù hợp với từng trường hợp cụ thể.
Giai đoạn 2: Chuẩn bị niềng
Tùy theo tình trạng răng của từng người, bác sĩ có thể chỉ định nhổ răng hoặc nong hàm để tạo khoảng trống cần thiết cho răng di chuyển. Những trường hợp răng thưa hoặc cung hàm rộng có thể không cần thực hiện bước này.
Giai đoạn 3: Gắn mắc cài và bắt đầu chỉnh nha
Nha sĩ tiến hành gắn mắc cài lên răng và đặt dây cung để bắt đầu quá trình răng dịch chuyển. Mắc cài có thể được gắn ở mặt ngoài hoặc mặt trong của răng, tùy vào phương pháp khách hàng lựa chọn. Giai đoạn này đòi hỏi kỹ thuật cao để đảm bảo lực tác động từ mắc cài và dây cung được phân bổ hợp lý, giúp răng dịch chuyển đúng hướng theo kế hoạch.
Giai đoạn 4: Điều chỉnh định kỳ khi niềng
Trong suốt hành trình niềng, khách hàng được hẹn tái khám định kỳ (thường 3 – 6 tuần/lần). Mỗi lần tái khám, bác sĩ sẽ thay chun, sửa đổi dây cung và cắm vis hoặc gắn chun liên hàm nếu cần. Những can thiệp này giúp kiểm soát hướng răng di chuyển, cải thiện khớp cắn và đảm bảo tiến độ niềng.
Giai đoạn 5: Kết thúc chỉnh nha và duy trì kết quả
Khi răng đã ổn định ở vị trí mong muốn, bác sĩ tiến hành tháo niềng răng, làm sạch bề mặt răng và ghi lại hình ảnh sau khi niềng để lưu kết quả. Để giữ cho răng không bị xô lệch trở lại, khách hàng sẽ được chỉ định đeo hàm duy trì trong một khoảng thời gian nhất định.
Đối với mỗi khách hàng, nhật ký niềng răng là một hành trình cá nhân hóa, ghi lại chi tiết từng bước thay đổi nhỏ trong suốt lộ trình can thiệp nha khoa. Đây là công cụ hỗ trợ thiết thực, góp phần nâng cao kết quả điều trị và giúp khách hàng sở hữu nụ cười tự tin.
Xem ngay:
Tổng hợp mọi thay đổi của cơ thể trước và sau khi niềng răng
Sau khi niềng răng đeo hàm duy trì bao lâu? Hỏi đáp bác sĩ

Top Nha Khoa là nền tảng nha khoa toàn diện, giúp người dùng tiếp cận kiến thức răng hàm mặt chính xác và các phòng khám nha khoa uy tín trên toàn quốc. Website kết nối hơn 5.000 nha khoa, hỗ trợ tìm kiếm và lựa chọn địa chỉ phù hợp. Mọi thông tin được xây dựng theo góc nhìn trung lập, minh bạch và sát thực tế điều trị
